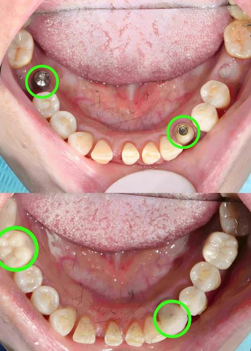
种牙(种植牙)和邻牙之间出现缝隙,确实是一个需要关注的问题,这个缝隙可能由多种原因引起,有些是暂时性的、正常的,有些则可能需要专业干预,下面我们来详细分析一下可能的原因以及相应的处理方法:
📍 一、 可能的原因
-
术后正常肿胀消退(暂时性):
(图片来源网络,侵删)- 原因: 种植手术后,牙龈组织会经历肿胀期,在肿胀高峰期,牙龈可能看起来饱满,甚至暂时“挤”出一些空间,随着肿胀逐渐消退(通常需要几周到一两个月),牙龈会回缩,这时可能会在种植牙和邻牙之间出现一个看起来像缝隙的空间。
- 特点: 这通常是暂时性的,随着牙龈完全愈合和稳定,缝隙可能会变小或消失,在肿胀高峰期,牙龈可能覆盖甚至超过邻牙牙尖。
-
牙龈退缩(最常见原因之一):
- 原因:
- 种植体周围组织特性: 种植体周围的牙龈组织(尤其是附着龈)的生物学特性与天然牙周围的牙龈不同,其稳定性和抵抗退缩的能力相对较弱。
- 手术创伤: 种植手术本身对牙龈组织有一定创伤,愈合过程中可能出现一定程度的退缩。
- 生物宽度问题: 如果种植体位置过深(骨嵴顶到修复体边缘的距离不足),牙龈会试图退缩以建立足够的“生物宽度”,导致牙龈边缘向根方移动,形成缝隙。
- 基台选择不当: 如果选择的基台(连接种植体和牙冠的部分)直径过大或过小,或者其形态与牙龈不匹配,也可能导致牙龈退缩。
- 长期受力或清洁问题: 种植牙受力过大、咬合创伤、或清洁不到位导致种植体周围炎,都可能加速牙龈退缩。
- 特点: 缝隙通常位于牙龈边缘,呈“黑三角”状,可能导致食物嵌塞、美观问题,严重时可能影响种植体长期稳定。
- 原因:
-
种植体位置或角度偏差:
- 原因: 在手术植入种植体时,如果种植体的位置(近中或远中距离)、角度(唇舌向或近远中向)没有精确达到理想位置,导致最终修复的牙冠与邻牙在排列上出现间隙。
- 特点: 缝隙可能贯穿整个牙冠与邻牙接触的区域,即使牙龈健康也可能存在缝隙,这通常与手术精度和修复设计有关。
-
邻牙问题:
- 原因:
- 邻牙倾斜或移位: 如果邻牙本身存在倾斜、移位(例如因缺失牙时间过长导致),或者邻牙之前做过不合适的修复体(如过大的冠、桥),在制作种植牙修复体时,为了与这样的邻牙接触,可能被迫在接触区形成缝隙。
- 邻牙龋坏或修复体边缘不密合: 邻牙本身有龋坏,或者其修复体(如牙冠、贴面)边缘不密合、形态异常,也可能导致与种植牙修复体之间无法紧密接触,形成缝隙。
- 特点: 缝隙的位置和形态可能受邻牙状态影响。
- 原因:
-
修复体制作问题:
(图片来源网络,侵删)- 原因:
- 牙冠/桥过小: 制作牙冠或桥时,技工室制作的修复体尺寸偏小,无法与邻牙形成紧密的邻接点,导致缝隙。
- 印模或扫描不准确: 取模或口内扫描时,如果邻牙或种植体区域印模/扫描不清晰、变形,会导致技工制作的修复体尺寸偏差。
- 技师技术问题: 技工制作过程中出现误差。
- 特点: 通常在戴牙后就能发现缝隙,可能伴随食物嵌塞。
- 原因:
-
咬合问题:
- 原因: 种植牙修复体在咬合时受力过大(早接触、干扰),长期可能导致种植体周围骨吸收和牙龈退缩,从而在牙龈处形成缝隙,或者,修复体本身形态导致在咀嚼时食物被推入缝隙。
- 特点: 缝隙可能伴随咀嚼不适、牙龈红肿或出血。
📍 二、 如何判断和处理?
