看到你对美容冠快速矫正感兴趣,我能理解你希望快速改善牙齿外观的心情!美容冠确实是一个看似“快速”的解决方案,但它在牙齿矫正领域是一个非常特殊且争议较大的选项,在决定是否选择它之前,你需要全面了解它的本质、优缺点以及适用情况。

🔍 美容冠的本质是什么?
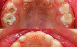
美容冠(通常指超薄瓷贴面或全瓷冠)的核心原理是:通过大量磨除健康的牙齿组织,然后在磨小的牙齿上制作并粘接一层瓷质或树脂的“外壳”(冠或贴面),从而在短时间内改变牙齿的颜色、形状、大小和排列。
它并不是真正意义上的“矫正”(即通过生物力学的力量移动牙齿位置),而是通过“覆盖”和“重塑”来改变牙齿的外观。
⚡ 为什么说它“快速”?
- 时间短: 通常只需要1-2周即可完成(包括咨询、备牙、取模、临时冠、最终粘接)。
- 改变明显: 可以同时解决多种问题:牙齿颜色(美白)、牙齿形状(过小、畸形)、牙齿大小(过大、过小)、轻微排列不齐(通过视觉上调整牙齿形态和位置来“掩盖”)、牙齿间隙(关闭间隙)、牙齿缺损(修复)。
- 无需戴传统牙套: 避免了传统矫正器(钢牙、隐形牙套)的佩戴过程。
⚠️ 美容冠作为“快速矫正”的巨大风险和缺点(这是你需要重点考虑的!)
-
不可逆的牙体磨除:
- 这是最核心、最严重的风险! 为了让冠或贴面能牢固地覆盖在牙齿上,医生需要磨除大量健康的牙釉质甚至牙本质(通常需要磨除牙齿外层约1-2mm甚至更多)。
- 一旦磨除,这部分牙齿组织永远无法再生。 这意味着你的牙齿结构被永久性地削弱了。
- 后果: 牙齿可能变得敏感(冷热刺激不适),更容易折裂,未来如果需要做其他修复(如新的牙冠、根管治疗后做牙冠),需要磨除更多组织,甚至可能导致牙齿无法保留而需要拔除。
-
并非真正的牙齿移动:
- 它不能真正移动牙齿到牙槽骨内的正确位置,它只是通过视觉上的“覆盖”和“排列”来模拟整齐的效果。
- 潜在问题: 如果牙齿本身排列严重不齐,单纯靠磨小和覆盖来“排齐”,可能导致牙龈形态不自然、牙齿看起来过大或过小、发音问题、咬合关系改变(可能导致颞下颌关节问题)等。
-
对牙龈健康要求极高:
- 边缘密合度要求非常高,否则容易导致细菌堆积,引发牙龈炎、牙周炎,甚至蛀牙(继发龋)。
- 牙龈退缩风险增加,可能导致牙齿根部暴露,影响美观和健康。
-
修复体本身的局限性:
- 寿命有限: 瓷冠/贴面并非一劳永逸,通常使用寿命在5-15年不等,之后可能需要更换,更换时又需要再次磨牙。
- 可能损坏: 存在崩瓷、脱落、边缘渗漏等风险。
- 颜色稳定性: 虽然颜色可以很白,但长期使用或饮食习惯(如喝咖啡、茶)可能导致染色。
-
费用昂贵:
通常比传统矫正(尤其是金属托槽矫正)昂贵很多,尤其是全瓷冠,一颗牙的费用可能从几千到上万不等。
-
对医生技术要求极高:
备牙的精确度、取模的准确性、修复体的制作工艺、粘接技术等,都直接影响最终效果和使用寿命,选择不熟练的医生,风险倍增。
📍 美容冠作为“快速矫正”的适用情况(非常有限!)
