2025欧洲种植牙全攻略:5国深度解析+价格流程避坑指南,看完这篇就够了
在“看牙自由”成为越来越多人的追求时,国内种植牙市场因价格不透明、技术参差不齐等问题,让不少患者将目光投向海外,欧洲凭借成熟的医疗体系、前沿的种植技术、严格的质控标准以及高性价比,成为种植牙“热门目的地”,本文作为牙科专家兼高级内容策划,将从核心优势、热门国家、价格流程、避坑指南四大维度,为你全面解析“去欧洲做种植牙”的实用信息,助你安全、高效地重获一口好牙。
为什么欧洲成种植牙“优选地”?三大核心优势揭秘
相比国内,欧洲种植牙的核心优势可概括为“技术硬、价格明、服务暖”,这也是吸引全球患者的关键因素。

技术前沿:数字化种植+长效质保,安全与效能双保障
欧洲是现代种植牙技术的发源地之一,早在上世纪70年代,瑞典诺贝尔(Nobel Biocare)就推出了首个商业化种植体系统,奠定了现代种植牙的基础,欧洲普遍采用数字化导板技术,通过CBCT(锥形束CT)口扫数据3D建模,精准设计种植位置、角度和深度,将手术误差控制在0.1mm内,实现“微创、精准、即刻负重”(部分案例可当天戴牙)。
欧洲种植体品牌(如瑞士ITI、瑞典Nobel、德国Ankylos等)均拥有50年以上临床数据,生物相容性极佳(纯钛材质),且提供10-15年质保,部分品牌甚至承诺“终身质保”,远超国内主流品牌的5-10年质保周期。
价格透明:无隐形消费,性价比远超美国
国内种植牙常被诟病“价格虚高”,一颗进口种植体动辄1.5万-3万元,且存在“检查费、材料费、手术费”捆绑收费的情况,而欧洲国家(如德国、西班牙、匈牙利等)实行“阳光价”政策,种植费用包含“术前检查+种植体+基台+牙冠+术后维护”,无隐形消费,且价格仅为美国的1/3-1/2。
以德国为例:一颗ITI种植体(含全瓷牙冠)总费用约8000-12000元人民币,而国内同品牌价格普遍在1.8万-3万元;匈牙利作为“欧洲牙科之都”,价格更低,一颗种植体约6000-9000元,性价比极高。

服务贴心:全程中文陪同+终身随访,消除语言与后顾之忧
欧洲知名牙科机构普遍设有“国际患者部”,配备中文客服和翻译人员,从术前咨询、行程安排到术后随访提供“一站式”服务,部分机构(如德国BZW牙科、瑞士Clinic La Colline)甚至可协助办理医疗签证、安排住宿和接送,让患者“落地即看牙”。
术后,欧洲牙科会通过远程视频、定期回访等方式跟踪恢复情况,并提供终身维护(如种植体松动、牙冠损坏免费修复),彻底解决“看牙容易维权难”的痛点。
欧洲种植牙热门国家推荐:各有特色,按需选择
欧洲有30+国家开展种植牙服务,但技术、价格、语言环境差异较大,结合患者反馈和行业数据,推荐以下5个国家,覆盖“高端、性价比、便捷”三大需求:
德国:工业精工之选,适合追求“长效稳定”的患者
- 优势:德国以“严谨、精密”著称,种植体品牌(如Ankylos、Camlog)以“初期稳定性强、骨结合速度快”闻名,尤其适合牙槽骨条件差(如骨量不足)的患者,可实现“骨增量+种植”同期完成。
- 代表机构:慕尼黑BZW牙科、柏林Charité医院口腔中心(德国顶尖综合医院)。
- 价格参考:Ankylos种植体(含全瓷牙冠)10000-15000元/颗;数字化种植+即刻负重加价约2000-3000元。
- 适合人群:预算充足、看重长期稳定性、对骨条件有担忧的患者。
瑞士:高端医疗标杆,适合“品质优先”的轻奢族
- 优势:瑞士是“全球医疗质量第一”的国家(世界卫生组织数据),种植体品牌ITI(士卓曼)被誉为“种植牙界的劳斯莱斯”,拥有SLA活性表面处理技术,骨结合时间缩短至6-8周(传统需3-4个月),且成功率高达98.5%。
- 代表机构:苏黎世Clinic La Colline、日内瓦大学医院牙科中心。
- 价格参考:ITI种植体(含全瓷牙冠)15000-20000元/颗;个性化基台加价约1500元。
