拜博口腔网

  • 2025年只矫正下牙不矫正上牙可行吗?

    2025年只矫正下牙不矫正上牙可行吗?

    只矫正下牙齿,不矫正上牙齿”的问题,在正畸学中,这通常不被推荐,且存在较高的风险和潜在问题,现代正畸的核心原则是建立稳定、健康、功能与美观并存的咬合关系,而不仅仅是排齐单颌牙齿,以下是详细分析和原因:📍为什么“只矫正下牙”通常不可行或风...

    2025-11-02
    53 0 0
  • 技师种植牙即刻修复流程的关键步骤有哪些?

    技师种植牙即刻修复流程的关键步骤有哪些?

    核心原则协作性:技师工作与口腔医生(种植外科医生、修复医生)紧密配合,贯穿始终,精准性:对模型、设计、制作的精度要求极高,时效性:即刻修复要求流程高效,通常在种植手术当天或术后极短时间内完成临时冠的戴入,生物功能性:临时修复体需引导...

    2025-10-31
    44 0 0
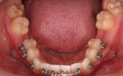
  • 传统矫正牙齿的图片能展示哪些矫正过程与效果?

    传统矫正牙齿的图片能展示哪些矫正过程与效果?

    以下是一些传统矫正牙齿(金属托槽)的图片示例,展示了不同阶段和角度:📸图片示例(描述)正面观-刚戴上牙套:图片展示了一张清晰的正面脸照,嘴巴自然闭合,可以看到牙齿上整齐排列着银灰色的金属托槽,每个托槽都通过细小的金属丝(弓丝)连接在...

    2025-10-31
    55 0 0
  • 矫正牙齿咬合调整怎么做?关键步骤与方法解析

    矫正牙齿咬合调整怎么做?关键步骤与方法解析

    矫正牙齿怎么调咬合?专家详解3大阶段+5种方法,告别咬合烦恼!很多人以为牙齿矫正只是把牙齿排齐,调咬合”才是矫正的“收官关键”——它直接关系到矫正后的稳定性、咀嚼功能,甚至颞下颌关节健康,临床上常有患者反馈:“牙齿排齐了,但咬东西还是不得劲...

    2025-10-30
    45 0 0
  • 牙齿矫正带平导有何用?作用、效果及必要性解析

    牙齿矫正带平导有何用?作用、效果及必要性解析

    “牙齿矫正带平导”通常指的是在牙齿矫正(正畸)过程中佩戴一种叫做平面导板(简称“平导”)的装置,它是一种功能性矫治器,主要用于解决特定的牙齿和颌骨问题,以下是关于平导的详细解释:📍1.平导是什么?形状:通常由透明的树脂材料制成,呈平板...

    2025-10-30
    40 0 0
  • 矫正牙齿为何要戴橡皮筋?关键作用有哪些?

    矫正牙齿为何要戴橡皮筋?关键作用有哪些?

    矫正牙齿时佩戴的橡皮筋(也称为颌间牵引橡皮筋或正畸橡皮筋)是正畸治疗中非常重要且常用的工具,它们在牙齿移动和咬合关系的调整中扮演着关键角色,它们的主要作用可以概括为以下几点:🧩1.提供精确的、持续轻柔的移动力核心作用:这是橡皮筋最基本...

    2025-10-30
    44 0 0
  • 牙齿矫正后大牙咬不上,是什么原因导致的?该怎么办?

    牙齿矫正后大牙咬不上,是什么原因导致的?该怎么办?

    牙齿矫正后出现大牙咬不上(咬合不良)的情况确实令人困扰,这通常意味着矫正后的咬合关系没有达到理想状态,别担心,这种情况是可以解决的,但需要尽快找你的正畸医生进行专业评估和处理,以下是导致这种情况的常见原因以及可能的解决方案:🧩常见原因咬合...

    2025-10-29
    37 0 0
  • 牙齿矫正后咬合不好,原因何在?

    牙齿矫正后咬合不好,原因何在?

    牙齿矫正后出现咬合不好(也称为咬合紊乱或咬合干扰)是一个相对常见的问题,虽然矫正的目标之一就是改善咬合,但有时在矫正后或矫正过程中会出现新的或持续的咬合问题,这确实令人困扰,但别担心,通常都有解决办法,理解“咬合不好”可能包括哪些具体表现:...

    2025-10-29
    41 0 0
  • 矫正牙齿后期带皮筋

    矫正牙齿后期带皮筋

    矫正牙齿后期(通常指排齐牙齿、关闭拔牙间隙等主要阶段完成后)佩戴皮筋(橡皮圈)是非常常见且关键的一步!这标志着矫正进入了精细调整和稳定期,目标是达到完美的咬合关系、稳定的牙齿位置和理想的面部形态,以下是关于矫正后期佩戴皮筋的重要信息:🧩一...

    2025-10-29
    41 0 0
  • 牙齿矫正后咬合不好,问题究竟出在哪?

    牙齿矫正后咬合不好,问题究竟出在哪?

    牙齿矫正后出现咬合不好确实是一个令人困扰的问题,但这并非罕见情况,别担心,大多数情况下都是可以解决的!理解原因和寻求专业帮助是关键,📍为什么会出现咬合不好?矫正后的咬合问题可能源于多种因素:矫正方案设计或执行中的问题:目标设定不当:矫正...

    2025-10-29
    38 0 0