看到您关心老年缺牙的修复问题,这确实是个重要话题,缺牙不仅影响咀嚼功能,还可能引发面部塌陷、发音困难、邻牙倾斜等问题,对老年人的生活质量影响很大,我来详细分析一下镶牙(活动假牙、固定桥)和种牙(种植牙)这两种主流修复方式,帮助您和家人做出更明智的选择。
🦷 一、 镶牙 (义齿修复)
镶牙是传统修复方式,主要包括活动假牙和固定桥两种。

🦷 1. 活动假牙 (可摘局部义齿 / 全口义齿)
- 原理: 利用剩余的天然牙、牙槽嵴(牙床)和口腔黏膜作为支撑,通过卡环(金属钩)或附着体(如精密附着体、磁性附着体)固位,患者可以自行摘戴。
- 优点:
- 适用范围广: 缺失一颗牙到多颗牙,甚至全口牙缺失都可以修复。
- 磨牙少: 不需要磨损健康的邻牙(除了设计卡环需要少量调磨)。
- 价格相对较低: 种植牙和固定桥相比,费用通常更低。
- 修复范围大: 可以同时修复缺失的牙齿和牙槽骨组织的部分缺失(通过基托)。
- 易于清洁: 患者可以自行摘下彻底清洁。
- 缺点:
- 异物感强: 初期佩戴可能感觉不适应,有异物感、恶心感。
- 咀嚼效率较低: 咀嚼力不如天然牙、固定桥和种植牙,尤其是下颌活动假牙。
- 可能影响发音: 初期可能影响说话清晰度。
- 可能损伤基牙和牙龈: 卡环可能磨损或压迫基牙,基托压迫牙龈可能导致压痛或炎症。
- 稳定性相对较差: 尤其是下颌全口义齿,容易松动、翘动,影响功能。
- 美观性相对较差: 金属卡环可能暴露,影响美观。
- 长期佩戴可能导致牙槽骨吸收加速: 缺乏功能性刺激。
- 适合人群:
- 缺失牙数量多,尤其是后牙区缺失多,邻牙条件不佳(松动、蛀牙、过小等)无法作为基牙时。
- 牙槽骨条件差,无法种植或做固定桥时。
- 全口或半口牙缺失。
- 经济条件有限。
- 身体状况不适合进行种植手术者。
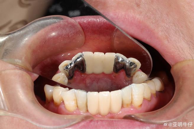
🦷 2. 固定桥 (牙桥)
- 原理: 缺失牙两侧的天然牙(基牙)需要被磨小,作为桥墩,制作一个包含缺失牙(桥体)和两侧基牙冠(桥墩)的整体结构,粘接在基牙上,患者不能自行摘戴。
- 优点:
- 咀嚼效率高: 接近天然牙,舒适度好。
- 美观性好: 无金属卡环暴露,形态和颜色逼真。
- 稳定性好: 固定在口腔内,不会活动。
- 异物感小: 感觉接近自然牙。
- 缺点:
- 需要磨损健康邻牙: 这是最大的缺点!需要磨除大量健康的牙体组织(牙釉质和牙本质),可能损伤牙髓(牙神经),导致牙髓炎或牙齿需要根管治疗(抽神经)。
- 基牙负担重: 基牙需要承担额外的咀嚼力,长期可能增加基牙负担,导致基牙松动或损坏。
- 适用范围受限: 只能修复少量连续缺失的牙齿(通常1-3颗),且缺失区两侧必须有健康、坚固的基牙。
- 清洁困难: 桥体下方(与牙床接触面)是清洁死角,容易堆积食物残渣和菌斑,导致基牙龋坏(蛀牙)或牙周炎。
- 费用较高: 通常比活动假牙贵。
- 如果基牙损坏,整个桥体都需要重做。
- 适合人群:
- 缺失少量连续的牙齿(尤其是前牙区或后牙区1-3颗)。
- 缺失牙两侧有健康、坚固、位置合适的天然牙作为基牙。
- 患者不愿意或不能接受种植手术。
- 追求较好的美观和咀嚼功能,且能接受磨损健康邻牙。
🦷 二、 种牙 (种植义齿)
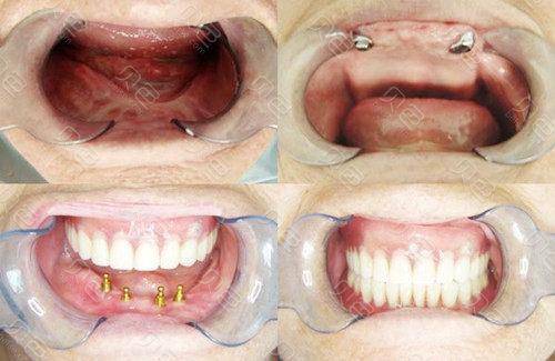