- 适合人群:预算充足(15万+)、追求顶级品牌、注重术后快速恢复的患者。
匈牙利:欧洲牙科之都,性价比之选
- 优势:匈牙利是欧洲“牙科旅游第一国”,布达佩斯聚集了200+专业牙科机构,医生多毕业于德国、奥地利名校,且人力成本低,价格仅为西欧的1/2。
- 代表机构:布达佩斯Dental Travel、Fidentum牙科(欧盟认证JCI标准)。
- 价格参考:韩国奥齿泰种植体(含全瓷牙冠)6000-8000元/颗;德国Ankylos约9000-12000元/颗。
- 适合人群:预算有限(10万内)、希望一次性完成半口/全口种植、能接受短途飞行(国内直飞布达佩斯约3小时)。
西班牙:阳光之国+低价,适合“度假+看牙”组合
- 优势:西班牙是欧盟内种植牙价格最低的国家之一,且医疗体系完善,医生需通过欧盟统一执业考试,技术有保障,巴塞罗那、马德里等城市旅游资源丰富,适合术后休养。
- 代表机构:巴塞罗那Tecnodental牙科、马德里Quirónsalud医院口腔科。
- 价格参考:国产百康特种植体(含全瓷牙冠)5000-7000元/颗;瑞典Nobel约10000-13000元/颗。
- 适合人群:预算紧张(8万内)、喜欢旅游、希望“看牙+度假”两不误的患者。
法国:浪漫与专业并存,适合“中高端需求”
- 优势:法国种植牙技术融合了德系的精密和法系的审美,尤其擅长前牙美学区种植,采用“全瓷基台+全瓷牙冠”,修复后通透感、色泽接近天然牙。
- 代表机构:巴黎Pontoise牙科中心、里昂Croix-Rousse医院。
- 价格参考:法国安卓健(ADIN)种植体(含全瓷牙冠)8000-11000元/颗;美学修复加价约2000元。
- 适合人群:注重前牙美观、预算10-15万、喜欢法式文化的患者。
去欧洲做种植牙全流程:从咨询到戴牙,一篇说清
欧洲种植牙并非“落地即手术”,需提前规划,完整流程可分为“术前准备—国内出发—欧洲治疗—术后维护”四大阶段:

阶段1:术前准备(国内,提前1-2个月)
-
步骤1:线上初筛机构
通过欧盟官方认证平台(如“European Health Insurance Card”官网)、医疗中介(选择有“欧盟机构合作资质”的正规中介)或患者口碑群,筛选3-5家目标机构,重点关注“欧盟CE认证”“医生种植案例量(5000+为佳)”“中文服务能力”。 -
步骤2:提交资料,远程评估
将国内医院的CBCT片、全景片、口腔检查报告(需含牙槽骨高度、密度、神经位置等数据)发送给机构,由医生制定初步方案(种植体品牌、是否植骨、手术次数等),并视频沟通答疑。 -
步骤3:确定方案,预约时间
确认方案后,支付定金(通常为总费用的10%-20%),预约手术时间(避开当地节假日,医生精力更集中),机构会协助办理医疗签证(需提供医院邀请函、治疗计划、保险单等材料)。
阶段2:国内出发(术前1-3天)
- 携带物品:护照、签证、保险单(需覆盖“医疗费用+紧急转运”)、既往病历、常用药物(如降压药、糖尿病药)、牙科专用牙刷(软毛)、漱口水。
- 交通安排:直飞欧洲目的地城市(如布达佩斯、慕尼黑),避免中转耗时;若机构提供接送服务,提前确认司机联系方式。
阶段3:欧洲治疗(全程3-7天,视方案而定)
-
Day1:抵达+术前检查
到达后,机构客服接机,送至酒店(通常安排合作酒店,步行10分钟可达机构),下午进行术前详细检查:CBCT(部分机构提供3D动态导航)、血常规、凝血功能、血压/血糖测量,最终确认手术方案。 -
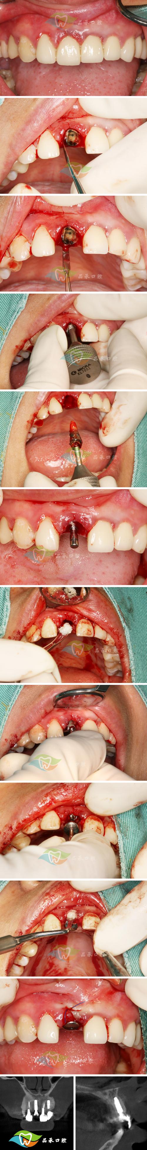
Day2:种植手术(核心环节)
- 麻醉:采用“局部浸润麻醉+笑气镇静”(恐惧症患者可选全麻,需提前1天住院),手术全程无痛。
- 手术过程:数字化导板引导下,植入种植体(时间约20-30分钟/颗),若骨条件好,可同期安装愈合基台;若需植骨(骨粉/骨膜),则需等待4-6个月再二期手术。
