拜博口腔网

  • 正畸头影测量z角

    正畸头影测量z角

    正畸头影测量是口腔正畸学中通过分析颅颌部X线影像进行定量诊断的核心技术,其指标涵盖骨骼、牙齿及软组织多个维度,其中z角作为评估软组织侧貌的关键参数,对正畸治疗方案设计和疗效预测具有重要指导意义,z角又称软组织面角,由软组织颏前点(Pos)与...

    2026-01-03
    44 0 0
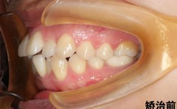
  • 有美容冠等正畸吗

    有美容冠等正畸吗

    牙齿健康与美观是现代人关注的重点,随着口腔医学技术的发展,正畸治疗和美容冠修复已成为改善牙齿问题的两大主流方式,许多人对这两种方法存在疑问,尤其是“是否有美容冠等正畸选择”这一问题,其实两者并非替代关系,而是针对不同牙齿问题的解决方案,有时...

    2026-01-03
    39 0 0
  • 正畸后脸会变短?医生揭秘真相与影响因素

    正畸后脸会变短?医生揭秘真相与影响因素

    正畸后脸是否会变短,是许多考虑或正在进行牙齿矫正的人群关注的核心问题,要解答这一疑问,需从正畸的原理、牙齿移动对面部结构的影响、个体差异以及临床常见误区等多个维度综合分析,而非简单给出“会”或“不会”的答案,正畸学中,“脸变短”通常指面下1...

    2026-01-03
    42 0 0
  • 美奥口腔儿童正畸

    美奥口腔儿童正畸

    儿童牙齿不齐不仅影响面部美观,还可能导致咀嚼功能下降、发音不清,甚至引发口腔卫生问题,对孩子的身心健康造成长远影响,美奥口腔儿童正畸中心,依托专业的医疗团队与先进的数字化技术,为不同年龄段儿童提供个性化的正畸解决方案,助力孩子拥有健康整齐的...

    2026-01-02
    115 0 0
  • 北大口腔进修正畸

    北大口腔进修正畸

    北大口腔医院作为国内口腔医学领域的顶尖机构,其正畸科依托强大的医疗团队、前沿的技术设备和丰富的临床经验,为各类牙齿畸形患者提供个性化的矫正方案,无论是儿童早期干预、青少年综合性矫正,还是成人复杂病例治疗,北大口腔正畸都以精准诊断、科学设计和...

    2026-01-02
    46 0 0
  • 长春拜博正畸吴献

    长春拜博正畸吴献

    长春拜博口腔的正畸医生吴献,在口腔正畸领域积累了丰富的临床经验,以其专业的技术、细致的服务和个性化的矫正方案,受到了众多患者的认可,从业多年来,他始终专注于牙齿矫正的研究与实践,致力于帮助不同年龄段的患者解决牙齿排列不齐、咬合异常等问题,重...

    2026-01-02
    32 0 0
  • 正畸上唇系带低厚

    正畸上唇系带低厚

    上唇系带是位于上唇内侧与牙龈之间的条索状纤维组织,主要作用是连接上唇与颌骨,维持唇部张力及口腔结构稳定,正常情况下,上唇系带附着于上颌中切牙之间的牙槽嵴黏膜下方,纤维束细薄,对牙齿排列无明显影响,但当上唇系带附着位置过低(接近或位于牙槽嵴顶...

    2026-01-02
    39 0 0
  • 北京市正畸专委会

    北京市正畸专委会

    北京市正畸专委会作为推动首都地区口腔正畸学科发展、规范行业诊疗行为、提升专业服务水平的重要学术组织,自成立以来始终以“引领学科创新、保障医疗质量、服务公众健康”为宗旨,凝聚了北京市各大三甲医院、口腔专科医院及知名民营机构的正畸领域专家力量,...

    2026-01-02
    18 0 0
  • 氟斑牙可以正畸嘛

    氟斑牙可以正畸嘛

    氟斑牙是由于牙齿发育期间(通常在7岁前)摄入过量氟化物导致的釉质矿化不全,临床表现为白垩色、黄褐色斑块,严重者可伴有釉质缺损甚至牙体缺损,许多氟斑牙患者因牙齿排列不齐或外观问题希望通过正畸改善,但同时也担心氟斑牙的特殊性是否会影响正畸效果或...

    2026-01-02
    43 0 0
  • 贵州省正畸专委会

    贵州省正畸专委会

    贵州省正畸专委会全称为“贵州省口腔医学会正畸专业委员会”,是贵州省口腔正畸领域最具权威性的学术组织,由省内从事口腔正畸医疗、教学、科研及相关领域的专业人员组成,自成立以来,专委会始终以“推动学科发展、规范诊疗行为、提升服务质量、保障患者权益...

    2026-01-02
    36 0 0