- 支抗: 在正畸治疗中,支抗是指用来抵抗矫治力、使牙齿(或一组牙)按计划移动的“基础”或“锚点”,强大的支抗意味着“锚点”本身移动很少或不移动,从而将矫治力有效地作用在需要移动的牙齿上。
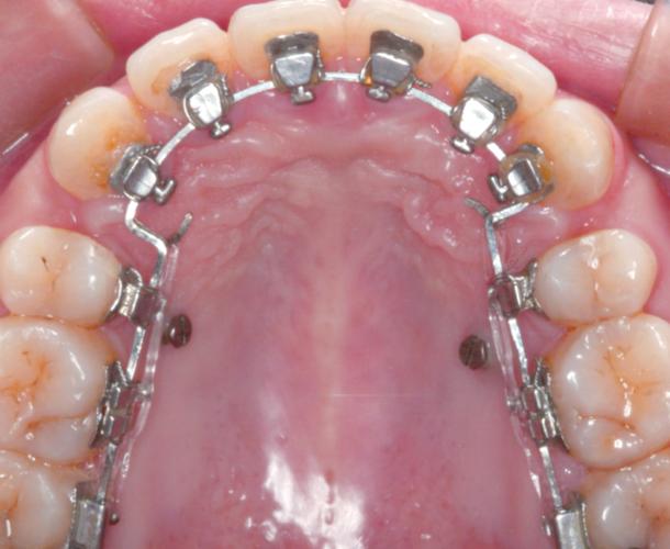
- 腭杆: 一种固定在口腔上颌腭部的金属装置,通常由不锈钢丝制成,连接在两侧第一磨牙(或第二磨牙)的带环上,它横跨硬腭。
- 分牙: 指在牙齿邻面放置一个微小的弹簧圈(分牙圈),利用其弹性力量使相邻牙齿产生微小的间隙(通常0.5-1mm)。
腭杆如何增加支抗?

(图片来源网络,侵删)
腭杆增加支抗的核心在于其刚性连接和空间固定作用:
- 连接磨牙,形成整体: 腭杆将两侧的上颌磨牙(通常是第一磨牙和第二磨牙)牢固地连接在一起,形成一个功能上的整体。
- 抵抗倾斜和扭转: 当施加在磨牙上的力(内收前牙时产生的反作用力)试图使磨牙倾斜、旋转或近中移动时,刚性连接的腭杆会阻止这种非计划性的移动,它像一个“横梁”,限制了磨牙在三维方向上的自由度。
- 提供稳定的支抗基牙: 由于磨牙被腭杆固定,它们可以作为非常稳固的“锚点”,当需要内收前牙(关闭拔牙间隙)或远中移动磨牙时,施加在磨牙上的反作用力被腭杆有效地抵抗住了,磨牙本身移动很少,从而将矫治力高效地传递到需要移动的前牙上。
- 防止磨牙近中倾斜: 在拔牙病例中,内收前牙的力容易导致磨牙近中倾斜(向前倒),腭杆能显著减少甚至防止这种倾斜,确保磨牙保持直立,为前牙内收提供稳固的支抗基础。
- 增强后牙支抗: 即使不拔牙,在需要内收前牙或压低前牙时,腭杆也能增强后牙区的整体支抗能力。
分牙的作用是什么?
分牙的主要作用是为后续装置(如带环、矫治器附件)的放置创造空间:
- 产生邻间隙: 分牙圈放置在牙齿邻面(通常是磨牙邻面),利用其持续的轻微弹性力,使相邻牙齿向颊侧和舌侧轻微移动,产生微小的间隙。
- 方便带环粘接: 在需要在上颌磨牙上粘接带环时,分牙产生的间隙使得带环能够顺利就位,避免因牙齿紧密接触导致带环无法戴入或过度挤压牙龈。
- 利于附件放置: 在某些矫治技术(如自锁托槽)中,需要在牙齿上放置附件或特殊结构,分牙能提供必要的空间。
- 轻微扩大牙弓(有限): 在特定情况下,多个分牙可以轻微扩大牙弓宽度,但这通常不是分牙的主要目的,且效果有限。
腭杆增加支抗与分牙的关系:

(图片来源网络,侵删)
- 分牙是腭杆安装前的准备步骤: 在大多数需要安装腭杆的病例中,分牙是必要的前期步骤。
- 为什么需要分牙? 因为腭杆需要固定在磨牙的带环上,如果磨牙邻面没有间隙,带环就难以精确戴入或完全就位,分牙产生的间隙确保了带环能够顺利、准确地粘接在磨牙上,为腭杆的稳固安装提供了基础。
- 流程: 通常先进行分牙(几天到一周后产生足够间隙) -> 然后磨牙上粘接带环 -> 最后在带环上焊接或粘接腭杆的连接部件,并将腭杆杆体就位并固定。
- 分牙本身不直接增加支抗: 分牙产生的间隙很小,其作用是空间准备,它本身并不能像腭杆那样提供强大的抗移动能力。增加支抗的主力是腭杆本身。
- 协同作用: 分牙和腭杆在治疗流程上是先后衔接、协同工作的关系,没有分牙,腭杆可能无法正确安装;没有腭杆,分牙产生的间隙也无法转化为强大的支抗控制。
- 腭杆通过刚性连接磨牙,形成一个稳固的支抗整体,有效抵抗磨牙的倾斜、旋转和近中移动,为前牙内收或其他牙齿移动提供强大的支抗支持,它是增加支抗的核心装置。
- 分牙通过在牙齿邻面产生微小间隙,为后续磨牙带环的粘接(以及腭杆的安装)创造必要的空间,它是腭杆等装置顺利安装的准备工作。
- 关系: 在需要腭杆的病例中,分牙通常是安装腭杆的必要前提步骤,分牙解决了空间问题,使得腭杆能够稳固安装,从而发挥其强大的支抗增强作用,两者在治疗流程上紧密相连,服务于同一个正畸目标(如精准控制牙齿移动、高效利用支抗)。
分牙是为了给腭杆“铺路”,让腭杆能“站稳脚跟”,而站稳脚跟的腭杆才能真正发挥“增加支抗”的作用。

(图片来源网络,侵删)
