正畸治疗中,TPA是一个常见的专业术语,其英文全称为Transpalatal Arch,中文通常译为“横腭弓”或“腭杆”,作为固定矫治技术中的重要辅助装置,TPA主要通过连接上颌左右后牙(通常为第一磨牙和第二前磨牙或第一磨牙),利用其特定的几何形态和材料特性,实现对牙弓三维位置的精细控制,在支抗强化、牙弓宽度调整、牙齿移动方向引导等方面发挥独特作用,以下将从结构、作用机制、临床应用及注意事项等方面展开详细说明。
TPA的结构组成与类型
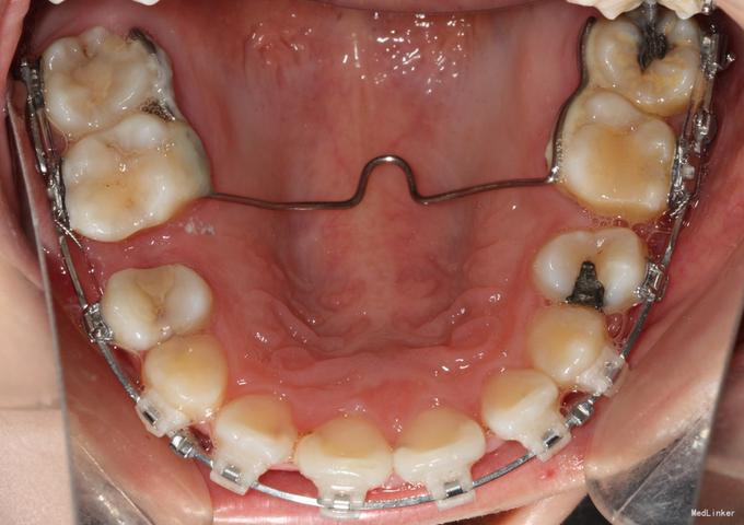
TPA的核心结构由连接体和两个臂部组成,连接体跨越腭中缝,位于硬腭黏膜上方,两个臂部则通过焊接或整体弯制的方式,与后牙的带环或托槽连接,根据临床需求,TPA可分为多种类型,其设计差异主要体现在形态、材质和连接方式上,具体如下表所示:

| 分类依据 | 类型 | 特点与适用场景 |
|---|---|---|
| 连接部位 | 磨牙-前磨牙连接型 | 臂部连接第一磨牙和第二前磨牙的带环,适用于需要多牙支抗控制的病例,如尖牙远移。 |
| 磨牙-磨牙连接型 | 直接连接两侧第一磨牙,支抗强度更强,常用于后牙支抗强化或牙弓宽度维持。 | |
| 形态设计 | “N”型/“W”型 | 连接体呈波浪形,具有一定弹性,可轻微缓冲牙齿移动时的应力,适用于需要轻度扩弓的病例。 |
| 直线型 | 连接体呈直线,刚性较强,主要用于稳定牙弓形态,防止后牙前倾或外移。 | |
| 材质 | 不锈钢材质 | 最常用,强度高、弹性适中,适合大多数病例,可通过调整弯度改变力学性能。 |
| 钛合金材质 | 弹性模量较低,生物相容性更好,适合对金属敏感或需要更柔和力学作用的病例。 | |
| 附加装置 | 螺旋扩弓型TPA | 在连接体中部内置螺旋扩大器,可通过旋转螺旋实现主动扩弓,兼具稳定与扩弓功能。 |
TPA的核心作用机制
TPA的力学作用原理基于“整体支抗”和“被动稳定”理念,通过连接两侧后牙,将单颗牙齿的分散移动转化为牙弓整体的协同控制,具体机制包括:
-
支抗强化与稳定
在正畸治疗中,支抗控制是关键环节,TPA通过刚性连接两侧后牙,形成“后牙支抗区”,防止前牙移动时后牙前倾或近中移位,在拔牙病例中(如拔除第一前磨牙),TPA可维持后牙位置,确保前牙有足够的间隙内收,实现“前牙后移、后牙不动”的精确控制,对于需要强支抗的病例(如深覆盖矫正),TPA可与颌内支抗(如种植支钉)联合使用,进一步增强支抗稳定性。 -
牙弓宽度调整与维持
TPA在牙弓宽度管理中具有双重作用:对于牙弓狭窄的病例(如后牙反颌),可通过主动加力(如螺旋扩弓型TPA)扩大腭中缝,增加牙弓宽度;对于已扩弓的病例,直线型或刚性TPA可维持扩弓后的牙弓形态,防止后牙因肌肉力量(如颊肌)向舌侧倾斜复发,需要注意的是,TPA的扩弓作用主要针对腭中缝区域(青少年患者骨缝未闭时效果更显著),对于牙弓本身的宽度调整(如后牙倾斜移动)需配合其他矫治器(如扩弓螺钉)。 -
牙齿移动方向引导
TPA的臂部可通过弯制调整角度,间接控制后牙的倾斜或移动方向,在纠正后牙颊舌向位置时,通过将臂部舌向弯制,可引导后牙向舌侧移动,纠正后牙颊倾;反之,若需纠正后牙舌倾,则可颊向弯制臂部,在关闭拔牙间隙时,TPA可防止后牙近中移位,确保间隙关闭由前牙后移主导。