-
观察期(术后初期):
- 如果是在术后几周内出现的缝隙,且牙龈仍在恢复中(颜色、质地变化、肿胀未完全消退),先不要过度焦虑,给牙龈足够的时间(通常1-3个月)完全愈合和稳定下来,很多暂时性缝隙会随着愈合而改善。
-
及时就医复诊:
- 无论缝隙何时出现,都应尽快预约你的种植医生进行复查。 不要自行判断或等待。
- 医生会进行详细的临床检查:
- 视诊:缝隙的位置、大小、形态。
- 探诊:检查牙龈健康状况(退缩程度、出血、牙周袋深度)、邻接点是否紧密、食物嵌塞情况。
- 拍片:拍摄X光片(根尖片、曲面断层片或CBCT),评估种植体位置、骨高度、骨密度、邻牙情况、修复体与骨的关系。
- 咬合检查:检查咬合关系、有无早接触或干扰。
- 模型分析:研究模型分析邻接关系和咬合。
-
根据原因制定解决方案:
(图片来源网络,侵删)- 暂时性肿胀消退: 医生会确认是这种情况,并告知耐心等待观察。
- 牙龈退缩:
- 轻度退缩: 如果不影响功能(食物嵌塞不严重)且美观可接受,医生可能建议密切观察,加强口腔卫生。
- 中度至重度退缩/影响美观/食物嵌塞: 可能需要牙龈成形术或牙龈移植术,增加牙龈组织量,覆盖暴露的种植体表面,改善邻接关系和美观,有时可能需要修改修复体(如更换更合适的基台或重新制作牙冠)。
- 种植体位置偏差:
- 如果偏差轻微且不影响功能和美观,可能通过精细调磨修复体来改善邻接。
- 如果偏差较大,导致修复体无法制作或功能效果差,可能需要手术纠正种植体位置(难度大,风险高)或考虑拔除重种(最后手段)。
- 邻牙问题:
- 如果邻牙是原因(倾斜、龋坏、修复体问题),需要先治疗邻牙(正畸、补牙、拆除重做修复体等),然后再根据情况调整种植牙修复体。
- 修复体制作问题:
- 如果确认是修复体尺寸过小或制作误差,重新制作修复体是最直接的解决方法,医生会取新的印模或扫描,技工室会制作更合适的牙冠/桥。
- 咬合问题:
- 调整咬合,消除早接触和干扰。
- 如果牙龈退缩已发生,可能需要结合牙龈治疗。
📍 三、 重要提示
- 不要自行处理: 不要用牙签、牙线等硬物去“撑开”或“填塞”缝隙,这会损伤牙龈和种植体。
- 保持良好口腔卫生: 无论缝隙原因如何,彻底清洁缝隙区域(使用牙线、牙缝刷、冲牙器等)至关重要,防止食物嵌塞导致牙龈炎、种植体周围炎。
- 沟通是关键: 在复诊时,清晰地向医生描述你发现缝隙的时间、变化、是否有不适(疼痛、食物嵌塞等)、以及你对美观的担忧,提供照片有时也很有帮助。
- 个体差异: 每个人的口腔条件、手术情况、愈合能力都不同,处理方案也需个体化制定。
种牙与邻牙之间出现缝隙,最常见的原因是牙龈退缩,其次是暂时性的术后肿胀消退和修复体问题。关键在于及时就医,由专业的种植医生准确诊断原因,并制定最适合你的治疗方案。 大多数情况下,通过适当的处理(如牙龈手术、修改修复体、治疗邻牙等),这个问题是可以得到改善或解决的,不要忽视这个缝隙,早期干预通常能获得更好的效果。💪🏻
