我理解你想了解美国种植牙过程的图片,但由于平台限制和版权问题,我无法直接提供图片,我可以详细描述美国种植牙的典型过程,并告诉你如何找到可靠的图片资源。
🦷 美国种植牙的典型过程(分阶段描述)
种植牙是一个多步骤、需要时间的精密过程,旨在用人工牙根(种植体)替代缺失的牙齿,再在其上安装牙冠(假牙),以下是主要阶段:

(图片来源网络,侵删)
📌 阶段一:术前评估与规划(至关重要)
- 目的: 确定你是否适合种植牙,制定个性化方案。
- 关键步骤:
- 详细口腔检查: 牙医会检查你的口腔状况、牙齿、牙龈、咬合关系。
- 影像学检查: 这是核心步骤,通常需要拍摄:
- 口腔X光片: 初步了解牙槽骨情况。
- 锥形束CT扫描: 这是最关键的影像检查! 它能提供三维立体图像,精确测量牙槽骨的高度、宽度、密度,以及重要的神经管位置、上颌窦位置等,确保种植体安全植入最佳位置。
- 口腔模型/数字化扫描: 取你口腔的模型或使用口内扫描仪获取数字模型,用于后续设计和制作修复体(牙冠/桥)。
- 全身健康状况评估: 询问病史、用药史(如影响骨愈合的药物)、吸烟习惯等。
- 治疗方案制定与讨论: 医生会根据所有信息,解释不同种植系统选择、手术方案、预期效果、时间线、费用等,并解答你的疑问。
- 图片可能显示: 口腔检查场景、CBCT扫描仪及三维重建图像、口腔模型或数字扫描模型、医生与患者讨论方案的场景。
🦷 阶段二:种植体植入手术(第一次手术)
- 目的: 将人工牙根(种植体)植入到牙槽骨中。
- 关键步骤:
- 局部麻醉: 手术区域完全麻醉,确保无痛。
- 切开牙龈: 在缺牙区域的牙龈上做一个小切口,暴露下方的牙槽骨。
- 制备种植窝洞: 使用专业的种植钻头(不同直径和形状),在牙槽骨中精确制备一个与种植体形状和尺寸相匹配的窝洞,这个过程需要非常小心,避开神经和上颌窦。
- 植入种植体: 将纯钛(或钛合金)制成的种植体旋入或压入制备好的窝洞中,有时会安装覆盖螺丝(愈合基台)或用牙龈缝合封闭。
- 缝合牙龈: 将牙龈切口缝合起来,保护手术区域。
- 术后: 通常需要几天到一周的轻微肿胀和不适,按医嘱服用药物和护理。骨结合期开始(种植体与牙槽骨长在一起)。
- 图片可能显示: 手术室环境、消毒过程、局部麻醉注射、切开牙龈、使用种植钻制备窝洞、植入种植体、缝合牙龈的特写(通常为示意图或教学图,因涉及隐私和血液,实际手术图较少公开)。
⏳ 阶段三:骨结合期(愈合期)
- 目的: 让种植体与牙槽骨牢固地融合在一起,成为稳定的“人工牙根”。
- 关键步骤:
- 时间: 这是最长的阶段,通常需要 3-6个月,甚至更长时间(取决于个人骨质量、是否需要植骨、植入位置等)。
- 过程: 在此期间,种植体表面与牙槽骨细胞发生生物性结合,形成非常稳固的连接,牙龈组织也在愈合。
- 复诊: 医生可能会安排1-2次复诊,检查愈合情况。
- 图片可能显示: 骨结合过程的示意图(显示骨细胞长入种植体表面)、愈合中的牙龈(可能覆盖着种植体或暴露着覆盖螺丝)。
🔧 阶段四:二期手术(暴露种植体)与基台连接(如果需要)
- 目的: 如果一期手术时牙龈完全覆盖了种植体(未安装愈合基台),则需要切开牙龈暴露种植体顶部;然后连接一个叫做“基台”的中间连接件。
- 关键步骤:
- 暴露(如需): 在牙龈做一个小切口,移除覆盖在种植体顶部的骨组织或牙龈组织,暴露种植体顶部的连接部分。
- 连接基台: 将基台旋入或压入种植体顶部的接口上,基台是连接种植体和最终牙冠的桥梁。
- 牙龈成形(有时): 有时医生会做一个小的牙龈成形术,让牙龈围绕基台形成更美观的袖口。
- 图片可能显示: 切开暴露种植体、连接基台的过程示意图或教学图。
🪥 阶段五:最终修复体(牙冠/桥)制作与安装
- 目的: 在基台上安装最终的人工牙齿(牙冠或桥)。
- 关键步骤:
- 取模/数字化扫描: 再次获取包含基台和周围牙齿、牙龈的精确模型或数字扫描数据。
- 制作修复体: 将数据发送给牙科技工室,制作与你的牙齿颜色、形状、咬合高度完美匹配的牙冠或桥,材料通常是全瓷、烤瓷或全锆。
- 试戴与调整: 安装前,医生会先试戴修复体,检查密合度、颜色、咬合关系、美观效果,并进行必要的精细调整。
- 永久粘接/螺丝固位: 将制作好的牙冠或桥用特殊的粘接剂粘固在基台上,或者用螺丝固定在基台上(螺丝孔通常用树脂材料封闭)。
