拜博口腔网

  • 牙齿前突矫正图片能真实反映矫正效果吗?

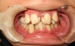
    牙齿前突矫正图片能真实反映矫正效果吗?

    我理解你想通过图片直观了解牙齿前突矫正的效果,这是一个非常实际的需求!出于隐私保护、版权限制以及医疗个体差异的考虑,我无法直接在这里展示未经授权的患者矫正前后对比图片,我可以为你详细描述牙齿前突矫正后通常能达到的效果,以及如何找到可靠的参考...

    2025-11-22
    25 0 0
  • 隐形矫正牙齿的具体流程、时间及效果如何?

    隐形矫正牙齿的具体流程、时间及效果如何?

    隐形矫正(如隐适美Invisalign、时代天使Angelalign等)是一种利用透明、可摘戴的牙套来移动牙齿,达到矫正牙齿排列和咬合问题的方法,它相比传统金属托槽矫正器,在美观、舒适度和便捷性上有很多优势,以下是进行隐形矫正的详细步骤和注...

    2025-11-22
    34 0 0
  • 成人矫正牙齿可行吗?效果和年龄限制有哪些?

    成人矫正牙齿可行吗?效果和年龄限制有哪些?

    是的,成年人完全可以矫正牙齿!这是一个非常普遍且可行的选择,随着人们对口腔健康和美观需求的提升,以及正畸技术的不断进步,成年人正畸已经非常普遍,并且取得了很好的效果,以下是关于成年人矫正牙齿的一些关键信息和注意事项:📍为什么成年人可以矫...

    2025-11-22
    26 0 0
  • 牙齿矫正遇缺牙怎么办?影响效果还能矫正吗?

    牙齿矫正遇缺牙怎么办?影响效果还能矫正吗?

    牙齿矫正期间遇到缺牙问题确实是个需要谨慎处理的情况,这会直接影响矫正方案的设计、最终效果以及后续的修复,处理方式主要取决于缺牙的原因、位置、数量以及你处于矫正的哪个阶段,以下是几种常见情况及相应的处理策略:🦷情况一:矫正前计划性拔牙(最常...

    2025-11-22
    39 0 0
  • 衡阳矫正牙齿费用多少?效果好不好?哪家医院靠谱?

    衡阳矫正牙齿费用多少?效果好不好?哪家医院靠谱?

    📍一、衡阳牙齿矫正的主要选择衡阳作为湖南省重要的城市,拥有多家提供专业正畸服务的医疗机构,主要分为以下几类:大型公立医院口腔科/口腔医院:代表机构:南华大学附属第一医院口腔科(正畸专业通常较强)南华大学附属第二医院口腔科衡阳市中心医院口腔...

    2025-11-22
    35 0 0
  • 25岁矫正牙齿,年纪不小了,矫正还来得及吗?效果会打折扣吗?

    25岁矫正牙齿,年纪不小了,矫正还来得及吗?效果会打折扣吗?

    25岁矫正牙齿完全可行,而且越来越常见!成年正畸已经成为一个成熟且效果显著的治疗领域,以下是你需要了解的关键信息和建议:📍一、为什么25岁矫正牙齿可行?骨骼发育已完成:成年后颌骨基本停止生长,这意味着:主要解决牙齿问题:矫正主要集中在...

    2025-11-22
    25 0 0
  • 上海牙齿矫正哪家好?价格效果时间如何?

    上海牙齿矫正哪家好?价格效果时间如何?

    看到你在上海寻找牙齿矫正的信息,我能理解这种期待又有些迷茫的心情,牙齿矫正不仅关乎美观,更是关乎口腔健康和自信的大事,在上海这样的大城市选择确实需要谨慎,别担心,我来帮你梳理一下上海牙齿矫正的关键信息,希望能帮你做出明智的选择,🏥一、选择...

    2025-11-21
    24 0 0
  • 矫正牙齿为何要往前移?效果与风险究竟如何?

    矫正牙齿为何要往前移?效果与风险究竟如何?

    看到你关注“矫正牙齿往前”的问题,我能理解你对牙齿外观的担忧,牙齿前突(俗称“龅牙”)确实会让人感觉笑容不够自信,甚至影响侧脸轮廓,别担心,现代正畸技术已经能非常有效地解决这个问题,我来详细解释一下矫正牙齿前突的各种方法、原理和注意事项,希...

    2025-11-21
    33 0 0
  • 龅牙矫正牙齿移动视频,牙齿移动原理是什么?矫正效果能看清吗?

    龅牙矫正牙齿移动视频,牙齿移动原理是什么?矫正效果能看清吗?

    看到你在寻找关于龅牙矫正牙齿移动的视频,我能理解你想直观了解这个过程的心情,看着牙齿一步步移动到理想位置确实很神奇,也让人对矫正效果充满期待,在分享资源之前,我想先帮你理清一下思路,这样你找到的视频才能真正帮到你,📺关于龅牙矫正牙齿移动视...

    2025-11-21
    69 0 0
  • 深圳隐形牙齿矫正效果具体好不好?价格流程和医院怎么选?

    深圳隐形牙齿矫正效果具体好不好?价格流程和医院怎么选?

    📍一、什么是隐形牙齿矫正?原理:使用一系列由透明高分子材料(如医用级高分子聚合物)制成的、可摘戴的透明牙套,过程:通过计算机辅助设计(CAD/CAM)和3D打印技术,为患者量身定制每一副牙套,每副牙套对牙齿施加轻微的、持续的力,使牙...

    2025-11-21
    24 0 0