牙齿矫正通过矫治器施加持续、轻柔的力量,引导牙齿在牙槽骨中缓慢移动,最终达到排列整齐、咬合协调、面部美观的目标,矫正过程中的“恢复图”并非单一静态图像,而是涵盖矫正各阶段的动态记录(如口内照、X光片、牙齿模型)以及矫正后恢复期的口腔变化追踪,这些图像既是医生制定个性化方案的依据,也是患者直观了解矫正进展、建立治疗信心的关键参考。
牙齿矫正的阶段性变化与恢复图记录
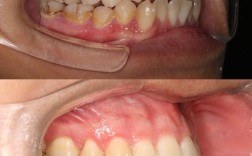
牙齿矫正是一个分阶段的生物学改建过程,不同阶段的牙齿状态可通过“恢复图”清晰呈现,帮助患者和医生共同把控矫正方向。
初始排齐与整平期(矫正开始后1-3个月)
此阶段的核心是解除牙齿拥挤、关闭散在间隙,将歪斜的牙齿排入牙弓基准线,口内恢复图可见:原本拥挤重叠的牙齿逐渐分离,牙列出现初步弧度;X光片显示牙根排列从杂乱趋于平行,牙槽骨边缘开始出现轻微吸收(为牙齿移动留出空间),典型表现为牙齿酸痛、咀嚼无力(尤其进食硬物时),口腔黏膜可能因托槽摩擦出现溃疡,需使用正畸蜡保护黏膜,饮食以软食为主(如粥、面条、蒸蛋),医生会根据口内调整弓丝力度(如更换更粗的镍钛丝),加速排齐进程。
关键间隙关闭与咬合建立期(3-6个月,拔牙矫正者延长至6-9个月)
对于存在牙列拥挤或需改善面部突度的患者,常需拔除前磨牙为牙齿移动提供空间,此阶段恢复图可见:拔牙区的邻牙(如上颌第一前磨牙)向中间移动,间隙逐渐缩小;咬合纸记录显示牙齿接触点从“点状接触”变为“面状接触”,初步建立咬合关系,全景X光片可观察到牙根移动方向与牙槽骨长轴一致,避免“牙根吸收”风险,患者可能感觉牙齿“缝隙忽大忽小”,属正常现象(因牙齿移动速度不同),但若出现剧烈疼痛或咬合障碍,需及时复诊调整。
精细调整与稳定期(6-12个月及以后)
当牙齿排列整齐、间隙关闭后,进入精细调整阶段:通过个别牙托槽的微调(如改变牙齿转矩、倾斜度),改善咬合功能(如深覆颌变浅、中线对齐),优化软组织形态(如微笑时露齿量、牙龈曲线),恢复图可见:口内照显示牙齿排列整齐如“珍珠串”,牙龈形态饱满无红肿;侧位X光片显示鼻唇角、颏唇角协调,面部轮廓更自然,此阶段需患者密切配合,如医生佩戴橡皮圈调整咬合时,需确保每天佩戴20小时以上,否则会影响矫正进度。
矫正后恢复期的关键节点与图像追踪
摘除矫治器后,牙齿并非立即“定型”,而是进入“稳定-适应-维持”的恢复阶段,此阶段的“恢复图”对防止复发、维持效果至关重要。
初期稳定期(摘除矫治器后1-3个月)
牙齿周围牙槽骨处于活跃改建期,牙周韧带仍较松弛,可能出现轻微牙齿移位(如下前牙轻度拥挤、咬合微调),医生会拍摄“矫正完成对比照”(与矫正结束时口内照对比),观察牙齿位置变化,必要时进行微量调整(如少量磨改牙尖、佩戴短期活动矫治器),患者需全天佩戴保持器(除进食刷牙外),通过保持器的“塑形”作用,帮助牙齿在新位置稳定,若出现保持器与牙齿贴合度下降(如翘动、空隙),需及时复诊,避免牙齿反弹。
中期适应期(3-6个月)
