牙齿的局部矫正是一种针对个别牙齿错位、排列不齐或咬合问题的精细化正畸治疗方式,与传统全口矫正覆盖所有牙齿不同,它聚焦于1-3颗问题牙齿,通过精准的力学控制调整其位置、角度或咬合关系,从而达到改善美观、恢复功能的目的,近年来,随着人们对口腔美观需求的提升和正畸技术的进步,局部矫正因创伤小、周期短、费用低等优势,逐渐成为牙齿轻中度畸形患者的热门选择。
牙齿局部矫正的适用人群与常见问题
并非所有牙齿问题都适合局部矫正,其适应症主要集中在个别牙齿的异常,具体包括以下几类情况:

个别牙齿前突或后缩
例如上颌两颗门牙(中切牙)向前突出,形成“龅牙”影响美观;或下颌个别牙齿后缩,导致咬合时上下牙齿无法正常接触,这类问题通常可通过局部施加牵引力或推力,将异常牙齿调整至正常位置。
牙齿拥挤或扭转
牙弓内个别牙齿因空间不足而拥挤错位,或发生扭转(如牙齿“拧”着长),不仅影响美观,还容易嵌塞食物、引发龋齿或牙周炎,局部矫正可通过开辟间隙、纠正扭转角度,解决单个牙齿的排列问题。
牙齿间隙过大
因牙体过小、牙龈萎缩或先天缺失牙导致个别牙齿间存在明显缝隙,局部矫正可通过集中关闭间隙或调整邻牙位置,改善牙齿稀疏问题。
轻微咬合异常
如个别牙齿过高或过低,导致咬合时早接触(即牙齿先于其他牙齿接触),引发颞下颌关节不适或牙齿磨损,通过局部降低或升高牙齿咬合,可恢复咬合平衡。

替牙期早期干预
青少年在替牙阶段,若出现个别恒牙萌出方向异常(如“虎牙”低位萌出),可通过局部矫治器引导其正常萌出,避免后续复杂治疗。
成人美学需求修复
成人因职业、社交需求,对牙齿美观有较高要求,但全口矫正周期长、影响社交,此时针对门牙等前牙区的局部矫正,可在短时间内改善微笑美观。
常见的局部矫正技术与方法
根据牙齿问题类型和患者需求,局部矫正可采用多种技术,目前主流方法包括以下几类,其特点对比如下:
表:常见局部矫正技术对比
| 技术类型 | 适用情况 | 治疗周期 | 费用范围(元) | 优点 | 缺点 |
|---|---|---|---|---|---|
| 隐形局部矫正 | 个别牙齿扭转、间隙、轻微前突 | 3-6个月 | 15000-30000 | 美观透明、可自行摘戴、舒适度高 | 费用较高、依赖患者配合度 |
| 传统托槽局部矫正 | 简单拥挤、反颌、咬合调整 | 4-8个月 | 5000-15000 性价比高、技术成熟、控制精准 美观性差、口腔异物感强 | ||
| 舌侧局部矫正 | 前牙美学要求高、个别牙齿精细调整 | 6-10个月 | 30000-60000 完全隐形、不影响美观 费用极高、清洁难度大、医生技术要求高 | ||
| 活动矫治器 | 替牙期早期干预、间隙关闭 | 3-6个月 | 3000-8000 可自行摘戴、便于清洁 效果依赖配合、稳定性较差 | ||
| 树脂贴面/瓷贴面 | 轻微牙齿形态异常(如牙缝、小牙) | 2-4次就诊 | 8000-20000/颗 快速改善美观、无需长时间戴矫治器 属于修复范畴,无法移动牙齿 |
隐形局部矫正
通过3D口扫获取牙齿数据,设计针对问题牙齿的透明牙套(如隐适美、时代天使的“局部矫正方案”),每副牙套仅对目标牙齿施加轻微力,逐步移动牙齿至理想位置,优势在于美观性极佳,适合对社交敏感的成人;但需每日佩戴20小时以上,且每1-2周更换一副牙套,复诊频率为4-6周一次。

