拔牙后若长时间未进行种植牙修复,会对口腔健康和全身健康产生一系列连锁影响,牙齿缺失后,牙槽骨会失去生理性刺激,逐渐发生吸收和萎缩,这不仅会增加种植牙的难度,还可能引发其他口腔问题,本文将从牙槽骨变化、久拖不种的后果、久拖后种牙的流程及注意事项等方面展开详细说明,帮助读者全面了解拔牙后延迟种植牙的相关知识。
拔牙后牙槽骨的生理性变化与久拖的影响
牙齿是牙槽骨的天然“生理刺激器”,拔牙后,牙槽骨会因失去咀嚼力刺激而开始吸收,这一过程在拔牙后3个月内最为迅速,前3个月骨量可能丧失30%-40%,之后每年以约0.5%-1%的速度持续流失,尤其是前牙区,牙根周围牙槽骨较薄,唇侧骨板吸收更明显,可能导致牙槽嵴低平、凹陷;后牙区因承受较大咬合力,牙槽骨吸收可能涉及高度和宽度,严重时甚至会影响邻近牙齿的稳定性。

长期缺牙还会导致邻牙向缺牙区倾斜、对颌牙伸长,进而改变咬合关系,引发颞下颌关节紊乱、食物嵌塞、牙周炎等问题,牙槽骨吸收还会导致面部软组织失去支撑,出现“瘪嘴”、面部凹陷等衰老外观,影响美观和心理状态。
久拖不种牙的严重后果
拔牙后延迟种植牙的危害远不止“缺一颗牙”这么简单,具体可归纳为以下几点:
种植难度增加,费用上升
牙槽骨吸收后,骨量不足可能导致种植体无法植入理想的深度和角度,需要额外进行植骨手术(如引导骨再生术、上颌窦提升术等),不仅延长治疗周期,还增加植骨材料、手术费用等成本,骨量充足时种植牙费用约8000-15000元/颗,而需要植骨后种植,费用可能增加5000-20000元不等,具体取决于植骨材料和手术复杂度。
种植体稳定性下降,远期风险增高
牙槽骨是种植体的“地基”,骨量不足会导致种植体初期稳定性差,骨结合(种植体与牙槽骨融合)失败风险增加,即使种植成功,骨量少的区域种植体周围骨组织更容易受到咬合力影响而吸收,长期可能出现种植体松动、折裂等问题,缩短种植牙使用寿命。

邻牙及口腔整体健康受损
缺牙区邻牙失去“依靠”后会向缺隙倾斜,导致牙缝变大、食物嵌塞,增加邻牙龋坏和牙周病风险;对颌牙因失去咬合对抗会伸长,可能咬伤对侧牙龈,或导致咬合紊乱,引发颞下颌关节弹响、疼痛等问题。
咀嚼功能与生活质量下降
牙齿缺失后,单侧咀嚼习惯会加重健侧牙齿负担,导致颞下颌关节疾病;长期无法充分咀嚼食物,可能引发消化不良、胃肠功能紊乱等全身问题,缺牙影响发音和笑容,还可能因自卑心理导致社交障碍。
久拖后种牙的完整流程与注意事项
若拔牙后数月甚至数年才考虑种植牙,需通过系统检查和个性化方案设计,确保种植成功,以下是久拖后种牙的典型流程及关键注意事项:
术前全面评估:明确骨量与种植条件
-
临床检查与影像学分析
医生会通过口腔检查缺牙区牙龈、邻牙情况,并借助CBCT(锥形束CT)精确测量牙槽骨的高度、宽度、密度,以及神经管、上颌窦等重要结构的位置,判断是否具备直接种植条件,或需植骨、上颌窦提升等辅助手术。
(图片来源网络,侵删) -
全身健康评估
种植牙属于有创手术,需排除未控制的糖尿病、严重高血压、骨质疏松(长期服用双膦酸盐类药物者)、凝血功能障碍等禁忌症,若有吸烟习惯,需提前戒烟(吸烟会显著降低骨结合成功率,建议术前至少戒烟2周)。
骨增量手术:为种植体“搭建地基”
