🦷 一、 明确矫正目的与需求(先问自己,再与医生沟通)
- 我为什么想做牙齿矫正?
- 是为了美观(改善牙齿排列、笑容)?
- 是为了功能(改善咬合、咀嚼效率、发音)?
- 是为了健康(清洁困难导致蛀牙/牙周病风险、颞下颌关节问题)?
- 是为了解决特定问题(如地包天、龅牙、牙齿拥挤、牙缝过大、开颌、深覆颌等)?
- 目的清晰有助于医生理解你的核心诉求,并评估矫正的必要性和优先级。
🩺 二、 咨询医生与机构(选择合适的专家和诊所)
- 医生的资质和经验:
- 您是正畸专科医生吗?(通常需要经过3-5年正畸专科培训并取得相应证书)
- 您从事正畸工作多少年了?
- 您每年大概做多少例矫正案例?
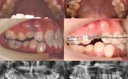
- 您处理过类似我这种错颌类型(如骨性、复杂拥挤、深覆颌等)的案例吗?能给我看看吗?(要求看真实的、与你情况相似的案例照片/视频,注意是治疗前后对比)
- 您是否参与过继续教育或学术活动?
- 诊所的设施与技术:
- 诊所是否有先进的设备?如:数字化口内扫描仪(替代传统取模,更舒适准确)、CBCT(三维X光,用于复杂病例分析)、数字化方案设计软件?
- 诊所的消毒流程是否规范?能否参观一下?
- 诊所的位置和交通是否方便?复诊频率如何?
📋 三、 矫正方案评估(核心环节)
- 我的具体问题是什么?
- 医生会详细解释你的牙齿、颌骨、面部关系存在的问题(牙性问题?骨性问题?还是两者都有?)。
- 要求医生用模型、X光片(全景片、头颅侧位片)、口扫或照片等工具清晰地展示你的问题。
- 矫正的目标是什么?
- 医生会根据你的问题和诉求,制定具体的、可衡量的矫正目标(排齐牙齿、调整咬合、改善侧貌、建立稳定健康的咬合关系等)。
- 这些目标是否现实?能达到什么程度?
- 有哪些矫正方式可以选择?各自的优缺点是什么?
- 传统金属托槽矫正: 效果确切,性价比高,但美观度较差,可能磨嘴。
- 陶瓷托槽矫正: 托槽颜色接近牙齿,比金属美观,但比金属稍贵,可能更耐磨嘴。
- 自锁托槽矫正: 摩擦力小,可能缩短复诊间隔和总疗程,口腔卫生相对容易维护,但费用较高。
- 隐形矫正: 如隐适美、时代天使等,美观度高(可摘戴)、舒适、口腔卫生易维护,但价格昂贵,严重病例可能不适用,需要患者高度配合(戴够时间),复诊次数相对少但依赖患者自行更换牙套。重点询问:是否适合我的情况?效果如何保证?需要戴多少副牙套?
- 舌侧矫正: 托槽粘在牙齿内侧,完全隐形,但费用极高,技术要求高,初期可能影响发音和舒适度,清洁难度大。
- 其他: 如活动矫治器(简单病例)、功能矫治器(青少年骨性问题早期干预)等。
- 关键: 让医生详细对比每种方式在你身上的适用性、效果预期、舒适度、美观度、费用、复诊要求、清洁难度、治疗时间等。
- 是否需要拔牙?为什么?
- 这是很多患者关心的问题,医生会解释拔牙的原因(如:解除严重拥挤、为前突牙齿提供内收空间、改善面型等)。
- 拔哪几颗牙?拔牙后对功能和面型有什么影响?
- 不拔牙矫正的可能性有多大?风险是什么?(比如排不齐、效果不稳定、复发风险高等)
- 矫正需要多长时间?
- 医生会根据你的错颌类型、严重程度、矫正方式、配合情况等因素给出一个预估的治疗时间范围(通常1.5-3年)。
- 影响时间的因素有哪些?(如:拔牙与否、矫正方式、患者配合度、骨改建速度等)
- 整个矫正流程是怎样的?
- 详细说明从初诊、检查、制定方案、开始治疗(粘托槽/戴第一副牙套)、定期复诊、调整、拆除矫治器、戴保持器等各个阶段。
- 每个阶段大概需要多久?复诊频率是怎样的?(如:传统矫正通常4-6周复诊一次,隐形矫正通常6-10周复诊一次)
- 费用是多少?包含哪些项目?
