牙齿不整齐(医学上称为错颌畸形)的矫正方法有很多种,选择哪种方法最适合你,取决于你的具体牙齿问题、口腔状况、年龄、美观需求、预算以及你的配合程度,以下是目前主流的牙齿矫正方法:
传统固定矫正器("钢牙套")
-
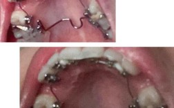
金属托槽矫正器:
(图片来源网络,侵删)- 原理: 在牙齿表面粘贴金属托槽,用金属丝(弓丝)穿过托槽结扎固定,通过弓丝的弹性力量移动牙齿。
- 优点:
- 矫正力量强,适用于各种复杂错颌畸形。
- 技术成熟,效果可靠。
- 相对经济实惠。
- 缺点:
- 美观性差,金属托槽和弓丝明显可见。
- 初期可能引起口腔溃疡不适。
- 口腔清洁相对困难,容易堆积食物残渣,增加蛀牙和牙龈炎风险。
- 复诊频率较高(通常4-6周一次)。
- 改进型: 自锁托槽矫正器,托槽本身带有闭锁装置,不需要用钢丝或橡皮圈结扎弓丝,弓丝在托槽内可以自由滑动,优点是摩擦力小,牙齿移动更高效、舒适,可能缩短矫正时间,口腔卫生相对容易维护;缺点是价格比传统金属托槽高。
-
陶瓷托槽矫正器:
- 原理: 与金属托槽类似,但托槽由透明的陶瓷材料制成。
- 优点:
- 美观性大大提高,托槽颜色接近牙齿,不易被察觉(尤其弓丝选用白色或透明时)。
- 矫正效果与金属托槽相当。
- 缺点:
- 价格比金属托槽贵。
- 陶瓷材料比金属脆,在咬硬物时托槽可能崩裂。
- 某些情况下,托槽边缘可能磨损对颌牙齿。
无托槽隐形矫正器
- 原理: 利用计算机辅助设计和3D打印技术,为患者量身定制一系列透明、可摘戴的塑料牙套,患者需要按顺序佩戴每一副牙套(通常每副佩戴1-2周),每副牙套施加轻微的力量,使牙齿逐渐移动到预定位置。
- 主要品牌: 隐适美、时代天使、Spark等。
- 优点:
- 美观性极佳: 牙套透明,佩戴时几乎完全隐形。
- 舒适度高: 没有托槽和弓丝,口腔黏膜刺激小。
- 可摘戴: 进食、刷牙、重要场合可以摘下,不影响饮食和口腔卫生。
- 方便清洁: 可以取下牙套彻底清洁牙齿和牙套本身。
- 复诊间隔较长: 通常6-8周复诊一次。
- 缺点:
- 价格较高: 通常是最贵的矫正方式之一。
- 适用范围有限: 主要适用于轻中度错颌畸形(如牙列拥挤、轻度反颌、开颌等),对于严重骨性畸形、需要大量牙齿移动或扭转的复杂病例效果可能不佳或需要配合其他治疗。
- 高度依赖患者配合: 必须每天佩戴足够时间(通常20-22小时以上),否则会影响矫正效果和进度。
- 可能产生"味觉改变"或"口干"等轻微不适。
- 复杂病例可能需要附加"橡皮筋"或"附件"(粘在牙齿上的小凸点)来辅助移动。
舌侧矫正器
- 原理: 将托槽和弓丝全部粘贴在牙齿的内侧(舌侧/腭侧),从外面完全看不到。
- 优点:
- 美观性最高: 完全隐形,是最隐蔽的矫正方式。
- 缺点:
- 价格最昂贵: 技术复杂,医生操作难度大,费用通常是最高的。
- 舒适度差: 初期舌头和口腔内黏膜刺激非常明显,发音(尤其是齿音)会受到显著影响,需要较长时间适应。
- 口腔清洁极其困难: 舌侧位置难以清洁,容易导致牙龈炎、牙周炎、龋齿风险增加。
- 矫正力量和效率相对较低: 对医生技术要求极高,复杂病例处理难度大。
- 复诊频率可能较高。
- 并非所有医生都能熟练操作。
其他矫正方法(通常作为辅助或特定情况使用)
-
活动矫治器:
- 原理: 由塑料基托和金属丝组成,患者可以自行摘戴。
- 优点: 结构简单,价格便宜,可自行摘戴清洁。
- 缺点: 矫正力量弱,主要用于简单的早期干预(如替牙期阻断性矫治)、保持器或配合固定矫治器进行局部牙齿移动。
- 常见类型: 垂直打开咬合矫治器、上颌扩弓矫治器、下颌前导矫治器等。
-
功能矫治器:
- 原理: 主要利用咀嚼肌和口周肌的力量,引导颌骨的生长发育,通常在替牙期或恒牙早期使用。
