杨幂作为娱乐圈的顶流女星,其形象的精致度一直备受关注,而她牙齿矫正前的变化也常被粉丝和媒体提及,在2010年前后,杨幂的牙齿状态曾存在一些明显问题,这些问题不仅影响了她的笑容美观,也可能对口腔健康造成潜在影响。
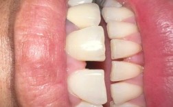
从早期公开的照片和视频中可以看出,杨幂矫正前的牙齿主要存在以下几个问题:首先是牙齿排列不齐,尤其是上门牙区域,存在明显的缝隙和轻微的拥挤,导致中缝不齐,两侧牙齿高低不一;侧切牙(门牙旁边的牙齿)形态不够理想,有些偏小且略向外倾斜,使得笑容时牙齿的弧度不够自然;她的咬合关系也存在轻微异常,上前牙略微前突,形成“龅牙”倾向,这让她在抿嘴或放松状态下,唇部线条显得不够紧致,这些问题对于普通人而言或许影响不大,但作为需要频繁面对镜头的演员,牙齿的细微瑕疵可能会放大面部的不协调感,进而影响整体形象的精致度。
值得注意的是,杨幂在牙齿矫正前并非完全没有尝试改善,有传言称,她曾通过牙齿贴面等方式进行临时修饰,但效果并不理想,贴面虽然能快速改善牙齿颜色和形态,但无法解决根本的排列和咬合问题,且缝隙和拥挤的牙齿在贴面后容易出现边缘不密合、易脱落等问题,长期来看并非理想选择,这也让她最终下定决心通过正畸治疗进行系统性矫正。
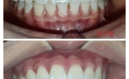
从时间线来看,杨幂的牙齿矫正大概始于2010年左右,正值她事业上升期,参演《宫锁心玉》爆红后,工作量和曝光度激增,对形象的要求也随之提高,矫正初期,她曾佩戴过传统金属托槽牙套,虽然当时有粉丝担心“牙套影响美观”,但杨幂以积极态度面对,甚至通过造型巧妙修饰,展现了良好的职业素养,经过约两年的矫正治疗,她的牙齿问题得到了根本性改善:牙齿排列整齐,缝隙关闭,咬合关系恢复正常,不仅笑容更加自信甜美,面部线条也因牙齿支撑力的提升而更显协调,为她后续塑造更多元化的角色形象奠定了基础。
为了更直观地对比杨幂牙齿矫正前后的变化,以下表格总结了关键差异:
| 项目 | 矫正前状态 | 矫正后变化 |
|---|---|---|
| 牙齿排列 | 上门牙缝隙明显,侧牙拥挤 | 排列整齐,缝隙完全关闭 |
| 牙齿形态 | 侧切牙偏小、外倾 | 牙齿形态饱满,弧度自然 |
| 咬合关系 | 上前牙轻微前突,咬合不齐 | 咬合正常,上下牙贴合紧密 |
| 笑容美观度 | 牙齿暴露不均,略显突兀 | 笑弧流畅,笑容自信甜美 |
此次牙齿矫正不仅提升了杨幂的颜值,更让她对口腔健康的重要性有了更深刻的认识,此后,她在公开场合多次强调牙齿护理的重要性,并鼓励粉丝关注正畸健康,成为娱乐圈中“通过改善牙齿提升形象”的正面案例。
相关问答FAQs
Q1:杨幂牙齿矫正前为什么没有更早处理?
A1:杨幂早年牙齿问题的形成可能与遗传因素、青少年时期口腔护理习惯有关,而早期未及时矫正,一方面是因为早年娱乐圈对牙齿美观的关注度不如现在,另一方面也与她事业初期工作繁忙、缺乏时间和精力进行系统性治疗有关,随着事业发展,牙齿问题对形象的影响逐渐显现,她才选择在合适的时机进行矫正。
Q2:矫正后杨幂的牙齿有没有反弹?如何预防?
A2:正畸治疗后牙齿存在一定程度的反弹风险,尤其是如果保持阶段做得不到位,据了解,杨幂在矫正结束后严格遵循医嘱,佩戴了保持器(通常建议全天佩戴1-2年,之后夜间长期佩戴),并注重口腔清洁和咬合习惯的调整(如避免用牙齿咬硬物、纠正单侧咀嚼等),这些措施有效降低了反弹风险,使矫正效果得以长期维持。
