种牙后其他牙齿出现不适感,确实令人担忧,但这种情况并不少见,原因多种多样,别慌张,我们来分析一下可能的原因以及你应该怎么做:
🦷 一、常见且可能的原因(通常无需过度担心,但需观察)
-
手术创伤与炎症反应:
(图片来源网络,侵删)- 原因: 种植手术本身是一种外科手术,会对周围的组织(牙龈、骨、甚至邻近牙齿的牙周膜)造成一定的创伤和炎症反应,这种炎症反应有时会波及到邻近牙齿,引起轻微的酸痛、敏感或感觉异常。
- 特点: 通常在术后几天内出现,程度较轻,随时间推移(几天到一两周)会逐渐缓解,可能伴有手术区域的轻微肿胀或疼痛。
- 应对: 术后遵医嘱服用消炎止痛药(如布洛芬),注意口腔卫生(避开手术区轻柔刷牙),使用漱口水(医生建议的),避免手术区咀嚼,冷敷面部也有助于减轻肿胀和不适。
-
咬合创伤(咬合干扰):
- 原因: 这是非常常见且需要重视的原因,种植牙的牙冠在制作或安装时,如果高度、形态或位置没有精确调整好,可能导致:
- 早接触: 种植牙比其他牙齿先接触到,导致其他牙齿在咬合时受力不足或受力异常。
- 干扰: 种植牙在咀嚼或滑动运动时(如前伸、侧方)与其他牙齿发生不正常的接触,干扰了正常的咬合轨迹。
- 特点: 不适感可能表现为咬合痛(咬东西时疼痛)、咀嚼无力、牙齿酸痛(尤其是对冷热敏感)、甚至头痛或颞下颌关节不适,这种不适通常在尝试咀嚼或牙齿接触时明显。
- 应对: 这是需要尽快复诊调整的关键原因! 告诉医生你的具体感受(哪个牙、什么动作痛、怎么个痛法),医生会检查咬合关系,可能需要调磨种植牙的牙冠或邻牙的牙尖,以建立平衡、稳定的咬合。
- 原因: 这是非常常见且需要重视的原因,种植牙的牙冠在制作或安装时,如果高度、形态或位置没有精确调整好,可能导致:
-
邻牙潜在问题被诱发或加重:
- 原因: 手术过程中,张口时间过长、器械操作、甚至术后的炎症反应,可能刺激到邻近牙齿本身存在的、但尚未表现出症状的潜在问题,如:
- 邻牙的早期龋齿(蛀牙)
- 邻牙的牙周炎(牙龈萎缩、牙槽骨吸收)
- 邻牙的隐裂(牙冠上不易察觉的裂缝)
- 邻牙的牙髓炎(牙神经发炎)
- 特点: 不适感可能表现为邻牙的自发性疼痛、冷热刺激痛、甜食痛、咬合痛、牙龈出血等,这种不适可能持续存在或逐渐加重。
- 应对: 必须复诊! 医生需要详细检查邻牙,可能需要拍摄X光片(牙片)来评估邻牙的牙体、牙周和牙髓状况,根据诊断,可能需要进行相应的治疗,如补牙、根管治疗、牙周治疗等。
- 原因: 手术过程中,张口时间过长、器械操作、甚至术后的炎症反应,可能刺激到邻近牙齿本身存在的、但尚未表现出症状的潜在问题,如:
-
颞下颌关节紊乱:
- 原因: 种植手术需要长时间张口,可能导致颞下颌关节(连接下颌骨和颅骨的关节)及其周围肌肉的疲劳、拉伤或功能紊乱,这种紊乱有时会放射到牙齿区域,引起牙齿感觉异常或酸痛。