- 优点: 能在一定程度上改善骨性不调(如下巴后缩、上颌前突等),为后续固定矫正创造条件。
- 缺点: 适用年龄有限(生长发育期),对牙性错颌效果有限,需要患者高度配合佩戴(通常每天12-16小时以上)。
- 常见类型: FR矫治器、肌激动器、生物调节器等。
-
微种植体支抗:
(图片来源网络,侵删)- 原理: 在牙槽骨内植入微小的钛合金种植钉(支抗钉),作为移动牙齿的"坚强支抗",提供稳定、精确的矫治力。
- 优点: 能实现传统支抗难以达到的牙齿移动(如整体内收前牙、压低牙齿、直立牙齿等),大大拓展了矫正范围和精度,缩短矫正时间。
- 缺点: 需要微创手术植入和取出,存在感染、松动等风险,对医生技术要求高。
-
正畸外科手术:
- 原理: 对于严重的骨性错颌畸形(如下巴严重后缩/前突、地包天、龅牙、面部不对称等),单纯的正畸移动牙齿无法解决根本问题,需要通过正颌外科手术(如上颌骨、下颌骨的截骨移动)来调整颌骨的位置,再配合术前术后的正畸治疗(去代偿、精细排齐)。
- 优点: 能从根本上改善面部骨骼关系和咬合功能,效果显著。
- 缺点: 属于大手术,创伤大,风险高,费用昂贵,需要多学科(正畸、颌面外科)协作,术后恢复期长。
非矫正的美学修复方法(仅适用于特定情况)
- 树脂贴面/瓷贴面: 对于轻微的牙齿排列不齐(如个别牙齿轻微扭转、间隙),如果牙齿本身颜色、形态、大小基本满意,可以考虑通过在牙齿表面粘贴薄薄的树脂或瓷贴面来掩盖不齐,达到美观效果。重要提示: 这种方法不能真正移动牙齿,只是视觉上的遮盖,它需要磨除少量牙体组织(瓷贴面通常需要磨除更多),且不可逆,只适用于不想或不能接受正畸治疗、且问题非常轻微的患者。严重不齐不适用。
选择矫正方法的关键考虑因素
- 牙齿问题的严重程度和类型: 是牙性还是骨性?拥挤、稀疏、反颌、深覆颌、深覆盖?复杂程度如何?
- 年龄: 儿童青少年处于生长发育期,可能更适合功能矫治器进行早期干预;成年人骨骼已定型,通常需要固定矫正或隐形矫正,严重骨性问题可能需手术。
- 美观需求: 对隐形程度的要求有多高?能否接受"钢牙"?
- 舒适度要求: 对口腔异物感、发音影响、疼痛的耐受度如何?
- 配合程度: 能否严格遵守医嘱(尤其隐形牙套佩戴时间)?能否做好口腔卫生?
- 预算: 不同方法价格差异巨大(从几千到十几万甚至更高)。
- 时间: 矫正周期通常1-3年,隐形矫正可能更快,复杂病例或配合手术则更长。
- 口腔健康状况: 是否有严重的牙周病、龋齿?需要先进行治疗才能开始正畸。
- 医生的专业意见: 这是最重要的! 必须找专业的正畸医生进行面诊、检查(拍X光片、取模型等),医生会根据你的具体情况分析利弊,推荐最适合你的方案。
重要提醒
- 专业评估是前提: 切勿自行决定或被广告误导,务必咨询正规口腔医院的正畸专科医生。
- 口腔卫生至关重要: 无论选择哪种矫正方式,佩戴矫治器期间口腔清洁难度都会增加,必须更加认真刷牙、使用牙线、冲牙器等,否则极易导致蛀牙和牙龈炎,甚至影响矫正效果。
- 保持器是终身伴侣: 矫正结束后,必须佩戴保持器(通常需要全天佩戴至少一年,之后逐渐减少夜间佩戴时间),否则牙齿极易复发回原来的位置,保持器需要长期甚至终身佩戴。
- 矫正周期和复诊: 矫正是一个漫长的过程,需要耐心和坚持,按时复诊是保证矫正顺利进行的关键。
- 拔牙可能性: 对于牙齿严重拥挤的患者,正畸医生可能会建议拔除某些牙齿(通常为前磨牙)为牙齿排齐提供空间,拔牙与否需要医生专业评估,不必过度恐惧。
牙齿不整齐的矫正方法多种多样,没有绝对的"最好",只有"最适合",金属托槽经济实用,隐形美观舒适,舌侧最为隐蔽但价格高且不适感强,功能矫治器用于早期干预,外科手术解决严重骨性问题。强烈建议你预约专业的正畸医生进行详细咨询和检查,共同制定最适合你的个性化矫正方案。

