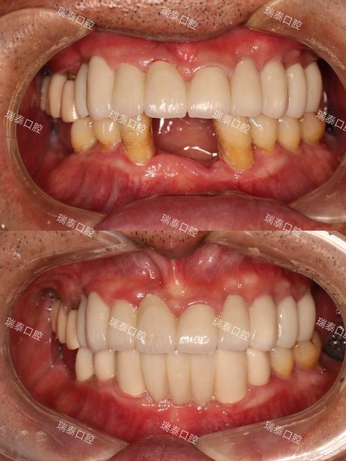
矫正牙齿前修复是指在正式开始牙齿矫正(正畸)治疗之前,针对患者口腔中存在的牙体缺损、牙周病变、咬合异常等问题进行的预先修复治疗,这一步骤并非所有正畸患者都需要,但对于存在特定口腔问题的患者而言,是确保正畸治疗顺利进行、提升治疗效果、降低并发症风险的关键环节,正畸治疗的核心是通过施加持续、温和的力使牙齿在牙槽骨中移动,而口腔中的基础问题(如严重的龋齿、牙周炎、牙齿大面积缺损等)可能会影响牙齿移动的效率、稳定性,甚至导致治疗失败或引发新的口腔问题,通过矫正前修复解决这些基础问题,能为后续正畸创造一个健康的口腔环境,是“地基工程”般的重要预处理。
矫正前修复的必要性
牙齿矫正的本质是牙齿位置的重新排列,但这一过程对口腔基础条件有较高要求,若正畸前存在未处理的口腔问题,可能引发多重风险:

- 影响牙齿移动效率:牙齿大面积缺损导致牙体强度不足,正畸受力时易出现牙齿折裂;牙周炎患者牙槽骨吸收,牙齿移动过程中可能加重骨吸收,甚至导致牙齿松动脱落。
- 增加正畸并发症:龋坏牙齿在正畸过程中可能进展为牙髓炎,引发疼痛;不良修复体(如悬突、边缘不密合)会刺激牙龈,导致正畸期间牙龈炎频发,影响口腔卫生维护。
- 降低矫正效果稳定性:咬合异常(如个别牙齿早接触、干扰)可能导致正畸后牙齿复发移位,影响长期效果;牙列缺损未修复,正畸后邻牙可能倾斜,导致咬合关系紊乱。
- 延长治疗周期:若正畸过程中出现修复体脱落、牙齿急性炎症等问题,需暂停正畸治疗先行处理,导致整体时间延长。
通过矫正前修复解决这些“隐患”,能确保正畸治疗在稳定、健康的口腔环境中推进,提升治疗效率和远期稳定性。
常见矫正前修复类型及适应症
矫正前修复的范围涵盖牙体、牙周、咬合等多个维度,需根据患者具体口腔问题选择合适的修复方式,以下为常见类型及其适应症:
| 修复类型 | 主要适应症 | 常用技术/材料 |
|---|---|---|
| 牙体缺损修复 | 牙齿龋坏(深龋、邻面龋)、牙体缺损(楔状缺损、外伤导致的牙体缺损)、修复体失败(旧充填物脱落、继发龋) | 玻璃离子水门汀、复合树脂充填;嵌体(瓷嵌体、树脂嵌体);全冠(全瓷冠、金属烤瓷冠) |
| 牙周修复 | 牙周炎基础治疗后牙龈形态异常(牙龈增生、退缩)、牙根暴露影响美观或正畸粘接 | 牙龈成形术、引导性组织再生术(GTR)、膜龈手术;牙周夹板固定松动牙齿 |
| 牙列缺损修复 | 牙齿缺失(后牙缺失影响咬合、前牙缺失影响美观和排列)、多牙缺失导致的邻牙倾斜 | 临时性修复体(树脂临时冠、活动义齿);种植体(作为正畸支抗或后期永久修复) |
| 咬合功能修复 | 咬合紊乱(个别牙齿早接触、干扰)、夜磨牙导致的咬合面磨损、颞下颌关节紊乱(TMD)相关咬合问题 | 咬合板(稳定咬合板、再定位咬合板)、调颌(精细调整咬合接触点)、咬合重建 |
矫正前修复的流程与正畸衔接
