在正畸治疗中为过小牙(如锥形侧切牙、过小的上颌侧切牙、过小的前磨牙等)预留空间是一个常见且需要精细规划的问题,目的是为过小牙本身提供足够的排列空间,或者为后续的修复治疗(如瓷贴面、牙冠)创造条件,以下是实现这一目标的主要策略和方法:
🧩 核心策略:创造额外空间
-
扩大牙弓宽度(横向扩展):
(图片来源网络,侵删)- 适用情况: 当上下牙弓宽度不足,尤其是后牙区狭窄,导致前牙区拥挤或为过小牙预留空间不足时。
- 方法:
- 矫治器扩展: 使用带有螺旋弹簧的扩弓矫治器(如Hyrax扩弓器)或快速腭中缝扩展装置(如RME),这些装置通过施加轻柔、持续的力量,使上颌骨的腭中缝(骨缝)在青春期前或青春期早期打开,从而增加牙弓宽度。
- 慢速牙弓扩展: 使用固定矫治器(如方丝弓矫治器)在磨牙区放置扩弓弹簧,通过移动牙齿本身来扩大牙弓宽度(非骨性改变),这种方法对成年患者更常用,但效果相对有限且可能复发。
- 优点: 能显著增加总空间,尤其对解决后牙反𬌗或狭窄牙弓有效。
- 缺点: 骨性扩展有年龄限制(青春期后效果差),慢速扩展效果有限且可能复发;可能影响面型(如过宽的微笑)。
-
邻面去釉(Interproximal Reduction, IPR / 接触点磨改):
- 适用情况: 当轻度拥挤或空间不足主要发生在局部,且过小牙需要修复时,这是最常用且有效的为过小牙(尤其是需要修复的过小牙)预留空间的方法之一。
- 方法: 使用细长的金刚砂车针或条带状磨头,在相邻牙齿的邻面(接触点区域)磨除少量牙釉质(通常每颗牙磨除0.25-0.5mm,总共约0.5-1.0mm),这相当于在牙齿之间“偷”出一点空间。
- 优点:
- 创造的空间量可精确控制。
- 对牙弓整体形态影响小。
- 适用于大多数年龄段(包括成人)。
- 操作相对简单,风险可控(由经验丰富的医生操作)。
- 缺点: 需要良好的口腔卫生维护,以防止龋齿;磨除的釉质不可再生;可能引起牙齿敏感(通常短暂);需要精确计算磨除量。
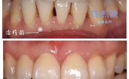
- 关键点: 为过小牙预留空间时,通常需要在其两侧(前牙)或后方(后牙)的邻面进行去釉,磨除量需根据过小牙需要修复的厚度(通常瓷贴面需要0.8-1.5mm空间,牙冠需要更多)以及牙齿排列情况精确计算。
-
拔除其他牙齿(拔牙矫治):
- 适用情况: 当牙弓存在严重拥挤,或者为了整体面型和咬合平衡需要拔牙时,拔牙是创造空间最有效的方法之一,拔牙后,可以将拔牙间隙分配给过小牙。
- 方法: 通常选择拔除第一前磨牙(双尖牙),拔除后,利用拔牙间隙:
- 前移后牙: 将后牙(前磨牙、磨牙)向近中移动,关闭拔牙间隙,可以将前牙(包括过小牙)向后少量移动,或者将间隙保留给过小牙。
- 集中间隙给过小牙: 通过精确的牙齿移动控制,将拔牙间隙集中分配给过小牙所在的位置,如果过小牙是上颌侧切牙,拔除上颌第一前磨牙后,可以将间隙集中用于排列侧切牙。
- 优点: 能创造大量空间,有效解决严重拥挤;有助于改善面型(如突面型);为过小牙提供充足空间。
- 缺点: 是侵入性操作;可能改变面型(如内收前牙可能使面型更凹);需要更复杂的矫治技术;患者接受度可能较低。
- 关键点: 拔牙方案必须由正畸医生根据患者的模型、X光片、面型、微笑线、咬合关系等综合评估决定,拔牙间隙的分配是治疗设计的核心。
-
压低或伸长特定牙齿:
- 适用情况: 当过小牙位于牙弓的某个高度异常的位置时(如低位过小牙或高位过小牙),通过压低或伸长该牙齿,可以在垂直向调整其位置,间接为其在牙弓中找到更合适的位置,从而在水平向上可能需要或不需要额外空间,有时,压低后牙可以打开前牙区的垂直空间,有利于前牙排列。