美容冠绝对不是常规的牙齿矫正方法,它只在极其特定的情况下,作为最后的选择才考虑:
- 牙齿本身存在严重问题: 牙齿大面积缺损、严重变色(四环素牙、氟斑牙等无法通过冷光美白改善)、形态严重畸形(锥形牙、过小牙)。
- 患者强烈要求快速改善美观: 并且充分理解并接受上述所有风险(尤其是永久磨牙)。
- 患者无法接受传统矫正: 因职业、社交需求等无法忍受长时间佩戴矫正器。
- 患者口腔条件允许: 牙齿本身有足够的强度承受磨牙和修复体,牙龈健康,咬合关系基本正常(或通过少量调磨可接受)。
- 医生经过严格评估: 确认磨牙是必要且合理的,并且有把握做出高质量的修复体。
🏆 对于牙齿矫正,更推荐的选择是什么?
-
传统固定矫正(钢牙托槽):
- 优点: 真正移动牙齿,改善咬合和功能,效果稳定可靠,适用范围广(几乎所有牙齿排列问题),不磨除健康牙齿组织。
- 缺点: 时间较长(通常1-3年),美观性差(钢牙),口腔卫生要求高,复诊频繁。
- 适合人群: 几乎所有牙齿排列不齐、咬合问题的人群,尤其是青少年和年轻人。
-
隐形矫正(如隐适美、时代天使等):
- 优点: 美观(透明牙套),可自行摘戴,口腔卫生容易维护,效果可预测,不磨除健康牙齿组织。
- 缺点: 费用较高,需要患者高度配合(每天佩戴20-22小时),时间相对固定矫正稍短但比美容冠长得多,复杂病例效果可能不如固定矫正。
- 适合人群: 对美观要求高,能严格配合佩戴,牙齿问题相对不特别复杂的成年人。
-
瓷贴面(区别于美容冠中的“冠”):
- 优点: 只需极少量磨牙(甚至不磨牙),改善颜色、形状、轻微不齐,美观自然,保留大部分健康牙齿组织。
- 缺点: 对牙齿本身强度要求较高,不能解决严重的排列不齐和咬合问题,费用较高,同样有寿命限制。
- 适合人群: 牙齿颜色不佳、轻微缺损、轻微排列不齐、间隙较小,希望快速改善美观且不愿意磨牙的人群。
📌 总结与建议
- 美容冠“快速矫正”是高风险选择: 其核心是永久磨除健康牙齿组织来换取快速的外观改变,这违背了现代牙科“最小干预”和“保存天然牙体”的原则。
- 优先考虑不磨牙的矫正方式: 传统矫正(固定或隐形)是解决牙齿排列问题的金标准,因为它真正移动牙齿而不破坏健康组织。瓷贴面是改善美观(颜色、形状、轻微不齐)的更保守选择。
- 明确你的需求: 你是真正需要移动牙齿位置(比如门牙明显外凸、拥挤严重),还是主要想改善牙齿颜色、形状、轻微排列不齐?前者必须选择矫正,后者可考虑贴面或美白。
- 务必咨询专业正畸医生: 强烈建议你咨询有资质的正畸专科医生! 他们能:
- 准确诊断你的牙齿问题(是排列问题?咬合问题?还是美观问题为主?)。
- 评估你的口腔健康状况(牙龈、牙齿本身、咬合)。
- 向你详细解释所有可行的方案(传统矫正、隐形矫正、贴面、美容冠等)及其各自的优缺点、风险、费用、时间。
- 告诉你美容冠是否真的适合你,以及是否有更安全、更有效的替代方案。
- 提供专业、客观的建议,而不是仅仅推销美容冠。
- 不要被“快速”、“明星同款”等营销话术迷惑: 做决定前,务必深入了解其本质和风险。
牙齿健康是基石,美观是锦上添花。 在追求快速变美的同时,请务必将牙齿的长期健康和功能放在首位,磨除健康牙齿就像在美丽的房子上动大手术,虽然表面焕然一新,但结构已被永久改变,未来可能面临更多问题。真正的美丽应该建立在健康的基础上,而不是以牺牲牙齿为代价的捷径。 建议你多咨询几位正畸医生,全面了解所有选项后再做决定。🌟
