前门牙(尤其是上颌中切牙)种植牙虽然效果理想,但由于位置极其重要、暴露度高、解剖结构特殊,确实存在一些特有的弊端和挑战,需要充分了解和权衡:

🦷 一、美观要求极高,难度大(最核心的弊端)
-
颜色匹配困难:
- 前牙区对颜色极其敏感,种植牙的牙冠(通常是全瓷冠)需要与邻牙、对侧同名牙、甚至整个牙列的颜色、通透度、荧光效果完美匹配,任何微小的色差都极其显眼。
- 牙龈的颜色、形态也需要与自然牙协调,否则会显得不自然(如牙龈发白、发灰或形态异常)。
-
形态和比例要求苛刻:
- 前牙的形态(如切缘的弧度、舌窝的深度、近远中面的突度)直接影响笑容的美观和发音,种植牙冠需要精确复制自然牙的形态,同时与邻牙、对颌牙有良好的咬合关系。
- 牙冠的长宽比例、切端磨耗的模拟都需要非常精细。
-
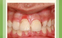
牙龈美学挑战:
- 牙龈乳头形态: 种植体周围牙龈乳头的形态和高度对前牙美学至关重要,如果牙龈萎缩(退缩)或增生(肿胀),会暴露种植体颈部或金属基台(即使全瓷冠覆盖,也可能影响边缘密合度和牙龈健康),形成“黑三角”或牙龈“红肿”,严重影响美观。
- 牙龈缘位置: 种植体周围的牙龈缘需要与邻牙牙龈缘高度一致,否则会显得“高低不平”。
- 牙龈厚度和颜色: 过薄的牙龈组织可能导致种植体金属边缘透出(灰线),影响美观,牙龈颜色需要粉红健康。
⚕️ 二、手术和修复技术要求高,风险相对增加
-
骨量不足常见:
- 前牙区(尤其是上颌前牙)拔牙后,牙槽骨吸收通常比较明显,尤其是唇侧骨板,骨量不足是种植前牙最常见的挑战。
- 解决方案: 常常需要植骨手术(如引导骨再生GBR、骨块移植、上颌窦提升等),这增加了手术步骤、时间、费用和风险(如感染、植骨材料吸收、愈合时间延长)。
-
解剖结构复杂:
- 上颌窦: 上颌前牙牙根上方就是上颌窦,种植体位置如果过高,可能穿透上颌窦窦底,导致感染、鼻窦炎等并发症。
- 鼻腭孔/切牙孔: 上颌中切牙之间有神经血管通过(鼻腭神经),手术中需避免损伤。
- 邻牙牙根: 前牙区空间有限,种植体植入位置必须精确,避免伤及邻牙牙根。
-
软组织处理精细:
- 为了获得良好的牙龈美学效果,手术中常常需要复杂的软组织处理技术,如引导性骨再生联合软组织增量、结缔组织移植等,以增厚牙龈、塑造理想的牙龈乳头形态,这些技术难度高,效果受多种因素影响。
-
种植体位置和角度要求严格:
种植体的植入位置(三维方向)必须精确,以确保最终修复体在唇舌向、近远中向、垂直向都符合美学和功能要求,位置偏差可能导致牙冠形态异常、咬合干扰、牙龈问题等。
⏳ 三、治疗周期长,费用高
- 多阶段治疗: 前牙种植常常需要分阶段进行:拔牙后可能需要等待骨愈合(3-6个月),然后进行植骨(如需要,再等待3-6个月),再进行种植手术(等待3-6个月骨结合),最后取模戴牙冠,整个治疗过程可能持续一年甚至更久。
- 临时修复问题: 在最终牙冠戴入前,需要佩戴临时牙冠,临时牙冠的稳定性、美观性和舒适性可能不如最终牙冠,且佩戴时间较长,可能影响社交和生活质量。
- 费用高昂: 由于技术要求高、步骤多(尤其是涉及植骨和复杂软组织处理)、材料昂贵(如高品质全瓷冠)、医生经验要求高,前牙种植牙的费用通常比后牙种植牙更高,甚至远高于其他修复方式(如烤瓷牙、贴面)。
🦷 四、潜在的长期并发症风险
- 种植体周围炎: 虽然种植体本身不会蛀牙,但种植体周围的组织(牙龈和牙槽骨)仍然可能发炎(种植体周围炎),如果口腔卫生维护不当,炎症会导致牙龈退缩、牙槽骨吸收,最终导致种植体松动、脱落,前牙区美观要求高,清洁可能更困难(尤其多颗种植牙时)。
- 机械并发症: 种植牙的螺丝、基台、牙冠都可能出现松动、折断等情况,前牙区承受的咬合力相对后牙小,但前牙在切割食物和发音时受力复杂,且美观要求高,任何机械问题都需要及时处理,否则影响美观和功能。
- 美学效果不佳: 即使手术成功,最终的美学效果也可能因为各种原因(如牙龈形态不理想、颜色匹配度稍差、轻微的牙龈退缩等)未能达到患者的期望值,修复后调整空间有限。
- 神经损伤风险: 虽然前牙区主要风险在骨量和软组织,但手术中仍有可能损伤下牙槽神经(下颌前牙)或鼻腭神经(上颌前牙),导致相应区域的感觉异常(麻木、刺痛),虽然发生率相对后牙低,但一旦发生影响生活质量。
📌 总结与建议
前门牙种植牙的弊端主要集中在美学挑战巨大、技术要求极高、治疗复杂且周期长、费用昂贵这几个方面,它是一项“高投入、高技术、高期望”的修复方式。
重要建议:
- 选择经验丰富的专科医生: 牙种植医生(尤其是专攻美学修复的)的技术、经验和审美是决定成败的关键,务必选择在前牙美学种植领域有丰富成功案例的医生。
- 充分沟通和期望管理: 术前与医生进行深入沟通,了解所有可能的步骤、风险、时间、费用以及最终能达到的美学效果预期,管理好自己的期望值,理解“完美”有时难以达到,但“优秀”是目标。
- 全面检查和评估: 进行详细的口腔检查、CBCT影像评估(精确测量骨量、神经血管位置)、模型分析、甚至口内扫描等,制定个性化的治疗方案。
- 重视维护: 种植牙成功后,需要终身精心的口腔卫生维护(正确使用牙线、牙缝刷、冲牙器等)和定期的专业洁治和维护复查,这是预防种植体周围炎等并发症、保证长期成功的关键。
- 考虑替代方案: 如果骨条件极差、经济预算有限、或者对美学要求极高但无法完全接受种植牙的局限性和风险,也可以与医生探讨其他修复方案(如高质量的瓷贴面、传统的烤瓷牙/全瓷牙桥),并权衡其利弊。
前门牙种植牙是功能恢复和美学效果都很好的选择,但绝非易事。 务必在充分了解其弊端和挑战的基础上,寻求专业、有经验的医生团队进行评估和治疗,才能最大程度地规避风险,获得满意的效果。💪🏻
