矫正牙齿后牙齿变黄是一个常见问题,通常是由多种因素共同作用的结果,别担心,这通常是可以通过正确护理和专业改善的,下面我来详细分析一下原因和解决方法:

🦷 一、 为什么矫正后牙齿会变黄?
-
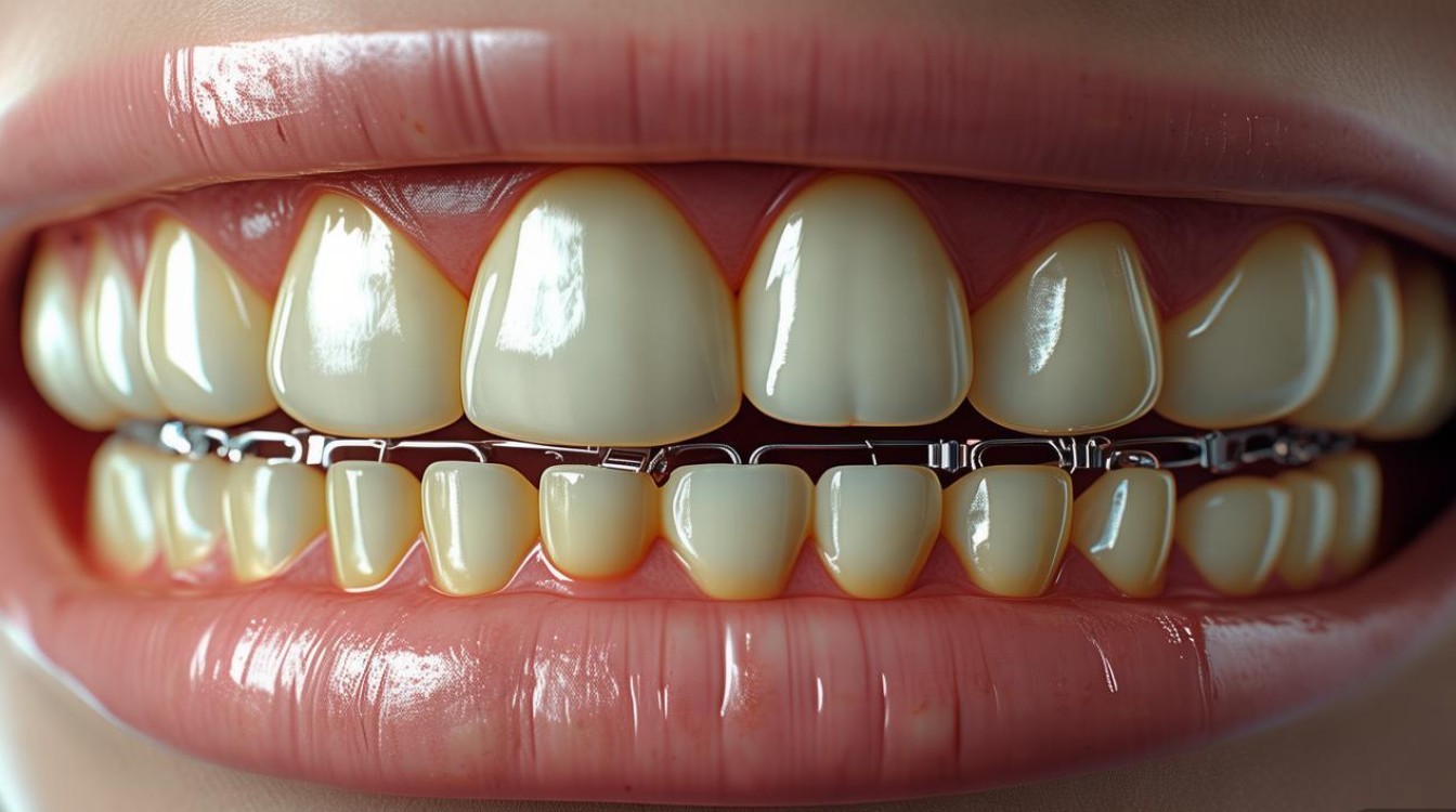
牙釉质脱矿(白斑/龋齿前兆):
- 最常见且最需要重视的原因! 矫正期间,托槽周围、牙龈边缘、牙缝等区域,如果清洁不到位,食物残渣和细菌堆积,会产生酸性物质,这些酸会溶解牙釉质表面的矿物质(钙、磷),形成白色或淡黄色的不透明斑块(白斑),这不仅是变黄,更是龋齿(蛀牙)的前兆。
- 表现: 牙齿表面出现粉笔白或淡黄色的不透明斑点,尤其在托槽周围最明显,白斑区域比周围牙齿颜色浅(早期)或后期可能变深(如果发展成龋齿)。
-
牙菌斑和色素沉着:
- 矫正装置本身是“藏污纳垢”的高手。 托槽、弓丝、结扎丝等装置会阻碍牙刷和牙线的正常清洁,容易在牙齿表面、托槽边缘、牙缝处堆积牙菌斑。
- 牙菌斑本身是黏糊糊的薄膜,容易吸附食物中的色素(如咖啡☕、茶🍵、红酒🍷、酱油、咖喱、蓝莓等),形成外源性色素沉着,使牙齿看起来发黄、发灰或出现色斑。
