拜博口腔网

  • 东莞牙齿矫正费用是多少?

    东莞牙齿矫正费用是多少?

    东莞牙齿矫正的价格差异很大,受多种因素影响,很难给出一个确切的数字,但根据东莞的市场情况和普遍行情,我可以为你提供一个大致的价格范围和影响因素分析,帮助你更好地了解和预算:📍主要影响因素矫正方式(技术类型):传统金属托槽矫正:最基础、最...

    2025-11-18
    45 0 0
  • 笑露牙龈矫正牙齿,矫正能改善露龈笑吗?

    笑露牙龈矫正牙齿,矫正能改善露龈笑吗?

    “笑露牙龈”在医学上通常称为牙龈微笑或上颌牙龈暴露过多,这确实可以通过牙齿矫正来改善,但矫正牙齿是解决这个问题的方法之一,且并非总是唯一或最直接的方法,效果取决于导致牙龈微笑的具体原因,以下是关于“笑露牙龈”矫正牙齿的详细分析和建议:🦷一...

    2025-11-18
    47 0 0
  • 杭州口腔牙齿矫正要多少钱?2025年最新价格表及影响因素?

    杭州口腔牙齿矫正要多少钱?2025年最新价格表及影响因素?

    杭州牙齿矫正的价格受多种因素影响,没有一个固定的统一价格,但可以给你一个大致的范围和影响价格的关键因素,帮助你更好地了解和规划:📊一、大致价格范围(仅供参考,实际需面诊确定)传统金属托槽矫正:价格范围:约15,000元-30,00...

    2025-11-18
    58 0 0
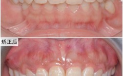
  • 儿童矫正牙齿前后对比图,牙齿变化能有多显著?

    儿童矫正牙齿前后对比图,牙齿变化能有多显著?

    我理解你想通过图片直观了解儿童牙齿矫正前后的变化效果,这确实是个很直观的方式!出于隐私保护和版权考虑,我不能直接提供具体的儿童矫正前后对比图片,但别担心,我可以详细告诉你矫正前后通常会发生哪些变化,以及如何安全地找到类似的图片资源,📸儿童...

    2025-11-18
    39 0 0
  • 矫正牙齿费用一般多少?影响因素有哪些?

    矫正牙齿费用一般多少?影响因素有哪些?

    矫正牙齿(正畸治疗)的费用差异非常大,没有一个固定的“标准答案”,价格范围可以从几千元到几万元人民币不等,主要取决于以下几个关键因素:📍影响价格的主要因素矫正方式/矫治器类型:传统金属托槽矫正:最常见,性价比相对较高,价格通常在8,0...

    2025-11-18
    35 0 0
  • 南通附院牙齿矫正效果好不好?价格和时间多久?

    南通附院牙齿矫正效果好不好?价格和时间多久?

    📍核心信息:南通大学附属医院口腔科(正畸科)南通大学附属医院是南通市乃至江苏省内综合实力最强的三甲医院之一,其口腔科是医院的重点科室之一,拥有专业的正畸亚专业(牙齿矫正)团队,是进行牙齿矫正非常可靠的选择,🦷1.项目范围(能做什么?)...

    2025-11-18
    41 0 0
  • 阳泉牙齿矫正医院怎么选?效果与价格哪个更重要?

    阳泉牙齿矫正医院怎么选?效果与价格哪个更重要?

    🏥一、公立医院口腔科/口腔医院(专业性强,信誉度高)阳泉市第一人民医院口腔科:优势:作为阳泉市最大的综合性三甲医院,其口腔科通常拥有经验丰富的正畸医生团队,技术力量雄厚,设备先进,处理复杂病例能力强,收费相对规范透明,有医保报销政策(部...

    2025-11-18
    37 0 0
  • 长春牙齿矫正多少钱?不同医院、方案价格差异大吗?

    长春牙齿矫正多少钱?不同医院、方案价格差异大吗?

    长春牙齿矫正的价格差异非常大,没有一个固定的“一口价”,主要取决于以下几个关键因素:🦷一、核心影响因素矫正方式(技术类型):传统金属托槽矫正:最经济实惠,技术成熟,价格通常在8000元-15000元左右,陶瓷托槽矫正:托槽颜色...

    2025-11-18
    59 0 0
  • 郑州牙齿矫正哪里好?专业靠谱的医院医生怎么选?

    郑州牙齿矫正哪里好?专业靠谱的医院医生怎么选?

    郑州牙齿矫正哪里好?2024年本地人认可的5大标准+避坑指南“牙齿不齐到底要不要矫正?”“郑州那么多牙科机构,到底哪家靠谱?”“矫正是不是很贵?会不会反弹?”……作为从业15年的牙科专家兼内容策划,我每天都会收到郑州本地朋友关于牙齿矫正的咨...

    2025-11-18
    56 0 0
  • 北京牙齿矫正医生怎么选不踩坑?

    北京牙齿矫正医生怎么选不踩坑?

    看到你在寻找北京的牙齿矫正医生,我能理解这确实是个需要认真考虑的决定!牙齿矫正不仅关乎美观,更直接影响口腔健康和自信心,北京作为医疗资源丰富的城市,选择众多,但也容易让人眼花缭乱,别担心,我来帮你梳理一下思路,找到最适合你的那位好医生,🏥...

    2025-11-18
    42 0 0