医院名称变更
- 原南京军区总医院现已正式更名为东部战区总医院,在查找信息或前往就诊时,请使用新名称“东部战区总医院”或其官方名称“东部战区总医院南京院区”。
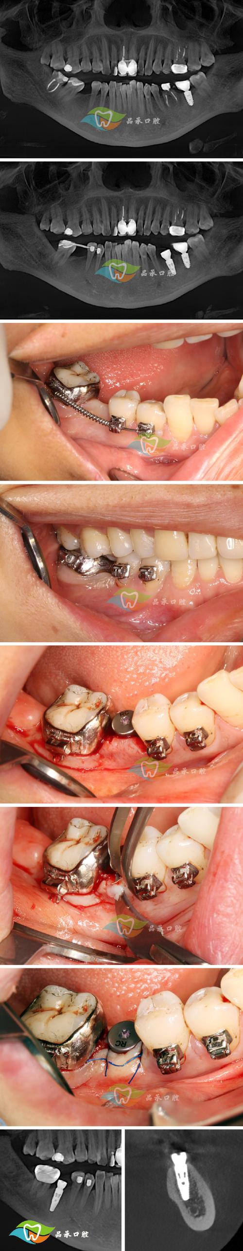
东部战区总医院口腔种植概况
作为军队系统内顶尖的三甲医院,东部战区总医院(南京院区)的口腔科(或口腔种植中心/口腔颌面外科)拥有较强的技术实力和医疗资源,在种植牙领域具备以下特点和优势:
技术实力与设备
- 先进设备: 通常配备有高端的口腔CBCT(锥形束CT)、数字化口内扫描仪、种植机、超声骨刀等先进设备,为精准诊断、手术规划和种植体植入提供硬件保障。
- 技术全面: 能够开展各种类型的种植手术,包括:
- 单颗牙种植、多颗牙种植、全口/半口种植(All-on-4/6等)。
- 即刻种植、即刻负重。
- 骨量不足时的植骨手术(GBR、上颌窦提升等)。
- 穿颧穿翼种植(针对严重骨缺损的无牙颌患者)。
- 数字化导板种植: 利用3D打印技术制作手术导板,提高种植体植入的精准度和安全性,尤其适用于复杂病例。
- 复杂病例处理能力强: 对于有系统性疾病(如糖尿病、心脏病等,需评估控制情况)、长期缺牙导致严重骨吸收、颌骨条件差等复杂情况,医院有较强的综合处理能力和经验。
医生团队
- 专业背景: 口腔科/种植中心的医生通常具有扎实的理论基础和丰富的临床经验,不少医生拥有硕士、博士学位,并有国内外知名机构进修经历。
- 团队协作: 种植手术往往涉及口腔外科、修复科、牙周科等多个亚专业,医院内部有良好的多学科协作机制,为患者提供综合治疗方案。
- 资质可靠: 作为三甲医院,医生资质严格,操作规范,医疗质量和安全有保障。
医疗环境与服务
- 规范管理: 严格按照国家及军队医疗规范进行操作,消毒灭菌流程严格,感染控制到位。
- 服务流程: 门诊流程相对规范,但大型三甲医院普遍存在挂号难、候诊时间长的问题,尤其是知名专家号源紧张。
- 军人优先: 作为军队医院,在资源紧张时(如专家号、手术安排),可能会优先保障军人及家属需求,普通患者可能需要更长的等待时间或选择其他医生。
种植体品牌选择
- 通常提供国际主流品牌的种植体,如:
- 瑞士: Straumann(士卓曼)、ITI(同士卓曼)
- 瑞典: Nobel Biocare(诺贝尔)、Astra Tech(阿斯特拉)
- 德国: Ankylos(安格斯)、Camlog(卡姆洛)
- **美国: Zimmer(捷迈)、BioHorizons(碧兰)
- 韩国: Osstem(奥齿泰)、Dentium(登腾)等(性价比相对较高)
- 医生会根据患者的口腔条件、骨质骨量、经济预算等因素推荐合适的品牌。
价格因素
- 三甲医院定位: 作为顶级三甲医院,其种植牙费用通常高于普通民营口腔诊所,但技术、设备、医生经验、安全保障等方面有优势。
- 价格构成: 总费用主要包括:
- 种植体本身费用(品牌不同差异大)。
- 基台费用。
- 牙冠费用(全瓷冠、烤瓷冠等,材质不同价格差异大)。
- 检查设计费(CBCT、取模、方案设计等)。
- 手术费。
- 植骨/上颌窦提升等附加手术费(如需要)。
- 术后复查维护费。
- 影响因素: 具体价格受种植体品牌、牙冠材质、是否需要植骨、手术复杂程度、医生级别等多种因素影响。
- 参考范围(需以医院实际报价为准): 在南京地区,单颗牙种植(含种植体、基台、牙冠)的总费用大致在 8,000元 - 25,000元人民币 或更高,复杂病例(如全口种植、植骨)费用会显著增加,韩国品牌可能在8k-15k区间,欧美品牌可能在15k-25k+区间。
在东部战区总医院种牙的建议流程
-
预约挂号:
(图片来源网络,侵删)- 通过医院官方公众号、官网、电话或第三方平台(如微医、支付宝等)预约口腔科或口腔种植中心的号源,知名专家号非常抢手,建议提前规划。