矫正前修复并非独立步骤,需与正畸治疗紧密衔接,具体流程通常包括:
- 全面口腔检查与评估:通过口腔曲面断层片、根尖片、CBCT(锥形束CT)、牙周探诊、模型分析等,明确是否存在需要修复的问题,判断其对正畸的影响程度。
- 制定修复-正畸联合方案:正畸医生与修复医生共同协作,根据修复问题的紧急性和正畸目标的优先级,确定修复顺序与正畸启动时间,急性牙髓炎需先根管治疗+临时冠修复,再开始正畸;慢性牙周炎需先完成牙周治疗+牙龈成形术,待牙周稳定(3-6个月)后正畸。
- 实施修复治疗:按照既定方案完成牙体充填、牙周手术、修复体制作等操作,确保修复体边缘密合、形态符合生理需求,不影响后续正畸附件(托槽、支抗钉)的粘接。
- 修复后评估与正畸准备:修复完成后需复查修复体功能、牙周状态、咬合关系,确认无异常(如无咬合高点、牙龈无红肿、修复体无松动)方可开始正畸,对于涉及咬合重建的患者,可能需佩戴临时咬合板1-3个月,适应新咬合关系后再粘接托槽。
矫正前修复的注意事项
- 材料选择需兼顾功能与正 compatibility:修复材料需具备良好的生物相容性、机械强度和美观性,同时不影响正畸过程中的牙齿移动,后牙大面积缺损修复时,优先选择全瓷冠或高嵌体,避免金属边缘刺激牙龈;前牙临时修复体需使用树脂材料,便于后期调整形态。
- 修复体形态避免干扰正畸:修复体的邻面形态需与邻牙协调,避免形成“悬突”(易积存食物、刺激牙龈);咬合面需预留足够空间,防止托槽粘接后修复体与对颌牙早接触。
- 口腔卫生维护是关键:正畸期间口腔清洁难度增加,修复体周围更易堆积菌斑,修复前需强化患者口腔卫生指导(如正确使用巴氏刷牙法、牙线、冲牙器),修复体边缘应高度抛光,减少菌斑附着。
- 定期复查与动态调整:修复完成后至正畸开始前,需定期复查(每1-2个月),观察修复体稳定性、牙周状态变化;若正畸过程中出现修复体松动、边缘渗漏等问题,需及时联系修复医生处理,避免影响正畸进程。
相关问答FAQs
Q1:矫正前修复是否需要拔牙?如果已经拔牙,还需要做修复吗?
A:拔牙与修复是正畸前的不同处理方式,需根据具体情况判断,拔牙通常用于解决牙列拥挤、前突等问题,为牙齿移动提供空间;而修复是针对牙体、牙周等问题的预处理,若拔牙后拔牙创愈合良好(无骨缺损、牙龈形态正常),一般无需额外修复;若拔牙后存在骨量不足、牙龈凹陷等问题,可能需植骨或牙龈成形术,为后续修复或正畸创造条件,若拔牙后邻牙存在龋坏或缺损,则需先完成修复再正畸。

Q2:矫正前修复的临时修复体会影响正畸粘接托槽吗?
A:一般情况下不会,临时修复体(如临时冠、树脂临时牙)的表面通常经过抛光处理,与托槽粘接剂(如光固化树脂)具有良好的兼容性,但需注意:若临时修复体边缘不密合、形态异常(如过厚、与邻牙接触过紧),可能影响托槽定位,医生需在粘接前调整修复体形态;若临时修复体材料老化(如树脂变色、强度下降),可能需更换新的临时体,确保粘接强度,正畸粘接前,医生会严格检查修复体状态,避免因临时体问题导致托槽脱落。
