我理解你的担忧!种牙后牙冠高度不够确实是个让人不舒服的问题,不仅影响美观(尤其是前牙),更重要的是会影响咬合功能和长期健康,别担心,这通常是可以解决的,但需要及时找你的牙医处理。
🦷 为什么会出现牙冠高度不够?
这种情况可能由多种原因造成,主要包括:

-
制作误差:
- 取模不准确: 在制作牙冠前,牙医需要取下颌模型(灌模)或进行口内扫描,如果取模时种植体基台周围的牙龈形态、咬合关系记录不准确,或者扫描有偏差,制作的牙冠高度就可能不符合要求。
- 技工室制作问题: 技工在制作牙冠的过程中,如果设计或操作有误(比如蜡型堆塑高度不足、铸造/切削时尺寸偏差、烧结/烧结收缩控制不当等),也会导致最终牙冠高度不够。
- 基台选择不当: 如果选用的基台高度本身就偏矮(为了适应空间或避免穿龈过多),即使牙冠制作完美,整体高度也可能不足。
-
种植体植入位置/深度问题:
- 种植体植入过深: 如果种植体在手术时植入的位置过深(埋入骨组织过多),那么即使使用了标准高度的基台和牙冠,露出牙龈的部分(即牙冠临床冠高度)也会显得不够高。
- 骨量不足导致种植体位置不佳: 如果种植区域骨量不足,医生为了获得初期稳定性,可能会将种植体植入更深的位置,或者选择角度基台来补偿,但这有时也会影响最终牙冠高度。
-
咬合调整过度:
在试戴牙冠或最终粘固后,为了保护种植体和周围组织,避免过大的咬合力,牙医可能会在调磨咬合时,将牙冠的咬合面磨得过多,导致临床冠高度相对变短(虽然总高度可能没变,但功能高度和视觉高度感觉不够)。
(图片来源网络,侵删) -
牙龈组织变化:
种植体周围牙龈在术后愈合过程中,如果发生退缩(recession),原本覆盖在基台上的牙龈变少了,会暴露出基台的一部分,同时牙冠边缘位置可能显得更低,视觉上感觉牙冠高度不够,或者,牙龈增生覆盖过多,也会显得牙冠矮小。
-
对高度期望值问题:
有时患者对牙冠高度的期望值可能过高,或者与邻牙、对颌牙的对比感觉不够协调,这需要医生进行专业评估和沟通。
(图片来源网络,侵删)
🩺 牙冠高度不够会带来什么问题?
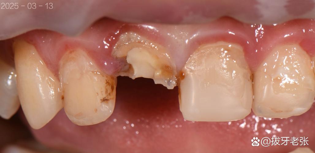
- 美观问题: 尤其在前牙区,牙冠高度不足会让牙齿显得短小、不自然,影响笑容美观,与邻牙高度不一致也很明显。
- 咬合问题:
- 早接触/干扰: 高度不够可能导致牙冠在咬合时过早接触或与对颌牙干扰,引起咬合紊乱。
- 咬合力分布不均: 可能导致咬合力集中在牙冠的某个点上,长期下来可能损伤种植体、基台、牙冠本身,甚至影响颞下颌关节。
- 咀嚼效率下降: 牙冠高度不足可能影响牙齿切割和研磨食物的效率。
- 清洁困难: 牙冠与牙龈之间的高度不合适,可能形成过深的龈袋或难以清洁的死角,增加种植体周围炎的风险。
- 心理影响: 不美观和不舒适的咬合会影响患者的自信心和日常生活。
🛠️ 怎么办?如何解决?
最重要的一步:立即联系你的种植牙医! 不要自行处理或拖延,牙医需要评估具体情况,找出原因,并制定解决方案。
-
复诊评估:
- 详细检查: 牙医会检查你的口腔情况,包括咬合关系、牙龈健康、牙冠与邻牙/对颌牙的高度对比、牙冠边缘密合度等。
- 拍摄X光片: 通常需要拍摄根尖片或全景片,评估种植体位置、骨结合情况、基台选择是否合适。
- 沟通感受: 告诉医生你的具体困扰(美观、咬合、清洁等)。
-
确定原因: 根据检查结果,医生会判断高度不够的主要原因(是制作误差?种植体位置?咬合调整?牙龈变化?)。
-
制定解决方案(根据原因不同):
- 如果是制作误差(最常见):
- 重新制作牙冠: 这是最常见的解决方案,医生会取新的精准印模或进行口内扫描,重新制作一个高度合适的牙冠,通常旧牙冠需要拆除(可能涉及粘固剂的去除)。
- 修改现有牙冠(有时可行): 如果牙冠材料允许(如全瓷冠),且高度差距不大,医生可能在口内精细调磨牙冠的咬合面或邻面来增加相对高度,但这有难度且可能影响强度和美观,需谨慎评估。
- 如果是种植体植入过深或位置不佳(较少见,处理较复杂):
- 可能需要手术干预: 如骨增量手术(GBR)增加骨高度,或者通过外科手术调整种植体位置(风险较高,需非常谨慎评估),有时可能需要拔除种植体重新植入。
- 使用特殊基台: 有时可以通过选择更高角度或特殊设计的基台来补偿,但这有局限性。
- 如果是咬合调整过度:
- 重新制作牙冠: 如果调磨过多导致高度不足,通常需要重新制作牙冠。
- 邻牙/对颌牙调磨(谨慎): 在评估整体咬合平衡后,医生可能会考虑轻微调磨邻牙或对颌牙,以补偿该牙冠高度的不足,但这需要非常精确的咬合分析,避免产生新的问题。
- 如果是牙龈退缩或增生:
- 牙龈退缩: 可能需要进行牙周手术(如结缔组织移植)来增加牙龈组织量,覆盖暴露的基台,然后再考虑是否需要修改牙冠高度,或者,在牙龈稳定后重新制作牙冠。
- 牙龈增生: 需要先治疗炎症(如洁治、上药),必要时进行牙龈切除术切除多余增生组织,暴露出完整的牙冠边缘,然后再评估高度是否足够,有时切除后高度就相对够了。
- 如果是期望值问题:
- 充分沟通: 医生需要向患者解释现有牙冠的高度在功能和生物学上是否合理,以及修改的必要性、可能性和风险,如果确实在合理范围内,患者需要调整期望值。
- 如果是制作误差(最常见):
📌 重要提示
- 及时处理: 不要因为“还能用”或“怕麻烦”而忽视这个问题,长期的咬合问题会损害种植体投资,甚至导致种植失败。
- 选择经验丰富的医生: 解决牙冠高度问题,特别是涉及重新制作或复杂情况时,选择技术好、经验丰富的牙医非常重要,如果对当前医生的解决方案有疑虑,可以考虑寻求第二意见。
- 了解费用: 重新制作牙冠通常会产生额外的费用(材料费、技工费、临床操作费等),具体需要与诊所沟通确认,如果问题出在诊所的制作环节,有些负责任的诊所可能会承担部分或全部费用,但这需要协商。
- 保修期: 新制作的牙冠通常会有一定的保修期(如1-2年),具体看诊所政策。
种植牙后牙冠高度不够是一个需要认真对待的问题。请尽快预约你的种植牙医进行专业评估,找出根本原因,并共同商讨最适合你的解决方案,及时处理不仅能恢复美观和舒适,更能保障你种植牙的长远健康和功能。💪🏻