(图片来源网络,侵删)
TPA的临床应用场景
TPA的应用范围广泛,几乎涵盖各类错颌畸形的矫正,尤其在以下场景中具有不可替代的作用:
- II类错颌矫正:II类1分类(深覆盖)和II类2分类(深覆颌)病例中,TPA可强化后牙支抗,防止前牙移动时后牙前倾,同时配合颌间牵引(如II类牵引)调整颌间关系。
- III类错颌矫正:对于III类错颌(反颌),TPA可维持上颌后牙位置,防止下颌后牙过度近中移位,为上颌前牙提供移动空间。
- 间隙管理:在乳牙早失导致的间隙丧失病例中,TPA可维持后牙位置,为恒牙萌出提供足够间隙;在恒牙期拔牙病例中,可防止拔牙间隙被后牙占据。
- 中线纠正:对于上颌中线偏斜的病例,TPA可通过连接两侧后牙,稳定牙弓形态,为前牙中线移动提供支抗基础,配合前牙牙间牵引纠正中线。
TPA的技术优势与局限性
优势:
- 微创与可逆:TPA无需手术,仅通过粘接带环即可完成,治疗结束后可轻松拆除,对牙体组织损伤小。
- 多效性:同时具备支抗强化、牙弓稳定、扩弓等多种功能,减少患者佩戴多种矫治器的不适。
- 适用范围广:从儿童到成人,各类错颌畸形均可根据需求选择不同类型的TPA。
局限性:
- 舒适度问题:TPA的连接体位于腭部,可能刺激腭黏膜,导致异物感、发音障碍(如“大舌头”),患者需1-2周适应。
- 适应症限制:对于腭部形态异常(如高腭弓、腭部黏膜过薄)或严重牙周病患者,TPA的粘接和加力可能受限。
- 依赖操作技术:TPA的弯制精度直接影响效果,需医生具备扎实的临床经验,否则可能导致支抗失效或牙齿移动异常。
TPA的注意事项
- 适应症与禁忌症:适用于牙弓稳定、支抗需求高的病例;禁忌于腭部肿瘤、严重牙周炎(牙槽骨吸收超过根长1/3)、骨缝已闭的成人扩弓病例。
- 粘接与加力:需精确取模,确保带环与牙齿密合,连接体与腭黏膜保持1-2mm间隙避免压迫;加力时需在医生指导下进行,不可自行调整。
- 口腔护理:佩戴TPA后,需加强口腔卫生,使用正畸专用牙刷、牙线,避免食物嵌塞导致龋坏或牙周炎症。
- 定期复诊:每4-6周复诊一次,检查TPA的稳固性、黏膜状况及牙齿移动情况,及时调整加力方案。
相关问答FAQs
Q1:TPA和快速腭扩器(RME)都是扩弓工具,有什么区别?
A:TPA和快速腭扩器(RME)均可用于扩弓,但作用机制和适用场景不同,TPA以“稳定”为主,通过连接后牙维持牙弓宽度,螺旋扩弓型TPA可实现缓慢、持续的腭中缝扩弓(速率约0.5mm/周),适合青少年及轻度成人扩弓;而RME通过快速加力(每日旋转1/4圈,速率约1mm/天)强行分离腭中缝,仅适用于青少年(骨缝未闭者),成人使用效果差且易损伤骨组织,TPA兼具支抗强化功能,RME则以单纯扩弓为主。

Q2:戴TPA后出现疼痛或发音困难,怎么办?
A:戴TPA后1-2周内出现轻微疼痛或发音困难属于正常现象,原因是口腔黏膜对异物的不适应,可通过以下方法缓解:① 饮食避免过硬、过黏食物,减少对TPA的碰撞;② 使用正畸蜡覆盖TPA与黏膜接触的尖锐部位,缓解刺激;③ 练习发音(如朗读、绕口令),逐渐适应口腔内环境,若疼痛持续加重或出现口腔溃疡,需及时复诊,医生可调整TPA形态或对黏膜压迫部位进行打磨。