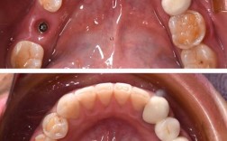
- 图片可能显示: 基台特写、不同材质的牙冠/桥模型、试戴牙冠、最终安装完成的种植牙(单颗、多颗或全口)效果对比图(术前 vs 术后)。
🦷 阶段六:后续维护
- 目的: 确保种植牙长期健康使用。
- 关键步骤:
- 定期复诊: 按照医生建议(通常每3-6个月或每年一次)进行专业洁牙和检查。
- 日常护理: 像对待真牙一样认真刷牙、使用牙线(包括种植牙专用牙线或冲牙器)、漱口水,良好的口腔卫生是种植体周围组织健康的关键。
- 图片可能显示: 专业洁牙、使用种植牙专用工具(如专用牙线、小头牙刷)的示意图或教学图。
📸 如何查找美国种植牙过程的图片?
-
专业牙科机构/协会网站:
- 美国口腔种植学会: 搜索 "AAID dental implant procedure" 或 "AAID patient education",这是最权威、最可靠的来源之一,通常有高质量的患者教育图解。
- 美国牙周病学学会: 搜索 "AAP dental implants",牙周医生是种植牙的重要专科医生。
- 美国牙科协会: 搜索 "ADA dental implants",提供基础信息。
- 大型牙科连锁机构官网: 如 Aspen Dental, Gentle Dental 等的"患者教育"或"服务介绍"板块,常有流程图。
-
知名种植系统制造商官网:
- Straumann(士卓曼): 搜索 "Straumann dental implant procedure" 或 "Straumann patient education",作为顶级品牌,他们的患者教育材料非常完善。
- Nobel Biocare(诺保科): 搜索 "Nobel Biocare dental implant process" 或 "Nobel Biocare patient guide"。
- Zimmer Biomet: 搜索 "Zimmer Biomet dental implants patient information"。
- Dentsply Sirona: 搜索 "Dentsply Sirona dental implants patient resources"。
- 这些制造商的网站通常有详细的分步图解和动画。
-
可靠的搜索引擎(需谨慎筛选):
- 使用关键词组合搜索:
"dental implant procedure stages" image(注意版权,仅用于了解)"dental implant surgery" step by step diagram"dental implant before and after" photos(看最终效果)"bone graft for dental implant" illustration(如涉及植骨)
- 务必注意:
- 优先选择
.edu(大学牙学院),.org(专业学会),.gov(政府卫生机构) 域名的网站。 - 选择知名牙科诊所或医院的网站。
- 警惕过度营销、效果夸张的图片,真实的医疗图片通常不会过于美化。
- 了解图片可能来自教学模型、示意图或特定案例,不代表你的个人情况。
- 优先选择
- 使用关键词组合搜索:
-
牙科教科书或专业期刊(通常需要订阅):
(图片来源网络,侵删)如《口腔种植学杂志》、《临床口腔种植研究》等,里面有高质量的手术图示和病例报告,但普通用户不易获取。
📌 重要提示
- 个体差异: 每个人的情况不同(骨量、健康状况、缺失位置、是否需要植骨/上颌窦提升等),具体步骤和时间会有很大差异,上述描述的是最常见、最理想化的流程。
- 技术发展: 种植技术不断发展,即刻种植、即刻负重、数字化导板等技术越来越普及,流程可能缩短或简化。
- 咨询专业牙医: 最准确的信息和最适合你的方案,必须来自你面诊的美国牙医或种植专科医生。 他们会根据你的具体情况(通过CBCT等检查)制定详细的计划。
- 图片仅供参考: 即使找到图片,也仅能作为概念理解,不能替代专业医生的诊断和治疗计划。
希望这个详细的描述和查找建议能帮助你更好地理解美国种植牙的过程!如果你有具体问题,建议直接咨询当地的专业牙医。💪🏻

(图片来源网络,侵删)