- 方法: 使用特定的矫治器附件(如微种植体支抗)或弹性牵引,施加垂直向的力量。
- 优点: 可以调整牙齿垂直位置,改善咬合和面下1/3高度。
- 缺点: 效果相对局限,通常需要与其他方法(如去釉、拔牙)结合使用;可能需要支抗。
🎯 为过小牙预留空间的具体实施步骤(结合以上策略)
-
全面诊断评估:
(图片来源网络,侵删)- 拍摄全景片、头颅侧位片、根尖片。
- 取研究模型。
- 进行口腔检查,评估牙周健康、龋坏情况、咬合关系、面型、微笑线。
- 明确过小牙的位置、大小、形态、与邻牙的关系、是否需要修复。
-
制定治疗计划:
- 确定空间需求: 如果过小牙需要修复,与修复医生沟通,确定修复体(贴面/牙冠)所需的厚度和空间(通常需要比天然牙更大的间隙)。
- 选择空间创造方法: 根据拥挤程度、牙弓形态、年龄、面型、患者意愿等因素,决定采用哪种或哪几种组合方法(如IPR + 拔牙;扩弓 + IPR)。
- 设计牙齿移动方案: 详细规划如何利用创造出的空间来排列过小牙(如过小牙需要后移、前移、直立、旋转等),以及如何移动其他牙齿以维持良好的咬合和面型。为过小牙预留的空间通常需要比其他牙齿稍大一些,尤其是当它需要修复时。
- 考虑修复时机: 是在正畸结束后立即修复,还是在正畸过程中(如过小牙位置排齐后)进行临时修复?这会影响空间预留的精确度。
-
正畸治疗实施:
- 粘接矫治器: 根据方案选择托槽类型(金属、陶瓷、自锁等)。
- 施加力量: 使用弓丝、弹簧、橡皮筋、微种植体等,按照计划施加力量。
- 精细调整: 在治疗过程中,定期复诊,检查牙齿移动情况,调整力量,确保过小牙被引导到正确的位置,并且预留的空间没有被其他牙齿侵占。对过小牙的移动需要格外小心和精确。
- 执行空间创造操作: 在适当阶段进行邻面去釉或安装扩弓装置。
-
修复治疗(如需要):
在正畸治疗结束,牙齿位置稳定后,进行取模,由修复医生制作并粘接瓷贴面或牙冠。
(图片来源网络,侵删) -
保持:
- 正畸结束后必须佩戴保持器(如Hawley保持器、透明保持器、固定舌侧丝),以维持过小牙及其他牙齿的位置,防止复发。为过小牙预留的空间在保持期也需要被稳定住。
📌 重要注意事项
- 个体化方案: 没有放之四海而皆准的方法。 最佳方案完全取决于患者的具体情况,必须由经验丰富的正畸医生进行详细评估和设计。
- 多学科合作: 当过小牙需要修复时,正畸医生和修复医生需要密切沟通协作,正畸医生负责创造空间和排齐牙齿,修复医生负责最终的美学修复,两者在治疗目标(空间大小、牙齿位置、边缘位置、咬合关系)上需达成一致。
- 空间预留的精确性: 为过小牙预留的空间,尤其是需要修复时,必须非常精确,空间不足会导致修复体过薄易碎或无法制作;空间过大则可能导致修复体边缘不密合、食物嵌塞、牙龈退缩等问题,医生通常会在模型上预先模拟修复。
- 美学考量: 过小牙通常位于前牙区,对微笑美观影响大,治疗设计必须考虑微笑线、牙齿大小比例、牙龈弧线等美学因素。
- 功能与稳定: 创造空间和移动牙齿不能牺牲咬合功能和长期稳定性,最终的咬合关系必须稳定、健康。
- 患者配合: 患者需要良好的口腔卫生习惯(尤其进行IPR后),按时复诊,正确佩戴橡皮筋和保持器,才能保证治疗效果。
为正畸中的过小牙留缝,核心在于创造额外的可用空间,主要手段包括邻面去釉(IPR)、扩大牙弓、拔除其他牙齿,有时辅以压低或伸长,选择哪种方法或组合,需要正畸医生根据患者的拥挤程度、牙弓形态、年龄、面型、是否需要修复等综合因素进行个性化设计。精确计算空间需求(尤其是修复所需)、精细控制牙齿移动、以及正畸与修复医生的良好协作是成功的关键,务必在专业正畸医生的指导下进行,切勿自行尝试。💪🏻
