拜博口腔网

  • 口腔种植牙的优点有哪些?为何成为缺牙修复的理想选择?

    口腔种植牙的优点有哪些?为何成为缺牙修复的理想选择?

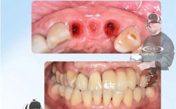
    口腔种植牙被誉为“人类的第三副牙齿”,是目前修复牙齿缺失最理想的方式之一,其优点非常突出,主要体现在以下几个方面:🦷1.功能恢复极佳,媲美天然牙强大的咀嚼能力:种植体与牙槽骨紧密结合(骨结合),能像天然牙根一样承受强大的咀嚼力,恢复接...

    2025-11-27
    5 0 0
  • 大牙拔了,种植牙对咀嚼功能恢复真有必要吗?

    大牙拔了,种植牙对咀嚼功能恢复真有必要吗?

    大牙(通常是磨牙)拔除后,强烈建议进行修复,而种植牙是目前公认的最佳修复方式之一,是否“有必要”装种植牙,需要结合你的具体情况来看,但从口腔健康、功能、美观和长期效果的角度出发,种植牙是理想的选择,尤其对于大牙这种承担主要咀嚼功能的位置,以...

    2025-11-27
    2 0 0
  • 种植牙 全口牙齿

    种植牙 全口牙齿

    理解你对全口牙齿种植的关注!这确实是一个能显著提升生活质量的重大决定,全口牙齿种植是指通过手术在上颌或下颌(或上下颌)牙槽骨内植入多颗人工牙根(种植体),然后在种植体上安装牙桥或固定假牙,从而恢复整个牙列的功能和美观,以下是关于全口牙齿种植...

    2025-11-26
    3 0 0
  • 种植牙的五大优势具体有哪些?这些优势如何解决缺牙难题?

    种植牙的五大优势具体有哪些?这些优势如何解决缺牙难题?

    种植牙被誉为“人类的第三副牙齿”,是目前修复缺失牙最理想的方式之一,它凭借诸多显著优势,成为越来越多缺牙患者的首选,以下是种植牙公认的五大核心优势:功能媲美真牙,咀嚼力强核心优势:种植牙通过人工牙根(种植体)与牙槽骨牢固结合(骨结合),能...

    2025-11-26
    2 0 0
  • 种植牙钉位置怎么选才合适?影响咀嚼功能与美观的关键因素是什么?

    种植牙钉位置怎么选才合适?影响咀嚼功能与美观的关键因素是什么?

    种植牙钉(即种植体)的位置是种植牙手术中最关键的决定之一,它直接关系到手术的成功率、种植牙的长期稳定性、功能(咀嚼)以及美观效果,种植体的位置不是随意选择的,而是由多种因素综合决定的,以下是决定种植牙钉位置的核心考虑因素和理想位置特征:📍...

    2025-11-26
    4 0 0
  • 种植牙第三期咬合度不达标,会有哪些影响?

    种植牙第三期咬合度不达标,会有哪些影响?

    种植牙的“第三期”通常指的是最终修复体(牙冠、牙桥或覆盖义齿)的戴入和调整阶段,在这个阶段,咬合度的调整是至关重要的一步,直接关系到种植牙的成功、功能、舒适度和长期稳定性,以下是关于种植牙第三期咬合度的详细说明:🦷为什么第三期咬合调整如此...

    2025-11-26
    4 0 0
  • 种植牙如何守护口腔健康?

    种植牙如何守护口腔健康?

    “爱健康种植牙”通常指的是国内一家专注于口腔种植领域的连锁品牌——爱健康口腔,它以“数字化精准种植”为核心技术特色,在多个城市设有连锁机构,致力于为患者提供高品质的种植牙服务,以下是关于“爱健康种植牙”的详细介绍,帮助你全面了解这个品牌:核...

    2025-11-25
    11 0 0
  • 老年人种植牙的好处究竟有哪些?

    老年人种植牙的好处究竟有哪些?

    老年人种植牙的好处是多方面的,它不仅仅是为了填补缺牙的空隙,更能显著提升老年人的生活质量和整体健康水平,以下是一些主要的好处:恢复咀嚼功能,提升营养吸收:核心优势:这是最直接也是最重要的好处,缺牙(尤其是后牙)会严重削弱咀嚼能力,导致老年...

    2025-11-25
    17 0 0
  • 为什么牙科医生普遍推荐种植牙?它有哪些不可替代的优势?

    为什么牙科医生普遍推荐种植牙?它有哪些不可替代的优势?

    牙科医生普遍推荐种植牙作为缺牙修复的首选方案之一,因为它在多个方面都提供了显著优于传统修复方式(如活动假牙、固定桥)的优势,以下是种植牙被广泛推荐的主要原因:🦷1.卓越的咀嚼功能接近自然牙:种植牙通过手术将人工牙根(种植体)植入牙槽骨...

    2025-11-25
    9 0 0
  • 种植牙装好后能正常吃东西吗?食物会塞进种植牙里吗?

    种植牙装好后能正常吃东西吗?食物会塞进种植牙里吗?

    是的,种植牙装好后,食物残渣确实有可能塞进去,这和天然牙的情况非常类似,甚至因为种植牙的结构(牙冠与牙龈连接处、牙冠与牙冠之间的缝隙)以及种植体周围没有牙周膜的缓冲作用,有时感觉会更明显,这完全属于正常现象,不必过分担心,关键在于如何正确、...

    2025-11-24
    29 0 0