- 原理: 将纯钛或钛合金制成的种植体(类似人工牙根)通过外科手术植入缺牙区的牙槽骨内,待种植体与牙槽骨紧密结合(骨结合)后,在种植体上方安装基台和牙冠,最终修复缺失的牙齿,可以是单颗牙种植、多颗牙种植,也可以通过种植体支持的活动假牙或固定桥(如All-on-4/6技术)修复半口或全口牙缺失。
- 优点:
- 功能最强: 咀嚼效率最高,接近天然牙,能恢复大部分咬合力。
- 美观性最好: 牙冠形态、颜色逼真,无金属暴露(全瓷冠),邻牙无卡环。
- 不损伤邻牙: 不需要磨损健康的邻牙。
- 防止牙槽骨吸收: 种植体植入后能模拟天然牙根的生理刺激,有效防止缺牙区牙槽骨的萎缩和吸收,维持面部轮廓。
- 稳定性好: 固定在骨内,感觉稳固舒适。
- 清洁相对方便: 单颗牙种植清洁方式类似天然牙;种植支持的固定桥清洁需用牙线、牙缝刷、冲牙器等辅助工具。
- 使用寿命长: 维护得当,种植体可以长期使用(10年、20年甚至更久)。
- 缺点:
- 费用最高: 这是目前最昂贵的修复方式。
- 需要手术: 是一个外科手术过程,虽然技术成熟,但仍存在一定风险(感染、神经损伤、种植体失败等)。
- 愈合时间长: 从植入种植体到最终戴牙,通常需要3-6个月(上颌可能需要更长时间,涉及上颌窦提升等)。
- 对全身健康和口腔条件要求高: 需要良好的牙槽骨骨量和质量(骨量不足可能需要植骨手术),无严重未控制的全身性疾病(如严重心脏病、未控制的糖尿病、骨质疏松、凝血功能障碍等),口腔卫生状况良好。
- 可能需要多次就诊: 治疗周期较长。
- 存在失败风险: 虽然现代种植技术成功率很高(95%以上),但仍有失败的可能(种植体周围炎、种植体松动脱落等)。
- 适合人群:
- 身体健康状况良好,能耐受小手术。
- 缺牙区有足够的牙槽骨骨量和质量(或愿意接受植骨手术)。
- 口腔卫生习惯良好,能坚持维护。
- 追求最佳的修复效果(功能、美观、舒适、保护牙槽骨)。
- 经济条件允许。
- 缺失单颗牙、多颗牙或半口/全口牙缺失。
📌 三、 如何为老年人选择?关键考虑因素
-
缺牙数量和位置:
- 缺1-3颗连续牙: 种植牙(首选)、固定桥(如果基牙条件好且患者不接受种牙)、活动假牙(如果基牙条件差或经济限制)。
- 缺多颗牙(非连续): 种植牙(种植多个单颗或做桥)、活动假牙(可摘局部义齿)。
- 缺后牙区多颗牙(尤其下颌): 种植牙(优先考虑)、精密附着体义齿(兼顾稳定性和美观)、传统活动假牙(基础选择)。
- 半口或全口牙缺失: 种植支持的固定桥(All-on-4/6等,效果最佳)、种植支持的活动假牙(覆盖义齿,如杆卡、球帽、Locator等,性价比高)、传统全口义齿(经济基础选择)。
-
剩余牙齿和牙槽骨状况:
- 邻牙健康且稳固: 为固定桥或种植牙(单颗)提供了良好基础。
- 邻牙有问题(松动、蛀牙、过小、位置不佳): 不适合做固定桥的基牙,活动假牙或种植牙是更好选择,种植牙不依赖邻牙。
- 牙槽骨骨量充足: 种植牙的理想条件。
- 牙槽骨骨量不足: 需要植骨手术增加骨量,或者选择活动假牙、固定桥(如果条件允许),植骨会增加费用、时间和风险。
-
全身健康状况:
- 健康状况良好: 种植牙是首选。
- 有慢性病(如高血压、糖尿病、心脏病等): 需要病情控制稳定,种植牙通常需要内科医生评估风险,活动假牙和固定桥对全身健康要求相对较低。
- 长期服用抗凝药物: 需要医生评估手术出血风险。
- 骨质疏松: 通常不影响种植,但严重骨质疏松或服用双膦酸盐类药物(如治疗骨质疏松)需特别评估,可能增加颌骨坏死风险(罕见但严重)。
