拜博口腔网

  • 牙骨薄怎么种牙

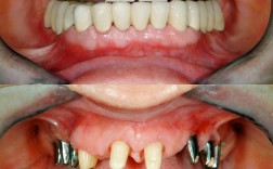
    牙骨薄怎么种牙

    牙骨薄是指牙槽骨因缺牙时间过长、牙周炎、天生发育不足等原因导致骨量不足,无法为种植体提供足够的支撑力,传统种植牙可能面临种植体松动、脱落甚至失败的风险,但通过现代口腔技术,牙骨薄患者仍可实现成功种牙,关键在于科学评估和个性化方案设计,牙骨薄...

    2025-12-25
    44 0 0
  • 牙槽骨不足种牙

    牙槽骨不足种牙

    牙槽骨是支撑牙齿的重要组织,其健康状况直接关系到种植牙的成功与否,由于牙齿缺失后长期未修复、牙周病、外伤或先天发育异常等原因,部分患者会出现牙槽骨骨量不足的问题,这成为种植牙的主要障碍之一,牙槽骨不足表现为骨高度、宽度或密度的降低,若直接种...

    2025-12-25
    64 0 0
  • 种植牙中灌牙这一步是怎么进行的?

    种植牙中灌牙这一步是怎么进行的?

    通常所说的“灌牙”,其实是种植牙的俗称,并非医学标准术语,它是指通过外科手术将人工牙根(种植体)植入牙槽骨内,待其与骨组织结合后,再安装基台和牙冠,恢复牙齿形态与功能的修复方式,与传统的活动假牙或固定桥不同,种植牙能模拟天然牙的生理结构,咀...

    2025-12-24
    56 0 0
  • 种牙为何要做游离植骨?效果和安全性如何?

    种牙为何要做游离植骨?效果和安全性如何?

    在种植牙领域,骨量不足是影响种植成功的关键因素之一,而游离植骨技术则是解决这一难题的重要手段,游离植骨是指从患者自体身体其他部位(如髂骨、颏部、下颌骨外板等)或通过异体、异种、人工材料获取骨组织,经过处理后移植到缺牙区牙槽骨缺损部位,通过骨...

    2025-12-23
    37 0 0
  • 种牙可以重新种吗

    种牙可以重新种吗

    种植牙作为目前修复缺失牙的理想方式,凭借其美观、稳固、咀嚼功能接近天然牙的优势,被越来越多缺牙患者选择,但部分患者可能会遇到种植牙使用后出现问题,如种植体松动、牙冠脱落、周围组织发炎等,进而产生疑问:“种牙可以重新种吗?”种植牙是可以重新种...

    2025-12-22
    110 0 0
  • 种植牙治疗方法

    种植牙治疗方法

    种植牙是目前修复缺失牙齿的先进方法之一,被誉为“人类的第三副牙齿”,它通过外科手术将纯钛或钛合金制成的种植体植入牙槽骨内,待其与骨组织结合后,再在上方安装基台和牙冠,从而恢复牙齿的形态、功能及美观,与传统活动假牙或固定桥相比,种植牙不损伤邻...

    2025-12-22
    26 0 0
  • 牙根吸收后种牙怎么办?有哪些解决方法?

    牙根吸收后种牙怎么办?有哪些解决方法?

    牙根吸收是指牙齿根部的牙骨质或牙本质由于各种原因被破坏、吸收,导致牙根长度缩短、形态异常,甚至牙齿松动脱落的过程,这一现象可能由牙齿外伤、正畸治疗不当、根尖周炎症、肿瘤或特发性因素引起,对于牙根吸收患者而言,若需进行种植牙修复,需先评估吸收...

    2025-12-20
    17 0 0
  • 种牙时骨头短会影响种植吗?怎么解决?

    种牙时骨头短会影响种植吗?怎么解决?

    种牙时发现骨头短(即牙槽骨量不足)是种植牙过程中非常常见的情况,完全不必过于担心,这并不意味着你无法种植牙齿,只是意味着需要额外的步骤来解决骨量不足的问题,以确保种植体能够获得长期稳定的支撑,以下是关于“种牙时发现骨头短”的详细解释和处理方...

    2025-12-18
    55 0 0
  • 种牙外提手术视频能看清哪些关键步骤?

    种牙外提手术视频能看清哪些关键步骤?

    我理解你想了解“种牙外提手术”的相关视频,这个术语在种植牙领域通常指的是上颌窦提升术(MaxillarySinusLiftProcedure),也常被称为“上颌窦底冲顶术”或“上颌窦内提升术”,这是种植牙手术中一个非常常见且重要的步骤...

    2025-12-18
    135 0 0
  • 种牙需要拔牙根么

    种牙需要拔牙根么

    种植牙是否需要拔除牙根,这完全取决于你牙齿的具体情况,不能一概而论,需要根据牙根的状态、位置以及牙槽骨的状况来决定,以下是几种常见的情况分析:🦷1.牙齿已经完全脱落,但牙根残留在牙槽骨内通常需要拔除:这是最常见的情况,如果牙齿已经脱落...

    2025-12-18
    21 0 0