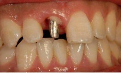
看到你提到种植牙桩上有个小孔,我能理解你的担忧,这确实是个需要认真对待的情况,因为牙桩(种植体基台)是连接种植体和最终牙冠的关键部分。请务必尽快联系你的牙医进行专业评估,不要自行处理或拖延。
以下是关于牙桩小孔可能的原因以及你应该采取的行动:

📍 可能的原因
-
材料缺陷或微裂纹:
- 这是最需要警惕的情况,牙桩通常由钛合金、锆瓷等高强度材料制成,制造过程中或使用中可能出现微小的裂纹或孔隙。
- 风险: 细菌可能通过这个小孔渗入到种植体周围的组织中,导致种植体周围炎(类似牙周病,但发生在种植体上),这是种植牙失败的主要原因之一,微裂纹也可能在咀嚼压力下逐渐扩大,最终导致牙桩断裂。
-
连接处密封不良:
- 牙桩需要通过一个叫做“中央螺丝”的部件固定在种植体内部,如果这个螺丝没有拧紧到位,或者牙桩与种植体之间的连接面有微小缝隙,就可能形成一个“小孔”或通道。
- 风险: 同样,细菌和口腔内的食物残渣、唾液等可能渗入种植体内部,导致感染、骨吸收,甚至种植体松动失败。
-
桩体内部结构(可能性较低):
某些特殊设计的牙桩内部可能有通道或用于辅助固定的结构,但这些通常不会暴露在口腔环境中,如果这个小孔是通向内部的,那肯定属于异常情况。
(图片来源网络,侵删) -
表面处理或涂层问题(可能性较低):
有些牙桩表面有特殊的涂层(如羟基磷灰石)以促进骨结合,如果涂层出现局部剥落或缺陷,也可能看起来像一个小孔或凹陷,但这通常不会形成贯穿性的通道。
-
观察到的不是真正的“孔”(可能性存在):
- 染色或沉积物: 口腔中的茶渍、咖啡渍、烟渍、牙结石或食物残渣可能堆积在牙桩与牙龈交界处或牙冠边缘附近,看起来像一个小黑点或孔洞。
- 光线反射: 牙桩表面的抛光或形状在特定光线下可能产生视觉上的错觉,看起来像有小孔。
- 牙龈退缩: 如果牙龈有轻微退缩,可能会暴露出牙桩的一部分结构,其形态可能被误解为有孔。
📍 你应该怎么做(非常重要!)
-
立即预约牙医: 这是最关键的一步! 不要等到复诊时间,尽快联系你的种植牙医生或诊所,告知他们你发现牙桩上有小孔,要求尽快安排检查。强烈建议在48小时内复诊。
(图片来源网络,侵删) -
在复诊前注意:
- 不要自行尝试清洁或堵塞小孔: 使用牙签、牙线或其他工具去戳、刮或试图用东西(如牙膏、胶水)堵住小孔,这很可能会造成更大的损伤,引入细菌或破坏密封性。
- 保持口腔卫生: 像平常一样认真刷牙(使用软毛牙刷,动作轻柔,避免直接大力刷在牙桩上)和使用牙线/牙间刷,但特别注意清洁牙桩周围区域,可以温和地用盐水(温开水加一点点盐)漱口,有助于清洁。
- 避免咀嚼硬物: 尽量用另一侧咀嚼,避免在有问题牙桩的一侧啃骨头、坚果、硬糖等,减少对牙桩的额外压力。
- 观察症状: 留意是否有疼痛、肿胀、出血、异味、牙冠松动或咬合不适等症状,如有任何异常,更要及时告知医生。
-
复诊时向医生提供信息:
- 你是什么时候发现这个“小孔”的?
- 它的大小、形状、颜色(是黑色、白色还是其他颜色?)?
- 它位于牙桩的哪个位置(靠近牙龈、靠近牙冠、侧面)?
- 你是否有任何不适感(疼痛、肿胀、出血、异味、松动感)?
- 你是否尝试过清洁它?
📍 牙医会做什么
- 详细检查: 使用口腔镜、探针等工具仔细检查小孔的位置、大小、深度、形态,探针会轻轻探查,判断是否是通道,以及周围牙龈的健康状况(是否有红肿、出血、脓液)。
- 影像学检查: 几乎肯定会拍摄X光片(根尖片或全景片)。 这是判断小孔是否通向种植体内部、是否有骨吸收、牙桩或中央螺丝是否有问题的关键手段,有时可能需要更精细的CBCT(锥形束CT)来评估三维结构。
- 诊断: 根据临床检查和影像学结果,医生会判断小孔的性质:
- 是单纯的表面污渍或错觉?
- 是连接不良的通道?
- 是材料缺陷或裂纹?
- 是其他问题?
- 制定治疗方案: 方案取决于诊断结果:
- 如果是污渍或错觉: 进行专业清洁抛光即可。
- 如果是轻微的连接不良或早期渗漏: 可能需要重新拧紧中央螺丝,或者更换新的牙桩和中央螺丝,确保连接密封。
- 如果是明显的裂纹或贯穿性孔隙: 情况比较严重。 可能需要:
- 取出有问题的牙桩和中央螺丝。
- 评估种植体本身是否受损。
- 根据情况,可能需要:
- 如果种植体完好:更换一个新的、完好的牙桩和中央螺丝,重新安装牙冠。
- 如果种植体也受损或周围有严重感染:可能需要取出整个种植体,待骨愈合后再重新种植(这是最坏的情况,但及时处理通常可以避免)。
- 如果伴随感染(种植体周围炎): 除了处理牙桩问题,还需要进行专业的种植体周围清创、抗菌治疗(如局部使用抗菌药物、激光治疗等),并加强口腔卫生指导。
种植牙桩上的小孔绝对不是可以忽视的问题,它可能是种植体失败的早期信号。最正确的做法是:立即联系你的牙医,尽快复诊进行专业评估。 不要自行处理,保持口腔卫生,避免咀嚼硬物,并留意任何不适症状,早期发现和处理通常能取得非常好的效果,避免更严重的问题发生,希望你的检查结果只是小问题,能尽快解决!💪🏻