-
口腔卫生习惯和维护能力:
(图片来源网络,侵删)- 口腔卫生好,维护能力强: 种植牙、固定桥、活动假牙都可以,但种植牙和固定桥需要更精细的日常维护(使用牙线、牙缝刷、冲牙器等)。
- 口腔卫生一般或维护能力弱(如手部灵活性差、认知障碍): 活动假牙相对容易清洁,但基牙和牙龈仍需清洁;种植牙和固定桥的清洁死角多,维护不当易出问题,需要家人协助清洁。
-
经济能力:
- 预算充足: 种植牙是追求最佳效果的选择。
- 预算有限: 活动假牙是经济实惠的选择;固定桥居中;种植牙可能需要分期或选择更经济的种植体品牌。
-
个人期望和耐受度:
- 追求最佳功能、美观和舒适度,不介意手术和费用: 选择种植牙。
- 希望快速修复,对异物感敏感,或对手术有顾虑: 活动假牙或固定桥(如果条件允许)可能更容易接受。
- 对美观要求高: 种植牙(全瓷冠)、固定桥(全瓷冠)优于活动假牙。
-
年龄本身不是绝对禁忌: 只要老年人身体状况允许,口腔条件合适,种植牙是非常好的选择,老年人新陈代谢慢,愈合可能稍慢,但成功率依然很高。
📌 四、 总结与建议
- 活动假牙: 适用范围最广,尤其适合缺牙多、牙槽骨条件差、经济有限或全身健康状况不适合手术的情况,优点是价格低、磨牙少、能修复大面积缺失;缺点是异物感强、咀嚼效率低、可能影响发音、稳定性相对较差、长期佩戴可能加速牙槽骨吸收。
- 固定桥: 适合少量连续缺牙、邻牙健康稳固的情况,优点是美观、舒适、咀嚼效率高、稳定性好;缺点是需要磨损健康邻牙、基牙负担重、清洁困难、适用范围受限。
- 种植牙: 被认为是目前修复单颗、多颗及半口/全口牙缺失的最佳方式,优点是功能最强、美观性最好、不损伤邻牙、有效防止牙槽骨吸收、稳定性好、使用寿命长;缺点是费用最高、需要手术、愈合时间长、对全身和口腔条件要求高。
📍 给老年人的最终建议
- 务必进行全面口腔检查和评估: 这是做出正确选择的基础!找经验丰富的口腔医生或种植专科医生进行详细检查,包括:
- 口腔内视诊、探诊。
- 拍摄X光片(全景片、根尖片)。
- 关键:拍摄CBCT(锥形束CT): 精确评估牙槽骨的骨量、骨密度、重要解剖结构(如下牙槽神经管、上颌窦)的位置,这是决定能否种植以及如何种植的关键。
- 全身健康评估(必要时请相关科室医生会诊)。
- 与医生充分沟通: 告知您的期望、顾虑、健康状况、经济预算等,医生会根据您的具体情况,提供个性化的修复方案建议,并详细说明每种方案的优缺点、费用、治疗过程、预期效果和维护要求。
- 不要只看价格: 种植牙和修复体质量差异很大,选择正规医疗机构和有资质、经验丰富的医生至关重要,这直接影响手术成功率和长期使用效果,过低的价格可能意味着使用劣质材料或医生经验不足。
- 重视维护: 无论选择哪种修复方式,良好的口腔卫生习惯和定期的专业维护(洁牙、检查)都是保证修复体长期使用和口腔健康的关键,种植牙尤其需要精心维护,预防种植体周围炎。
- 考虑长期价值: 虽然种植牙初期投入大,但考虑到其优异的功能、舒适度、对邻牙和牙槽骨的保护以及较长的使用寿命,从长期来看,其性价比可能更高。
牙齿的缺失不应是生活的终点,而是重新开始的起点。 当您为长辈考虑修复方案时,不妨将每一次咀嚼的舒适、每一次微笑的自信都纳入考量,种牙如同在岁月的土壤里种下新的希望,虽然需要时间和耐心,但终将收获丰硕的果实,无论选择哪种方式,专业的评估和细致的维护都是关键,希望您和家人能找到最适合的解决方案,让笑容重新绽放。💖