- 初诊时可以选择普通医生进行初步检查和评估,如果情况复杂再转诊或预约专家。
-
全面检查与评估:
- 医生会进行口腔检查,拍摄曲面断层片和CBCT(三维影像),评估你的牙槽骨高度、宽度、密度,以及邻牙、重要解剖结构(如下牙槽神经管、上颌窦)的位置关系。
- 询问全身健康状况、用药史、吸烟史等。
- 根据检查结果,医生会判断你是否适合种植,以及需要采用何种种植方案(是否需要植骨、即刻种植等)。
-
方案设计与沟通:
- 医生会根据你的具体情况(缺牙位置、数量、骨条件、咬合关系、美观要求、经济预算)制定详细的种植方案。
- 务必与医生充分沟通,了解方案细节、预期效果、手术流程、风险、不同种植体/牙冠品牌的优缺点及费用差异,并签署知情同意书。
-
术前准备:
- 如有牙周炎、口腔炎症等需先进行治疗控制。
- 可能需要进行术前洗牙。
- 按医嘱停用某些影响凝血的药物(如阿司匹林)。
- 安排好手术时间,确保术后有足够的休息时间。
-
种植手术:
(图片来源网络,侵删)- 通常在局部麻醉下进行,过程基本无痛。
- 手术时间根据种植数量和复杂程度而定,单颗可能30-60分钟,全口种植可能数小时。
- 医生会在缺牙区的牙槽骨内制备窝洞,将种植体(人工牙根)植入,缝合伤口。
- 对于即刻种植或即刻负重方案,可能在植入种植体的同时或短期内安装临时牙冠。
-
骨结合期(愈合期):
- 这是种植体与牙槽骨紧密结合的关键时期,通常需要 3-6个月(具体时间取决于骨质和方案)。
- 此期间需特别注意口腔卫生,避免种植区域受力(如用另一侧咀嚼),遵医嘱复查。
-
牙冠修复:
- 骨结合完成后,医生会安装愈合基台,取模制作最终的牙冠。
- 试戴牙冠,调整咬合和颜色,确认合适后粘固在种植体基台上。
-
术后复查与维护:
- 定期复查(术后1周、1个月、3个月、半年、1年等),检查种植体周围状况、咬合、口腔卫生。
- 种植牙的长期维护至关重要! 需要像对待真牙一样,每天认真刷牙(包括使用牙线、牙缝刷、冲牙器等),定期(建议6个月到1年)进行专业的牙周洁治和维护,避免种植体周围炎的发生。
重要注意事项
- 名称更新: 务必使用“东部战区总医院”进行查询和就诊。
- 预约挂号: 大型三甲医院号源紧张,务必提前预约,特别是知名专家。
- 费用透明: 种植牙费用较高且构成复杂,在治疗前务必向医院详细询问并确认所有费用明细,了解包含哪些项目,哪些是额外收费,要求提供书面报价单。
- 方案选择: 不要仅以价格作为唯一标准。医生的经验、技术、医院设备、种植体品牌和长期效果同样重要,多咨询几位医生(如果可能),了解不同方案的利弊。
- 沟通充分: 与医生充分沟通你的期望、担忧和预算,确保双方对方案达成一致。
- 术后维护: 种植牙成功的关键不仅在于手术,更在于长期的维护,务必重视口腔卫生和定期复查。
- 医保政策: 目前在中国大陆,种植体、基台、牙冠等费用通常属于自费项目,不纳入医保报销范围,只有与种植相关的部分检查费、治疗费(如拔牙、植骨、牙周治疗等)可能部分医保报销(具体比例和范围需咨询当地医保政策和医院)。务必提前向医院医保办或医生确认报销政策。
- 对比咨询: 建议在东部战区总医院咨询的同时,也可以咨询1-2家当地口碑好的大型口腔专科医院或高端连锁口腔机构进行对比,综合评估技术、价格、服务、便利性等因素,做出最适合自己的选择。
东部战区总医院(原南京军区总医院)作为军队顶尖三甲医院,在口腔种植领域具备技术先进、设备精良、医生经验丰富、处理复杂病例能力强的优势,是进行高难度种植手术的一个可靠选择,但其费用相对较高,且存在挂号难、等待时间长的特点,在决定前往前,请务必做好预约,详细咨询方案和费用,并重视长期的术后维护,建议结合自身情况(口腔条件、预算、时间、对便利性的要求等)进行综合考量。