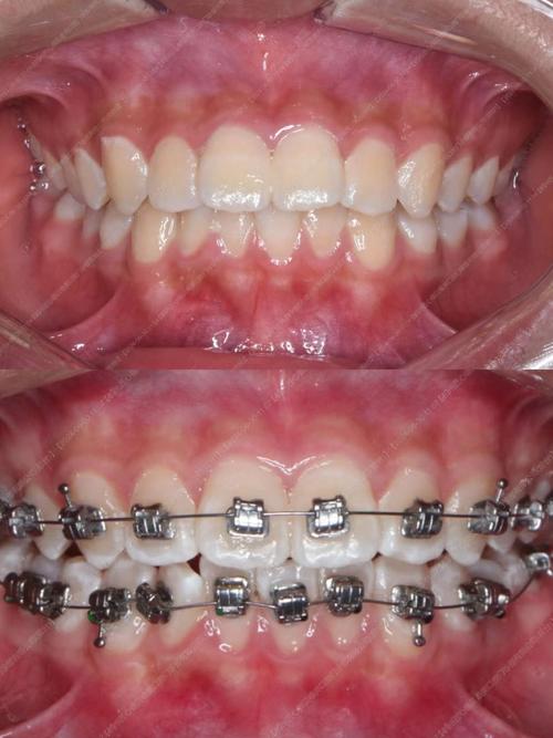
传统托槽局部矫正
在问题牙齿上粘贴金属托槽或陶瓷托槽,通过弓丝与托槽的配合调整牙齿位置,针对单个牙齿前突,可在邻牙上放置支抗托槽,用弹力链或镍钛弓丝牵引前突牙向后,该方法性价比高,控制力强,但托槽可能影响美观,且口腔内异物感较明显。
舌侧局部矫正
将托槽粘贴在牙齿舌侧面(内侧),完全从外部看不见,适合对美观要求极高的前牙区调整,如门牙细微扭转或间隙,但因操作空间小,医生需具备较高的技术水平和经验,费用也显著高于其他技术,且清洁难度大,易引发牙龈炎。
活动矫治器
由树脂基托和钢丝组成,患者可自行摘戴,常用于替牙期儿童,通过弹簧或螺旋簧推动牙齿移动,或引导异位萌出的恒牙,其优点是便于清洁和进食,但效果取决于患者配合度,且对复杂牙齿移动的控制能力有限。
树脂贴面/瓷贴面(辅助矫正)
贴面属于美学修复范畴,而非牙齿移动,但对于轻微牙缝或牙齿形态不齐(如“小三角牙”),可通过磨除少量牙体组织后粘贴贴面,快速关闭间隙或改善牙齿外形,达到“视觉矫正”效果,这种方法无需戴矫治器,但会磨损牙体组织,且无法解决牙齿深层错位问题。
局部矫正的治疗流程
局部矫正虽聚焦于个别牙齿,但仍需遵循严格的正畸治疗原则,流程通常包括以下步骤:
初诊检查与评估
患者需到正规口腔机构进行详细检查,包括:
- 口内检查:评估牙齿数量、位置、形态、牙龈健康状况及咬合关系;
- 模型分析:制取牙齿模型,测量牙齿倾斜度、间隙大小等数据;
- 影像学检查:拍摄X光片(全景片、头颅侧位片),排除牙根吸收、骨性畸形等问题;
- 美学设计:对于前牙区矫正,可能结合微笑分析,设计牙齿移动后的最终效果。
方案设计
医生根据检查结果,判断是否适合局部矫正,若符合适应症,会制定个性化方案,明确:
- 目标牙齿及移动方向(如内收、压低、旋转);
- 矫正技术选择(隐形、托槽等);
- 治疗周期与复诊计划;
- 费用及风险告知(如牙根吸收、牙龈萎缩等)。
矫治器制作与适配
- 隐形矫正:通过3D打印技术制作牙套,患者试戴并调整至贴合;
- 托槽矫正:医生在目标牙齿及邻牙上粘贴托槽,弯制个性化弓丝;
- 活动矫治器:根据模型制作树脂基托和钢丝部件,确保佩戴舒适。
治疗过程中的调整
局部矫正的复诊频率通常为2-4周一次,医生会检查牙齿移动情况,调整矫治力(如更换隐形牙套、加力弓丝、更换弹力圈等),治疗期间需避免咬硬物(如坚果、骨头),以防托槽脱落或牙套损坏。
保持阶段
牙齿移动完成后,需佩戴保持器防止复发,局部矫正的保持器多为透明压膜保持器(覆盖问题牙齿及邻牙)或固定保持器(粘贴在牙齿舌侧面),通常需全天佩戴6-12个月,之后夜间长期佩戴。
局部矫正的优缺点分析
优点
- 针对性强:仅解决目标牙齿问题,无需对全口牙齿进行干预,保留健康牙齿的原始状态;
- 治疗周期短:一般3-8个月即可完成,比全口矫正(1-3年)显著缩短;
- 创伤小:无需拔牙(多数情况下)、磨牙少,对牙体和牙周组织的损伤较小;
- 费用较低:根据技术不同,费用约为全口矫正的1/3-1/2,减轻经济负担;
- 美观性好:隐形、舌侧等技术可满足成人对美观的高要求,社交影响小。
缺点
- 适应症有限:仅适用于个别牙齿的轻中度错位,对于严重拥挤、骨性畸形等复杂问题效果不佳;
- 稳定性依赖保持:因仅移动部分牙齿,若保持不当(如不戴保持器),可能出现复发;
- 对医生技术要求高:局部矫正需精准控制牙齿移动方向和力度,避免损伤邻牙或咬合;
- 可能需联合治疗:若牙齿问题涉及咬合功能或牙周健康,可能需配合牙周治疗或修复治疗(如贴面)。
注意事项
- 口腔卫生维护:戴矫治器时,牙齿清洁难度增加,需使用正畸牙刷、牙缝刷、冲牙器等工具,避免食物残渣堆积引发龋齿或牙龈炎;
- 饮食调整:避免食用过硬、黏性食物(如口香糖、牛肉干),防止托槽脱落或牙套损坏;隐形矫正者需摘下牙套进食,避免染色;
- 复诊依从性:按时复诊调整矫治力,若托槽脱落或牙套损坏,需及时就医处理,影响治疗进度;
- 保持阶段配合:拆除矫治器后,严格佩戴保持器是维持效果的关键,不可自行缩短佩戴时间;
- 心理准备:治疗过程中可能出现牙齿酸痛、口腔溃疡等不适,通常3-5天可缓解,若症状持续需及时复诊。
相关问答FAQs
Q1:局部矫正需要拔牙吗?
A1:多数情况下不需要,局部矫正针对的是个别牙齿问题,通常通过移动牙齿、开辟间隙即可解决,无需拔牙,但若目标牙齿因严重拥挤导致无萌出空间,或存在多生牙、埋伏牙等阻碍,可能需拔除阻生牙为移动创造条件,具体需医生根据检查结果判断。
Q2:局部矫正后效果能维持多久?
A2:局部矫正的效果稳定性取决于多方面因素:一是治疗方案的合理性(如牙齿移动是否到位、咬合是否平衡);二是保持阶段是否规范佩戴保持器(通常建议夜间长期佩戴);三是患者自身的口腔习惯(如是否用牙齿咬硬物、是否有夜磨牙等),若以上条件均满足,效果可长期维持;若不注意保持,可能出现牙齿轻微移位,尤其是前牙区更易复发。