- 表现: 牙齿表面,尤其是托槽周围、牙龈边缘、牙缝处,有黄色、棕色或黑色的污渍。
-
牙釉质轻微损伤:
粘贴托槽时使用的酸蚀剂,以及矫正过程中施加的轻微力量,理论上可能对牙釉质造成极其微小的、暂时性的影响,使其通透性略有改变,可能显得比之前略黄,但这通常不是主要原因,且会随时间恢复。
-
口腔卫生习惯不佳:
这是导致上述问题的根源,矫正期间,清洁难度加大,如果患者没有投入更多的时间和精力进行彻底的口腔清洁(包括刷牙、牙线、冲牙器等),牙菌斑和色素沉着、脱矿的风险就会大大增加。
-
饮食因素:
矫正期间食用深色、酸性或含糖食物饮料(如咖啡、茶、红酒、可乐、果汁、糖果等)后,如果没有及时漱口或清洁,会加剧色素沉着和牙菌斑形成。
-
牙齿本身颜色:
有些人的牙齿天生就偏黄(牙本质颜色较深或釉质较薄),矫正前可能不明显,或者被托槽遮挡,拆掉牙套后,牙齿全貌展现出来,加上清洁问题,就显得更黄了。
-
牙龈炎/牙周炎:
清洁不到位也可能导致牙龈红肿、发炎(牙龈炎),甚至牙周炎,炎症状态下,牙龈边缘容易染色(如吸烟、喝茶),也会影响牙齿的整体美观感。
🛠 二、 如何改善和预防矫正后牙齿变黄?
🧼 1. 加强口腔清洁(最重要!)
