看起来您的问题可能存在一些拼写或表述上的混淆,我理解您想了解的是大同地区红十字会(或相关机构)提供的牙齿种植服务。
需要澄清几点关键信息:

-
“红十字”指什么?
- 中国红十字会: 这是一个全国性的人道救援组织,主要职责是开展救灾、救助、救护、无偿献血、造血干细胞捐献、人体器官捐献、红十字青少年等工作。红十字会本身通常不直接开设医院或提供具体的医疗服务(如种植牙手术)。
- 大同市红十字医院: 大同市有一家名为“大同市红十字医院”的综合性公立医院,它属于医疗机构,很可能设有口腔科,而口腔科是提供牙齿种植服务的主要科室,这可能是您所指的“红十字”机构。
-
“种值牙”是什么?
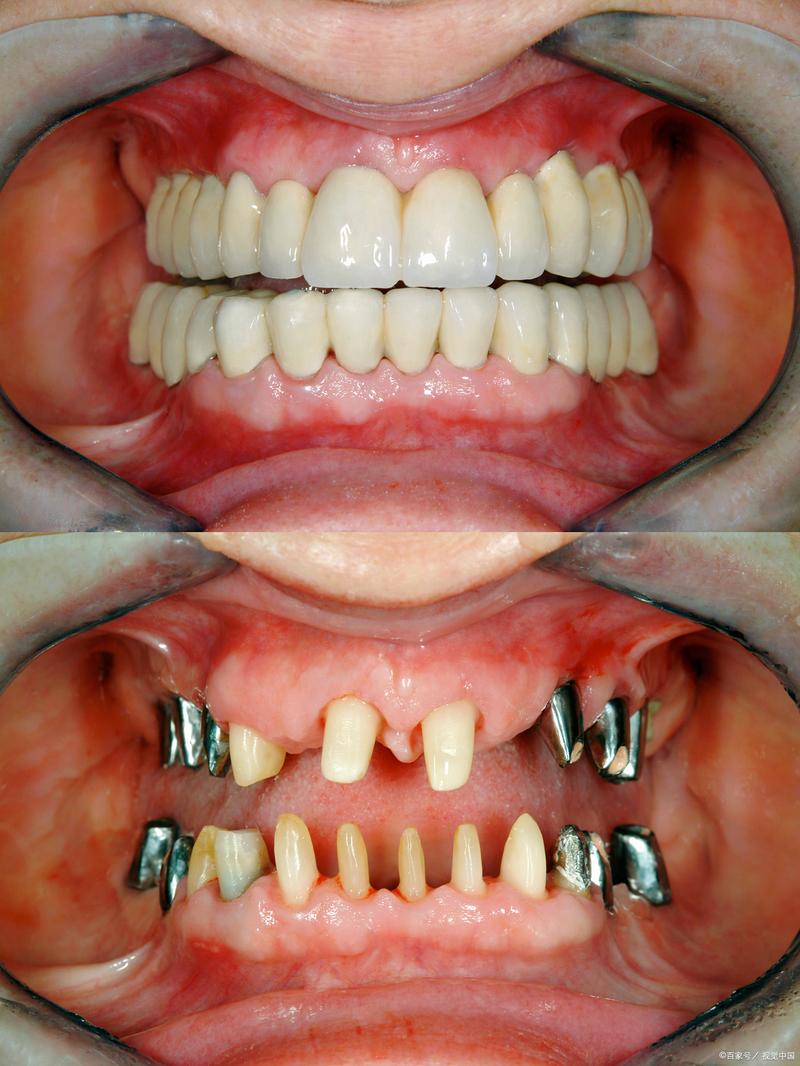
- 这应该是“种植牙”的笔误,种植牙是目前修复缺失牙齿的一种先进方式,通过外科手术将人工牙根(种植体)植入牙槽骨内,再安装牙冠,功能美观接近天然牙。
基于以上分析,您最有可能想了解的是:
🦷 大同市红十字医院口腔科是否提供种植牙服务?如何获取相关信息?
答案和行动建议:

- 确认服务提供: 大同市红十字医院口腔科很可能提供种植牙服务,这是综合性医院口腔科的常规项目之一。
- 如何获取准确信息:
- 直接致电咨询(最推荐):
- 找到大同市红十字医院的总机电话(可通过114查询、地图APP搜索或官网查找)。
- 询问总机如何转接口腔科或牙科。
- 直接向口腔科工作人员咨询:
- “您好,请问咱们口腔科是否开展种植牙项目?”
- “如果想做种植牙,需要预约吗?怎么预约?”
- “种植牙大概的费用范围是多少?”(不同材料、品牌、难度差异较大)
- “种植牙手术是由哪位医生主刀?医生的经验如何?”
- “种植牙是否可以使用医保或部分报销?”(种植牙通常属于自费项目,但具体政策需咨询医院)
- 官方网站查询: 搜索“大同市红十字医院官网”,查看是否有科室介绍或服务项目列表,口腔科是否有提及种植牙。
- 实地咨询: 如果方便,可以直接前往大同市红十字医院门诊楼,找到口腔科门诊进行现场咨询。
- 第三方平台查询: 在一些医疗健康APP(如微医、好大夫在线等)上搜索“大同市红十字医院口腔科”或“大同种植牙”,有时能看到患者评价或医生信息(但信息可能不全或滞后)。
- 直接致电咨询(最推荐):
📌 重要提示
- 选择正规机构: 无论选择哪家医院或诊所进行种植牙,确认其具备合法的医疗执业许可证和口腔种植资质非常重要,大同市红十字医院作为公立医院,资质通常是有保障的。
- 医生经验关键: 种植牙手术对医生技术要求很高,了解主刀医生的资质、经验和成功案例至关重要。
- 自身条件评估: 种植牙需要良好的牙槽骨条件和全身健康状况,医生会进行详细的口腔检查(拍CT等)来评估您是否适合种植。
- 费用与医保: 种植牙费用相对较高,且大部分属于自费项目(部分城市可能有惠民种植牙政策或医保报销部分检查费/材料费,需具体咨询),务必提前了解清楚费用构成和支付方式。
您想了解的“大同红十字种植牙”,最可能指的是大同市红十字医院口腔科提供的种植牙服务。
最直接有效的方式是:立即联系大同市红十字医院口腔科进行咨询(电话或现场)。 他们能提供最准确的服务项目、预约方式、费用、医生信息等。
如果您指的是其他带有“红十字”名称的牙科诊所,请提供更具体的名称或地址,以便进一步查找,公立医院口腔科是提供此类可靠服务的主要渠道,希望您能顺利找到合适的医生,解决牙齿问题!💪🏻

