拜博口腔网

  • 2025矫正牙齿安全争议?隐形矫正存哪些风险?

    2025矫正牙齿安全争议?隐形矫正存哪些风险?

    矫正牙齿(正畸治疗)在专业操作下是安全的,但任何医疗过程都存在一定风险,了解这些风险并采取预防措施,是确保安全的关键,以下是关于矫正牙齿安全性的全面分析:矫正牙齿的常见风险与应对措施牙根吸收风险:牙根尖端可能轻微缩短(约10-30%患者会发...

    2025-11-15
    41 0 0
  • 2025年牙齿矫正20项新规,隐形矫正费用会降吗?

    2025年牙齿矫正20项新规,隐形矫正费用会降吗?

    看到你只输入了“牙齿矫正20”,我猜你可能是20岁左右,正在考虑牙齿矫正,但又不确定自己这个年纪是否合适?或者想了解20岁矫正有什么特别之处?别担心,我来给你详细说说!核心结论:20岁做牙齿矫正完全可行,而且是非常常见的!年龄从来不是矫正...

    2025-11-15
    36 0 0
  • 2025隐形矫正最新费用多少?关键影响因素有哪些?

    2025隐形矫正最新费用多少?关键影响因素有哪些?

    牙齿隐形矫正的价格因多种因素而异,通常范围在2万元至8万元人民币,甚至更高,以下是对价格构成和影响因素的详细说明,帮助你更好地理解:价格范围参考(人民币)品牌/类型大致价格区间特点国产隐形牙套2万-4万如正雅、美立刻等,性价比高,适合...

    2025-11-15
    38 0 0
  • 2025年上海九院成人矫正最新技术怎么样?

    2025年上海九院成人矫正最新技术怎么样?

    🏥一、为什么选择上海九院进行成人矫正?顶尖的专业团队:拥有国内最顶尖的正畸专家团队,包括众多教授、博士生导师和临床经验丰富的主任医师,他们处理各种复杂、疑难病例的能力非常强,先进的技术设备:配备了国际先进的数字化正畸设备(如口内扫描...

    2025-11-15
    37 0 0
  • 2025隐形矫正牙齿,现在多大年龄做效果最好?

    2025隐形矫正牙齿,现在多大年龄做效果最好?

    隐形矫正(如隐适美Invisalign、时代天使等)适用于广泛的年龄段,但最佳选择和效果会因年龄、口腔状况和个人需求而有所不同,以下是不同年龄阶段进行隐形矫正的详细分析:🧒1.儿童与青少年(通常指12岁前,混合牙列期)可行性:部分可行...

    2025-11-15
    32 0 0
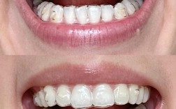
  • 2025矫正门牙内凹最新效果到底如何?

    2025矫正门牙内凹最新效果到底如何?

    矫正门牙内凹(通常指上颌中切牙舌侧倾斜,也就是俗称的“地包天”中门牙部分内倾的情况)是一个非常常见的正畸问题,也是正畸医生经常处理的病例,矫正的目标是将内倾的门牙向前、向外移动到正确的位置,改善美观、功能,并预防未来可能出现的并发症(如牙龈...

    2025-11-15
    39 0 0
  • 2025不戴牙套矫正靠谱吗?效果真这么好?

    2025不戴牙套矫正靠谱吗?效果真这么好?

    看到你在寻找不戴传统牙套的牙齿矫正方法,我能理解这种需求!很多人因为美观、舒适度或生活方式的原因,希望避开“铁齿钢牙”的感觉,好消息是,现代正畸学确实提供了多种不佩戴传统金属托槽和弓丝的矫正方案,或者至少是非常隐蔽、几乎看不见的方案,以下是...

    2025-11-15
    57 0 0
  • 2025苏州隐形矫正牙齿怎么选?最新技术哪家靠谱优惠多?

    2025苏州隐形矫正牙齿怎么选?最新技术哪家靠谱优惠多?

    📍一、主要选择机构类型大型公立医院口腔科/口腔专科医院:代表机构:苏州市立医院(本部/北区/东区)、苏州大学附属第一医院、苏州大学附属第二医院、苏州口腔医院(公立性质)等,优点:权威性高:医生团队专业,经验丰富,尤其擅长处理复杂病例...

    2025-11-15
    46 0 0
  • 现在牙齿矫正还参考传统图片?效果真比隐形矫正差?

    现在牙齿矫正还参考传统图片?效果真比隐形矫正差?

    以下是我为您整理的关于传统牙齿矫正(主要是金属和陶瓷托槽)可能涉及的图片类型和说明:📸一、矫正前的牙齿问题图片(需要矫正的原因)这些图片展示了各种常见的牙齿畸形,是传统矫正的目标:牙齿拥挤:图片:牙齿排列不齐,像“乱草丛”一样相互重叠、...

    2025-11-14
    45 0 0
  • 2025年矫正牙齿还有必要?隐形矫正普及后该做吗?

    2025年矫正牙齿还有必要?隐形矫正普及后该做吗?

    是否需要矫正牙齿,这没有一个绝对的“是”或“否”的答案,因为它高度依赖于你个人的具体情况、需求、期望值以及牙齿问题的严重程度,我们可以从以下几个关键角度来分析矫正牙齿的必要性和价值,帮助你做出更明智的决定:🦷一、医学健康角度(通常被认为...

    2025-11-14
    36 0 0