* **刷牙:** 使用**小头软毛牙刷**(如正畸专用牙刷)或**电动牙刷**,每天至少**3次,每次2分钟**,采用**巴氏刷牙法**,确保每个牙面(包括托槽周围、牙龈边缘、牙齿咬合面)都刷到,刷牙后,用**正畸专用牙缝刷**或**牙线**彻底清洁托槽下方、牙缝等牙刷难以触及的区域。
* **牙线/牙缝刷:** **每天至少使用一次牙线或牙缝刷**,这是清除牙缝和托槽下方菌斑和食物残渣的关键,牙线穿线器(正畸穿线器)能帮助牙线顺利通过弓丝。
* **冲牙器:** 作为辅助工具,能有效冲走牙缝和托槽周围的软垢和食物残渣,尤其适合牙线使用困难的人。
* **漱口水:** 使用**含氟漱口水**(如0.05%氟化钠或0.12%氯己定含氟漱口水),可以增强牙釉质抗酸能力,抑制细菌,帮助预防脱矿和龋齿,但需注意,氯己定漱口水可能导致牙齿染色,需遵医嘱使用,并注意使用频率和时间。
🦷 2. 及时处理白斑(脱矿)
* **发现白斑立即就医!** 一旦发现牙齿上有白色或淡黄色不透明的斑块,**不要自行用美白牙膏处理**,这可能刺激敏感区域。
* **专业处理:** 牙医会评估白斑的严重程度,早期脱矿可以通过加强氟化物治疗(如涂氟、含氟牙膏、含氟漱口水)来促进再矿化,逆转白斑,如果已经发展成龋齿,则需要补牙。
🧼 3. 定期口腔检查和专业洁牙
* **每3-6个月**进行一次口腔检查和**专业洁牙**,牙医可以彻底清除刷牙和牙线难以去除的牙菌斑、牙结石和色素沉着,并检查是否有脱矿、龋齿或牙周问题,矫正期间和矫正后都要坚持。
🍽 4. 调整饮食习惯
* 减少或避免在矫正期间食用深色、酸性、高糖食物饮料。
* 如果食用了,尽量**及时漱口**(用清水或含氟漱口水),并在**进食后30分钟后再刷牙**(避免在牙釉质被酸蚀软化后立即刷牙造成磨损)。
* 多喝水,保持口腔湿润。
✨ 5. 牙齿美白(在确保健康前提下)
* **时机:** **务必在拆除牙套、口腔健康(无活动性龋齿、严重脱矿、牙龈炎等)的前提下进行美白。** 美白前需牙医评估。
* **方法:**
* **家庭美白:** 牙医取模制作个性化托盘,在家使用低浓度美白凝胶,相对温和,需按医嘱持续使用。
* **诊室美白(冷光美白等):** 在牙科诊所进行,使用高浓度美白剂配合特殊光源,效果较快较明显,但牙齿敏感风险稍高。
* **注意:**
* 美白效果因人而异,尤其是对于脱矿造成的白斑(可能效果有限或需多次)。
* 美白后牙齿可能暂时敏感,需遵医嘱使用脱敏牙膏。
* 美白效果会随时间减弱,需维护(避免染色食物、使用美白牙膏)。
* **有严重脱矿或龋齿时,绝对不能美白!** 必须先治疗。
🏥 6. 治疗性美白(针对特定情况)
* 对于已经形成的、无法通过简单美白改善的**脱矿白斑**,如果影响美观且脱矿稳定,牙医可能会考虑:
* **微研磨:** 非常轻微地磨除白斑表层,使其与周围牙齿颜色更接近。
* **树脂渗透:** 将低粘度树脂渗透进脱矿区域,封闭孔隙,改善白斑外观。
* **树脂修复:** 对于较严重的白斑或小范围龋齿,进行树脂充填修复。
📌 总结关键点
- 首要任务是彻底清洁! 矫正期间和矫正后,投入更多精力在刷牙、牙线、牙缝刷上,是预防变黄和脱矿的核心。
- 警惕白斑! 发现牙齿表面出现白色或淡黄色不透明斑块,立即去看牙医,这是脱矿的信号,需要专业处理,防止发展成蛀牙。
- 定期检查洁牙! 每3-6个月一次,让专业人士帮你清洁和评估。
- 美白需谨慎! 确保口腔健康无活动性龋齿和严重脱矿后,再考虑美白,美白前务必咨询牙医。
- 饮食注意! 减少深色、高糖食物饮料摄入,吃完及时漱口。
矫正后的牙齿变黄,绝大多数情况是可以预防和改善的。 关键在于加强日常口腔卫生维护和及时寻求牙医的专业帮助,不要因为担心变黄而放弃矫正,只要护理得当,矫正结束后你就能拥有一口整齐健康的牙齿!💪🏻 如果已经出现明显变黄或白斑,建议尽快预约牙医进行专业评估和处理。
