牙齿矫正是通过外力调整牙齿排列、改善咬合关系的一种口腔治疗方式,随着技术发展和审美需求提升,越来越多人选择矫正,任何医疗手段都存在两面性,了解矫正牙齿的利与弊,有助于理性决策。
从积极层面看,矫正牙齿的益处是多方面的,功能改善显著,牙齿排列整齐后,咬合关系更协调,能避免因咬合异常导致的牙齿磨损、颞下颌关节紊乱等问题,咀嚼效率提升,食物消化更充分;发音也会更清晰,尤其是对牙齿不齐导致的“大舌头”等情况有改善作用,美观价值突出,一口整齐的牙齿能提升笑容感染力,改善面部轮廓(如龅牙矫正后嘴唇更自然),增强个人自信心,对社交、职业发展都有积极影响,预防口腔疾病,牙齿拥挤、错位会导致清洁死角,易滋生细菌、形成牙结石,增加龋齿、牙周炎风险;矫正后牙齿排列整齐,刷牙、使用牙线更彻底,能有效降低这些疾病的发生概率,长期健康收益,整齐的牙齿分布咬合力更均匀,能延长牙齿使用寿命;因牙齿问题产生的自卑、焦虑等心理负担减轻,整体生活质量提升。

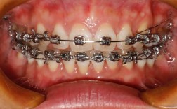
但矫正牙齿也存在不可忽视的弊端,其一,治疗周期长,通常矫正需1-3年,期间需每月复诊调整,对时间成本要求高,且过程中需严格遵医嘱,避免影响进度,其二,初期不适感明显,刚戴牙套或每次调整后,牙齿会出现酸胀、疼痛,持续3-5天,部分人可能因托槽摩擦口腔黏膜导致溃疡;适应期可能出现发音不清、口水增多等情况,其三,费用较高,传统金属托槽矫正费用约1-3万元,陶瓷托槽2-4万元,隐形矫正3-8万元,且部分项目可能不在医保范围内,对经济条件有一定压力,其四,口腔清洁难度增加,牙套周围易残留食物残渣,若清洁不到位,可能引发龋齿或牙周炎症,需额外投入时间进行精细清洁(如正畸专用牙刷、水牙线等),其五,潜在风险存在,少数人可能出现牙根吸收(牙根变短)、牙龈萎缩等并发症,且矫正后若不佩戴保持器,牙齿有复发原状的可能,需终身佩戴保持器维护效果。
| 方面 | |
|---|---|
| 功能改善 | 咬合协调、咀嚼效率提升、发音清晰,避免牙齿磨损和颞下颌关节问题 |
| 美观提升 | 改善笑容和面部轮廓,增强自信心,促进社交和职业发展 |
| 疾病预防 | 减少清洁死角,降低龋齿、牙周炎风险 |
| 长期健康 | 延长牙齿寿命,减轻心理负担,提升生活质量 |
| 治疗周期 | 需1-3年,每月复诊,时间成本高 |
| 初期不适 | 酸胀疼痛、口腔溃疡、发音不清,适应期需1-2周 |
| 费用成本 | 金属托槽1-3万,隐形矫正3-8万,部分项目医保不覆盖 |
| 清洁难度 | 牙套周围易藏污纳垢,需精细清洁工具,否则可能引发龋齿或牙周炎 |
| 潜在风险 | 少数人出现牙根吸收、牙龈萎缩,矫正后复发需佩戴保持器 |
FAQs
Q1:矫正牙齿一定会疼吗?
A1:并非持续剧痛,刚戴牙套或每次调整后牙齿会有酸胀感,持续3-5天,属于正常生理反应,可通过温盐水漱口、服用止痛药缓解;随着时间推移,不适感会逐渐减轻。
Q2:矫正后牙齿会反弹吗?
A2:存在复发可能,牙齿移动后牙周组织需时间稳定,若矫正后不佩戴保持器(尤其是前两年),牙齿可能缓慢移回原位,通常需全天佩戴保持器6-12个月,之后夜间长期佩戴以维持效果。