- 术后观察:留院1-2小时,无异常即可回酒店休息,医生会开消炎药、止痛药(如布洛芬),并交代24小时内不刷牙、不漱口、不吸烟。
-
Day3-7:复查与临时牙修复
术后第3天复查,检查伤口愈合情况;若选择“即刻种植+即刻负重”,当天或次日即可安装临时牙冠(树脂材质),满足基本咀嚼需求,无需二次手术的患者,可在此期间安排当地旅游(避免剧烈运动)。
阶段4:术后维护(国内,长期)
- 短期(1-3个月):术后1周拆线(可远程由当地医生操作,或回国后找三甲医院口腔科拆线);1个月内避免用种植牙咀嚼硬物(如坚果、螃蟹壳);3个月复查骨结合情况(通过CBCT判断)。
- 长期(1年以上):每年至少1次专业洗牙(种植牙专用洁治器),使用牙线、冲牙器清洁邻面,避免种植体周围炎(导致种植失败的主要原因)。
- 终身保障:保存好所有治疗记录、质保卡,若出现种植体松动、牙冠损坏,可联系机构免费维修/更换(部分品牌需支付往返机票和住宿费)。
避坑指南:5大风险+3个应对,安全看牙不踩雷
去欧洲做种植牙虽优势明显,但语言、法律、医疗环境差异仍可能带来风险,作为牙科专家,提醒重点关注以下“坑点”及应对方法:
风险1:机构资质造假,无欧盟CE认证
- 表现:部分中介宣传“合作机构为‘欧洲顶尖’”,实为小型私立诊所,无欧盟CE认证(种植体/设备必须通过的标准),医生无欧盟执业资格。
- 应对:
- 核查机构资质:登录欧盟官方医疗认证平台(如“EUDAMED”),输入机构名称和注册号,确认是否在列;
- 要求提供“种植体CE证书”“医生执业证”(需翻译成英文或中文,经公证处公证)。
风险2:低价陷阱,后期加价不断
- 表现:以“3000元/颗种植体”吸引患者,到院后强制要求“植骨(8000元/次)、上颌窦提升(1.2万元/侧)、全瓷牙冠(5000元/颗)”,总费用翻倍。
- 应对:
- 签订“一口价合同”:明确包含“检查费、种植体、基台、牙冠、术后用药、复查费”,所有额外项目需书面同意;
- 保留沟通记录:微信、邮件确认方案和价格,避免口头承诺。
风险3:术后维权难,无中文售后
- 表现:回国后出现种植体疼痛、松动,联系机构推诿“需本人到院处理”,或无中文客服,沟通障碍导致问题拖延。
- 应对:
- 选择“国际患者服务完善”的机构:明确要求提供“中文售后专线+远程随访”,约定“术后1年内非人为损坏,承担往返机票(限经济舱)和住宿费”;
- 购买“医疗责任险”:选择涵盖“种植牙并发症治疗”的保险,保额不低于10万欧元。
风险4:方案不符实际,过度医疗
- 表现:明明骨条件良好,却建议“植骨+全口种植”,实则为推销高价项目。
- 应对:
- 带国内报告对比:术前让国内三甲医院医生评估方案,避免“被消费”;
- 要求“手术录像”:全程拍摄手术过程,保留证据(欧盟部分机构可主动提供)。
风险5:签证被拒,行程泡汤
- 表现:医疗签证材料不全(如缺少医院邀请函、保险单),导致拒签,定金无法退还。
- 应对:
- 提前3个月办理签证:预留材料补充时间;
- 选择“签证协助服务”:正规中介可提供“拒签全退”的签证保障(需写进合同)。
欧洲种植牙,理性选择更关键
去欧洲做种植牙,本质是“用可控的成本,获取更优质、更透明的医疗服务”,但对普通患者而言,需平衡“预算、时间、需求”三大因素:若预算有限且追求性价比,匈牙利、西班牙是首选;若看重长期稳定性和技术,德国、瑞士更可靠;若想兼顾旅游,法国、西班牙的“度假+看牙”模式值得尝试。
最后提醒:种植牙是“终身投资”,切勿因低价忽视机构资质和医生经验,建议选择“有国内实体合作机构”的欧洲牙科,术后可由国内医生协助维护,降低风险,做好功课、理性规划,你也能在欧洲安全种出一口好牙,重拾自信笑容!
延伸阅读:《欧洲种植牙品牌排行榜2025:从入门到高端,哪款最适合你?》《医疗签证全攻略:去欧洲看牙,这些材料千万别忘!》
(关注【牙科专家说】,获取更多海外看牙干货)
