种牙后佩戴牙冠是恢复牙齿功能与美观的关键步骤,许多患者会通过“种牙后带牙冠视频”提前了解过程,缓解紧张情绪,这类视频通常涵盖牙冠的作用、类型选择、制作流程及佩戴注意事项,帮助患者全面认识这一环节。
种植体植入后,相当于在牙槽骨中埋入了“人工牙根”,但单纯暴露的金属或陶瓷基台无法承受咀嚼力,也无法恢复牙齿的自然形态,牙冠作为“人工牙冠”,直接承担咀嚼功能,同时兼顾美观,是种植牙的“门面”,视频往往会先强调牙冠的重要性:若不佩戴,种植体可能因长期受力不均而松动,邻牙也可能向缺牙区倾斜,导致咬合紊乱。

视频会详细解析牙冠的类型,常见材质包括全瓷、烤瓷和金属三种,各有优缺点(如下表),全瓷牙冠因生物相容性好、色泽接近天然牙,成为前牙区的首选;烤瓷牙冠内层为金属、外层为瓷,兼顾强度与性价比,适合后牙区;金属牙冠(如贵金属)硬度高、耐磨性强,但美观性较差,目前已较少用于前牙,视频会通过对比不同材质的透光性、抗崩裂能力和使用寿命,帮助患者根据自身需求(如位置、预算、美观要求)与医生沟通选择。
| 材质 | 优点 | 缺点 | 适用人群 |
|---|---|---|---|
| 全瓷 | 美观自然、生物相容性好、无金属过敏 | 强度略低于烤瓷、价格较高 | 前牙美学修复、对金属敏感者 |
| 烤瓷 | 性价比高、强度较好 | 金属边缘可能透青、牙龈染色风险 | 后牙区修复、预算有限者 |
| 金属 | 硬度高、耐磨性强 | 美观性差、可能影响核磁共振 | 后牙区大跨度修复、特殊需求者 |
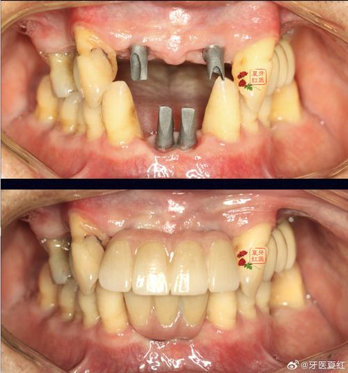
视频的核心部分通常是牙冠的制作与佩戴流程,首先是“取模”环节,医生会用硅橡胶或数字化口扫设备获取种植体及周围牙齿的精确模型,确保牙冠与邻牙、对颌牙的密合度,传统取模需要患者咬住印模材料约5分钟,数字化口扫则通过扫描仪快速获取数据,减少不适感,随后,模型会被送往技工所,根据患者肤色、牙齿形态制作牙冠原型,视频可能会展示技工用堆瓷、烧结等工艺还原天然牙的纹理和层次感。
戴冠时,视频会记录医生的关键操作:先检查种植体基台是否就位,用消毒液清洁基台表面;再将牙冠试戴,调整咬合关系(避免过高导致创伤),确认边缘密合度(牙冠与基台缝隙需小于30微米,防止食物嵌塞);最后用树脂水门汀粘固,去除多余粘固剂并抛光,整个过程通常耗时30-60分钟,患者仅需局部麻醉,几乎无痛。
术后护理是视频的重点强调内容,戴冠后24小时内避免进食过冷、过热或过硬食物(如坚果、骨头),防止粘固剂未完全固化导致脱落;使用软毛牙刷清洁牙冠邻面,配合牙线或冲牙器,避免种植体周围炎;若出现轻微疼痛或咬合不适,可先观察1-2天,若持续加重需及时复诊,检查牙冠是否需要调整或是否存在种植体问题。

视频还会提醒患者牙冠并非“终身使用”,一般使用寿命为10-15年,与日常维护、咬合习惯有关,定期复查(每6个月1次)能帮助医生早期发现牙冠磨损、边缘渗漏等问题,及时处理,延长种植牙使用寿命。
相关问答FAQs
Q:种牙后戴牙冠视频能帮我提前了解哪些关键步骤?
A:优质“种牙后带牙冠视频”通常会清晰展示四个核心环节:①术前准备(基台消毒、口腔检查);②取模过程(传统印模或数字化口扫的操作细节);③牙冠试戴(医生如何调整咬合、检查边缘密合度);④粘固完成(粘固剂的使用及抛光步骤),通过视频,患者可直观了解“是否疼痛”“需要张嘴多久”“牙冠颜色如何匹配”等细节,减少术中焦虑,也能学会术后如何观察牙冠状态(如是否松动、边缘是否滞留食物)。
Q:牙冠使用期间出现松动或疼痛怎么办?
A:牙冠松动或疼痛需分情况处理:①若松动伴随咬合痛,可能是粘固剂脱落或种植体周围炎,需立即就医,医生会拆除牙冠检查种植体,必要时进行X光片排查骨吸收;②若仅轻微松动且无疼痛,可能是粘固剂部分溶解,可避免用患侧咀嚼并及时复诊,重新粘固;③若疼痛呈放射性或伴牙龈肿胀,需排查牙冠内部是否有隐裂或基台问题,必要时更换牙冠,切勿自行用力晃动牙冠或使用胶水粘固,以免损伤种植体或导致感染加重。

