牙齿矫正早已超越了“排齐牙齿”的传统认知,成为现代人追求面部美学与自信笑容的重要途径,它并非简单的“把牙齿排整齐”,而是通过专业的正畸治疗,调整牙齿、颌骨、咬合关系及面部肌肉的协调性,从细节到轮廓全方位提升颜值,让“变美”成为看得见的科学改变。
牙齿排列:笑容美学的“第一扇窗”
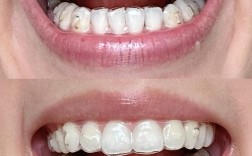
笑容是面部最具感染力的表情,而牙齿的排列状态直接影响笑容的整洁度与协调性,牙齿拥挤、稀疏、扭转、龅牙、地包天等问题,不仅让笑容显得局促、不自然,还可能因清洁难度增加导致牙结石、牙龈萎缩,进一步影响牙齿色泽与健康。
矫正通过佩戴牙套(如金属托槽、陶瓷托槽、隐形牙套等)施加持续、轻柔的力量,将移位的牙齿逐渐移动到理想位置,拥挤的牙齿排齐后,牙缝均匀,笑容会显得更开阔、清爽;稀疏的牙齿通过关闭散在间隙,让牙齿间紧密贴合,避免“漏风”的尴尬;扭转的牙齿调整至正常角度,能消除视觉上的杂乱感,让笑容更对称、和谐,这种改变不仅是“整齐”,更是符合面部黄金比例的“美学排列”——比如微笑时上颌牙中线应与面部中线重合,牙齿暴露量约为上唇下缘至下唇下缘的1/2,这些细节在专业矫正中都会被精准把控,让笑容既自然又耐看。

咬合关系:面部轮廓的“隐形雕塑家”
很多人以为“牙齿矫正只关乎牙齿”,其实咬合关系(上下牙齿的对应关系)对面部轮廓的影响更为深远,错误的咬合(如深覆合、深覆盖、反颌、开颌等)会导致肌肉发力异常,进而牵动颌骨与软组织的位置,改变面部整体形态。
- 深覆合(上牙过度覆盖下牙):可能伴随下颌后缩,导致面下1/3变短,显得“没精神”,严重时还会加剧下唇卷曲、露龈笑。
- 深覆盖(龅牙):上前牙过度前突,不仅影响侧脸线条(形成“凸嘴”),还可能因牙齿长期暴露在外导致磨损、敏感。
- 反颌(地包天):下前牙覆盖上前牙,会导致下颌过度前伸,形成“月牙脸”,甚至影响咀嚼功能,长期易引发颞下颌关节紊乱。
矫正通过调整咬合平面,引导上下颌骨到正常位置,比如通过推磨牙向后、内收前牙等方式改善龅牙,通过垂直向控制打开咬合解决深覆合,通过上颌扩弓、下颌前导纠正反颌,随着咬合关系的改善,面下1/3的高度会逐渐恢复,唇部肌肉张力更自然,侧脸线条从“突兀”变为“流畅”,甚至轻微改善“双下巴”“法令纹”等问题——这便是咬合调整对面部轮廓的“隐形雕塑”作用。
牙齿形态与色泽:细节处的“颜值加分项”
牙齿矫正不仅移动牙齿位置,还能为后续的美学修复打下基础,牙齿严重拥挤时,部分牙齿可能因邻牙挤压而形态异常(如过小牙、锥形牙),矫正后通过牙齿贴面、树脂修复等方式,可调整牙齿形态、大小,使其更符合面部比例(如门牙宽度与瞳孔间距大致相等,侧门牙略窄于门牙,尖牙呈“尖圆形”)。
矫正期间更容易进行口腔清洁,避免因牙列拥挤导致的清洁死角(如牙缝深处),减少牙菌斑堆积,从源头上预防牙齿发黄、龋坏等问题,部分患者在矫正后会选择牙齿美白,让整齐的牙齿更显亮白,笑容的“精致感”直接拉满。
心理自信:由内而外的“美力觉醒”
牙齿矫正带来的“变美”,不仅是生理层面的改变,更是心理层面的重塑,很多人因牙齿问题从小不敢大笑、不喜拍照,甚至产生自卑心理,影响社交与职场表现,当牙齿逐渐排齐、咬合改善、笑容变美,这种“看得见的进步”会显著提升自信心,让人更愿意主动表达情绪、参与社交,形成“颜值提升—自信增强—状态更好”的良性循环。
临床上常有患者反馈:“矫正后同事说我像变了个人,更爱笑了”“拍照终于敢露齿了,连整个人都显得更年轻了”,这种由内而外的自信,才是牙齿矫正“变美”的核心价值——它让你不仅“好看”,更“敢美”。
不同矫正方式的美学考量
随着技术发展,牙齿矫正已从传统的“钢牙”发展为多种美学选择,满足不同人群的需求:

| 矫正方式 | 美学优势 | 适用人群 | 注意事项 |
|---|---|---|---|
| 金属托槽矫正 | 矫正力度强,性价比高 | 牙齿问题复杂、需强力移动者 | 羿观性较强,需注意口腔清洁 |
| 陶瓷托槽矫正 | 托槽与牙齿颜色接近,美观度提升 | 对美观有要求、复杂错颌畸形者 | 材质较脆,避免咬硬物 |
| 隐形矫正(如隐适美) | 完全透明,可自行摘戴,美观度高 | 轻中度错颌畸形、注重美观的上班族/学生 | 依赖患者配合,需每天佩戴20小时以上 |
| 舌侧矫正 | 托槽粘贴在牙齿内侧,完全隐形 | 对美观要求极高、经济条件允许者 | 适应难度大,发音可能受影响,价格高 |
美学矫正的核心:个性化与自然和谐
专业的牙齿矫正绝非“千人一面”,而是基于面部美学标准(如“三庭五眼”“四高三低”)进行个性化设计,医生会结合患者的脸型、肤色、唇形、笑容习惯等,制定“微笑设计”方案:比如圆脸患者可通过适当内收前牙,让面中更突出,修饰脸型;长脸患者可通过打开咬合、增加面下1/3高度,平衡面部比例,矫正过程中会严格控制牙齿移动速度与方向,避免“过度矫正”,确保最终效果既符合功能需求,又自然协调,达到“美而不自知”的境界。
相关问答FAQs
Q1:牙齿矫正一定要拔牙吗?拔牙会不会让脸型凹陷、显老?
A:拔牙是矫正中常见的手段,但并非人人需要,是否拔牙需根据牙齿拥挤程度、咬合关系、面部比例等综合判断,目的是为牙齿移动提供空间,改善咬合功能与面部轮廓,担心拔牙导致脸型凹陷是常见误区:拔牙后,医生会通过内收前牙关闭间隙,同时面部肌肉、软组织会适应性调整,反而可能因咬合改善让侧脸线条更紧致,只要在专业医生操作下,拔牙矫正不会导致“显老”,反而可能让面型更协调。
Q2:成年后矫正效果会不会不如青少年?年龄限制大吗?
A:牙齿矫正没有绝对的年龄限制,青少年因颌骨仍在发育,矫正速度可能稍快,但成年人的颌骨已定型,只要牙周健康(无严重牙龈萎缩、牙槽骨吸收),同样能取得良好效果,成年人的矫正优势在于配合度高、目标明确(如更注重美观或功能改善),且随着隐形矫正、数字化正畸等技术发展,成年人的矫正体验更舒适、美观,只要口腔条件允许,任何年龄段都可以通过矫正实现“变美”需求。