牙槽骨改建逐渐完成,牙齿与周围组织连接更紧密,复查时取“保持期模型”,与矫正结束模型对比,评估牙齿稳定性,若发现牙齿轻微移位(如牙缝变大、中线偏斜),可通过调整保持器(如增加压模厚度)或佩戴隐形保持器矫正,此阶段可逐渐过渡到夜间佩戴保持器(每天不少于12小时),但需严格记录佩戴时间,避免因“感觉牙齿不松动”而擅自减少佩戴时间。
长期维持期(6个月以上)
牙齿基本稳定,但牙周组织仍需长期适应,医生建议每半年拍摄一次全景片,观察牙根吸收情况及牙槽骨健康;每年拍摄一次面部微笑照,评估软组织形态变化(如嘴唇支撑、面部对称性),长期维持并非“一劳永逸”,若出现保持器损坏、丢失或牙齿明显移位(如下前牙拥挤超过1mm),需立即复查,防止复发加重。
恢复期护理要点与图像记录的关联
恢复期的护理效果直接影响矫正效果的维持,而“恢复图”是护理效果的直观反馈,需重点关注以下方面:
口腔卫生维护:避免“牙龈红肿-牙槽骨吸收”恶性循环
矫正后牙龈形态可能因之前牙齿拥挤而存在“三角间隙”,易藏食物残渣,需采用“巴氏刷牙法”(45度角刷毛对准牙龈沟,每次2-3分钟),配合牙线、冲牙器清洁邻面,若护理不当,口内恢复图可见牙龈红肿、出血,甚至牙龈退缩(牙龈缘变低、牙根暴露),此时需加强清洁(如使用含氯己定的漱口水)并牙周治疗,避免影响牙齿稳固和美观。
保持器佩戴管理:防止“戴而不戴”的隐形风险
保持器是防止复发的核心,其佩戴情况可通过“保持器贴合度检查”评估:若保持器内牙齿印迹清晰、无压迫痕迹,说明佩戴良好;若出现局部空白区域,提示对应牙齿已移位,需及时干预,保持器需定期用冷水浸泡清洗(避免热水变形),每周用义齿清洁剂浸泡1次,防止细菌滋生(保持器异味或污渍可通过图像对比观察变化)。
饮食与习惯调整:规避“习惯性移位”风险
矫正后1年内避免啃咬硬物(如坚果、螃蟹壳)、咬笔、嚼口香糖等不良习惯,这些行为可能导致牙齿移位(口内照可见牙齿切缘磨损或牙冠倾斜),若出现此类情况,医生可通过对比图像分析受力方向,指导患者调整习惯,必要时制作夜磨牙垫进行保护。
常见问题与应对
问题:矫正结束后,发现下前牙出现了轻微拥挤,是矫正失败了吗?
解答:并非失败,而是正常现象,牙齿矫正后,牙槽骨改建需要1-2年完全稳定,且口腔肌肉(如唇肌、舌肌)会对牙齿产生持续压力,尤其下前牙位于牙弓前段,易受舌肌力量影响出现轻度拥挤,若拥挤程度轻微(牙缝<1mm),可通过延长保持器佩戴时间(如从夜间12小时改为22小时)改善;若拥挤明显(牙缝>1mm或牙齿重叠),需及时佩戴隐形保持器或活动矫治器调整,通常3-6个月可恢复。
问题:佩戴保持器时,牙齿感到酸痛,是牙齿又在移动吗?
解答:可能是牙齿适应保持器的压力,也可能是病理性移位,初期佩戴保持器(尤其是更换新保持器后)1-2天轻微酸痛属正常,是牙齿与保持器贴合的生理反应,通常可自行缓解,若酸痛持续超过1周,或伴有牙齿松动、咬合异常,需拍摄X光片排除牙根吸收、牙周炎等问题,同时检查保持器是否过紧(可通过保持器与牙齿的贴合度图像判断),必要时调整或重制保持器。
牙齿矫正的“恢复图”不仅是医疗记录,更是牙齿“蜕变”的见证,从最初的拥挤错乱到最终的整齐美观,每一步变化都离不开医生的精准把控和患者的耐心配合,只有重视矫正各阶段的图像追踪与恢复期护理,才能让矫正效果长期稳定,让一口健康好牙伴随终身。