- 特点: 可能伴随关节区疼痛(耳前区)、张口受限或弹响、咀嚼肌酸痛、头痛(尤其是太阳穴或后枕部)。
- 应对: 告知医生相关症状,医生会评估关节情况,通常休息、温敷、避免大张口、服用消炎止痛药可缓解,严重时可能需要转诊给口腔颌面外科或正畸科医生进行关节治疗。
-
心理因素与神经敏感:
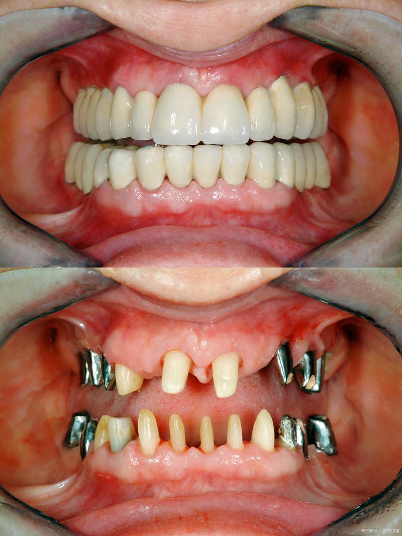
(图片来源网络,侵删)- 原因: 对手术的紧张焦虑、对结果的担忧,有时会放大身体的感觉,导致对牙齿的异常敏感或不适感,手术本身也可能暂时性地影响局部神经,引起轻微的麻木或异常感觉(如蚁行感),通常会在数周至数月内恢复。
- 特点: 感觉模糊,难以定位,或者感觉与实际刺激不符。
- 应对: 放松心情,理解恢复期需要时间,如果异常感觉持续或加重,仍需复诊排除其他问题。
🚨 二、需要警惕并立即复诊的情况
如果出现以下症状,不要犹豫,立即联系你的种植医生或前往口腔急诊:
- 剧烈疼痛: 持续性、难以忍受的疼痛,特别是邻牙的剧痛。
- 咬合痛加剧: 咬东西时疼痛非常明显,甚至不敢咬合。
- 牙齿明显松动: 感觉邻近牙齿比以前松动了。
- 牙龈肿胀、流脓: 邻牙或种植体周围牙龈红肿、疼痛,有脓液溢出(提示感染)。
- 张口困难: 因疼痛或关节问题导致无法正常张口。
- 面部肿胀扩散: 手术区域肿胀明显加重,并向周围扩散。
- 发烧: 出现发热,提示可能有全身性感染。
📍 三、你应该怎么做?
- 不要自行诊断或处理: 不要自己猜测原因,更不要自行调磨牙齿或服用未经医生建议的药物。
- 详细记录症状: 记录下不适的具体位置(哪颗牙?)、性质(酸痛、刺痛、胀痛?)、诱因(咬东西?冷热刺激?)、持续时间、变化趋势(加重还是减轻?),这些信息对医生诊断非常重要。
- 尽快预约复诊: 这是最重要的一步! 即使感觉轻微不适,也建议在复诊时告知医生,如果是咬合问题或邻牙问题,越早调整和治疗,效果越好,避免问题加重。
- 复诊时清晰沟通: 向医生详细描述你的不适感受,回答医生的问题,医生会进行全面的口腔检查,包括:
- 视诊(观察牙龈、牙齿状态)
- 叩诊(敲击牙齿看是否疼痛)
- 探诊(检查牙周袋深度、出血情况)
- 咬合纸检查(看咬合接触点)
- 可能需要拍摄X光片(牙片或全景片)评估邻牙和骨组织情况。
- 遵从医嘱: 根据医生的诊断和建议进行治疗或调整,可能是调整咬合、治疗邻牙、继续观察或服用药物。
种牙后其他牙齿不适,最常见的原因是手术创伤炎症反应和咬合创伤,前者通常会自行缓解,后者则需要医生及时调整。邻牙潜在问题的诱发或加重也是一个重要可能性,需要专业检查确认。
关键点:不要忽视不适感,及时、详细地向你的种植医生反馈,并尽快复诊进行专业评估和处理。 大多数情况下,通过医生的检查和适当的处理,不适感都能得到有效解决,良好的沟通和及时的复诊是确保种植牙长期成功和口腔健康的关键!💪🏻

