是的,种植牙(牙种植体植入术)在中国通常被归类为三级手术。
这是基于中国《手术分级管理办法》等相关规定进行的分类,手术分级主要依据手术技术的复杂性、风险大小、手术过程是否涉及重要器官或结构、以及所需的技术难度和经验等因素。

为什么种植牙属于三级手术?主要原因包括:
-
技术复杂性和精度要求高:
- 种植牙需要在牙槽骨内精确植入人工牙根(种植体),位置、角度、深度都有严格要求,偏差可能导致种植失败、神经损伤、上颌窦穿孔等并发症。
- 需要精细的手术操作,包括切开、翻瓣、备洞、植入、缝合等步骤。
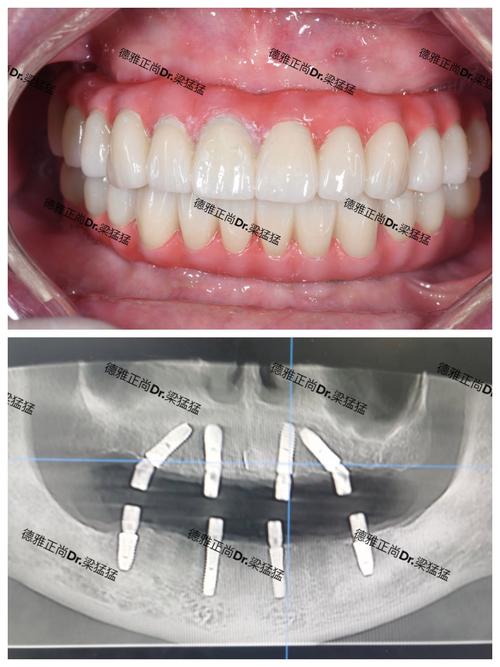
- 常需要借助CBCT(锥形束CT)等影像学数据进行术前设计和术中导航,对医生的技术和经验要求很高。
-
潜在风险和并发症相对较高:
- 术中风险: 出血、神经损伤(下牙槽神经、颏神经)、上颌窦穿孔、邻牙损伤、种植体植入位置不佳等。
- 术后风险: 伤口感染、种植体周围炎、种植体松动或失败、骨结合不良、感觉异常(麻木)、疼痛等。
- 虽然整体成功率很高(在规范操作下可达90%以上),但一旦发生严重并发症,后果可能比较严重。
-
涉及重要解剖结构:
(图片来源网络,侵删)- 种植区域紧邻重要的解剖结构,如:
- 下颌管: 内含下牙槽神经血管束,损伤会导致下唇、颏部麻木。
- 颏孔: 有颏神经穿出,损伤会导致局部麻木。
- 上颌窦: 在上颌后牙区,种植体可能穿入上颌窦,导致感染或种植失败。
- 手术医生必须对这些解剖结构有深刻的了解和识别能力。
- 种植区域紧邻重要的解剖结构,如:
-
患者情况复杂多样:
患者的口腔条件差异很大,如骨量不足(可能需要植骨、上颌窦提升等附加手术)、骨质条件差、吸烟、患有糖尿病等系统性疾病、口腔卫生状况不佳等,都会增加手术难度和风险,处理这些复杂情况往往需要更高级别的手术技能。
-
需要多学科协作和长期修复:
种植牙手术本身是外科操作,但最终的成功还依赖于后续的修复体(牙冠)制作和戴入,以及长期的维护,这需要口腔外科医生、修复医生、技工室等多学科的紧密配合。
(图片来源网络,侵删)
手术分级标准(简述):
- 一级手术: 风险较低,过程简单,技术难度低的普通手术,如体表肿物切除、简单拔牙等。
- 二级手术: 有一定风险,过程复杂程度一般,有一定技术难度的手术,如复杂拔牙(如阻生智齿)、颌骨囊肿刮治等。
- 三级手术: 风险较大,过程复杂,技术难度较大,手术过程涉及重要器官或结构,或可能引起严重并发症的手术。牙种植体植入术属于此类。
- 四级手术: 风险高,过程复杂,技术难度大,手术涉及重要器官或大血管,或可能导致患者严重致残、死亡的手术,如颌骨肿瘤根治术、复杂正颌手术等。
重要提示:
- 分级是相对的: 虽然种植牙被普遍归为三级,但在具体操作中,一个经验极其丰富的医生在非常简单的病例上(如骨量充足、位置极佳的单颗前牙种植),其操作难度可能接近二级,反之,一个复杂的全口种植或需要大量骨增量手术的病例,其难度可能接近四级。
- 资质要求: 根据《手术分级管理办法》,三级手术通常要求由具有副主任医师及以上专业技术职务任职资格的医师主持手术,主刀医师必须具备扎实的理论基础和丰富的临床经验。
- 机构要求: 开展种植牙手术的医疗机构必须具备相应的资质、设备(如CBCT、无菌手术室)和人员配置。
种植牙因其技术复杂性、潜在风险、涉及重要解剖结构以及对医生经验的高要求,在中国被明确归类为三级手术,这强调了进行种植牙手术时,选择有资质的正规医疗机构和经验丰富的副主任医师及以上级别医生的重要性,以确保手术的安全和成功。