- 总费用是多少? 要求提供书面报价单。
- 费用包含哪些部分?(如:初诊检查费、方案设计费、所有矫治器费用、所有复诊调整费、拆除矫治器费、保持器费用等)
- 是否包含拔牙费、补牙费、牙周治疗费等?(通常不包含,需单独计算)
- 有无分期付款选项?具体如何操作?
- 费用是否透明?有无隐形消费?
- 不同矫正方式费用差异巨大,务必明确。
⚠ 四、 风险、不适与效果管理
- 矫正过程中可能遇到哪些风险或不适?
- 疼痛:每次加力后几天内可能有酸胀不适感(通常可忍受)。
- 口腔溃疡:托槽摩擦导致,可使用正畸保护蜡。
- 牙齿松动:矫正过程中牙齿生理性松动是正常的,治疗结束后会稳定。
- 牙根吸收:少数情况下牙根尖端可能变短(X光片可查),医生会评估风险。
- 颞下颌关节问题:可能加重或诱发,医生会评估。
- 疗程延长或效果不如预期:可能因配合不佳、复杂病例、个体差异等。
- 复发:牙齿有回到原来位置的趋势,保持器至关重要。
- 如何管理和缓解不适?
医生通常会建议止痛药、软食、正畸蜡等。

- 矫正效果能保证吗?
- 医生会强调效果取决于多种因素:医生的技术和经验、患者的配合度(戴保持器、注意口腔卫生、复诊)、错颌的复杂程度、生长发育情况(青少年)等。
- 医生会尽力达到预设目标,但需理解医学并非绝对,存在个体差异。
- 矫正后牙齿会反弹吗?如何预防?
- 反弹是普遍存在的风险! 牙齿有记忆性,矫正结束后必须长期佩戴保持器(通常前几年全天,之后仅夜间,可能需要终身)。
- 医生会解释保持器的重要性、类型(固定/活动)、佩戴时间和注意事项。
🦷 五、 美观与生活方式影响
- 矫正过程中对美观和社交的影响有多大?
- 传统矫正:初期可能明显,但习惯后影响不大。
- 隐形矫正:美观影响极小,几乎看不出来。
- 舌侧矫正:完全隐形。
- 医生会根据你选择的方案评估影响。
- 矫正期间饮食需要注意什么?
- 避免过硬、过粘、过大的食物(如坚果、硬糖、口香糖、整块苹果/胡萝卜等),以防托槽脱落或损坏矫治器。
- 隐形矫正:除了喝水,进食时需摘下牙套。
- 矫正期间能进行运动或演奏乐器吗?
可以,但运动时建议佩戴护齿套保护矫治器,初期演奏铜管乐器可能需要适应。
📝 六、 准备咨询与后续行动
- 我需要带什么资料去咨询?
- 既往的牙科病历、X光片(如有)。
- 你对矫正的具体问题和担忧清单。
- 之前咨询过的其他医生的方案(如有)。
- 咨询后我应该做什么?
- 回顾咨询内容,确保理解所有信息。
- 比较不同医生和机构的方案、报价、案例、沟通感受。
- 不要急于做决定,可以要求时间考虑或寻求第二意见。
- 最终选择: 综合考虑医生的专业性、经验、沟通风格、方案合理性、费用、诊所环境、你的信任感和舒适度。
📌 咨询前准备清单(供你参考)
- 明确你的核心诉求和担忧。
- 列出你想问的所有问题(上面的问题清单可以作为模板)。
- 收集并带上你已有的牙科资料。
- 准备好记录咨询内容(录音需征得医生同意,或带好纸笔)。
- 考虑你的预算范围。
- 保持开放的心态,但也坚持自己的核心需求。
📌 重要提示
- 沟通是关键: 咨询是与医生建立信任、充分交流的过程,大胆提问,直到你完全理解为止,好的医生会耐心解答你的所有疑问。
- 案例对比: 一定要看医生真实的、与你情况相似的矫正前后对比案例,这是评估医生能力和效果预期最直观的方式。
- 书面材料: 对于方案、费用、风险等重要信息,要求提供书面材料。
- 第二意见: 对于复杂病例或重大决定(如拔牙、选择昂贵矫正方式),寻求第二位正畸专科医生的意见是非常明智的。
通过充分的咨询和准备,你就能更自信地开启牙齿矫正之旅,朝着健康、美观的笑容迈进!祝你矫正顺利!💪😊