若牙槽骨吸收严重,需先进行骨增量,待骨组织成熟后再种植,常见术式包括:
- 引导骨再生术(GBR):在骨缺损区植入骨粉(自体骨、异体骨或人工骨),覆盖可吸收胶原膜,引导骨细胞再生,适用于宽度或轻度高度不足的牙槽嵴。
- 上颌窦提升术:针对上颌后牙区牙槽骨高度不足(上颌窦底与牙槽嵴顶距离<4mm),通过“开窗式”或“冲压式”将上颌窦黏膜抬升,植入骨粉,增加骨高度。
- 骨劈开术/骨块移植术:适用于牙槽嵴宽度严重不足(<5mm),将牙槽骨横向劈开或植入自体骨块,扩大种植区域。
骨增量手术后需等待3-6个月(自体骨可能更快,异体骨/人工骨需更长时间),待移植骨与自身骨融合(骨结合)后再进行下一步。
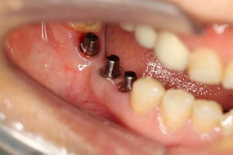
种植体植入与骨结合
骨条件满足后,即可进行种植体植入手术,医生会在局部麻醉下,逐级备洞后将种植体(纯钛或钛合金材质)植入牙槽骨内,缝合伤口,种植体植入后需等待3-6个月(上颌骨可能需4-6个月,下颌骨需3-4个月),期间种植体与牙槽骨形成牢固的骨结合,这是种植牙成功的关键。
基台安装与牙冠修复
骨结合完成后,通过二次手术(或穿龈式基台)暴露种植体顶部,安装基台(连接种植体与牙冠的中间结构),随后取模制作牙冠(全瓷冠、烤瓷冠等),试戴合适后,牙冠通过粘接或螺丝固定方式与基台连接,完成最终修复。
术后维护与定期复查
种植牙虽为“人工牙”,但仍需精心维护:术后24小时内避免刷牙、漱口,遵医嘱服用抗生素预防感染;术后1周拆线,避免用种植牙咀嚼硬物;长期坚持正确刷牙(使用软毛牙刷、牙线、冲牙器),定期洗牙(每6个月1次),并每年复查1次,检查种植体周围骨状况及咬合情况,及时发现并处理种植体周围炎等问题。
久拖后种牙的常见问题与解决方案(表格)
| 问题表现 | 可能原因 | 解决方案 |
|---|---|---|
| 种植术后疼痛肿胀不消退 | 术中创伤过大、感染、骨粉排异 | 抗感染治疗,必要时拆除缝线引流 |
| 种植体松动 | 骨结合失败、咬合力过大、植骨吸收 | 拆除种植体,待炎症控制后重新植骨再种 |
| 牙冠与牙龈间有缝隙 | 基台位置不当、牙龈萎缩 | 重新制作牙冠,或行牙龈成形术 |
| 咬合疼痛 | 咬合过高、种植体负荷过大 | 调磨咬合,避免早接触 |
相关问答FAQs
Q1:拔牙后10年没种牙,牙槽骨吸收严重,还能种牙吗?
A:只要剩余牙槽骨能满足种植体初期稳定性的要求(通常种植体长度需≥8mm,周围骨厚度≥1.5mm),即使吸收严重,仍可通过植骨、上颌窦提升等骨增量手术进行种植,但需注意,骨吸收时间越长、程度越重,手术难度和风险越高,建议选择有复杂病例处理经验的医生,术前通过CBCT精确评估,制定个性化方案。
Q2:久拖后种牙比及时种牙的成功率低吗?
A:及时种植(拔牙后3-6个月,骨吸收初期)因骨量充足、创伤小,成功率可达95%以上;久拖后种牙若需植骨,成功率可能降至85%-90%,但选择正规医院和经验丰富的医生,严格把控适应症和术后护理,仍能获得较高的远期成功率,关键在于术前充分评估、术中规范操作及术后长期维护。
拔牙后应尽早进行种植牙修复,避免因延迟导致牙槽骨吸收、口腔问题恶化,即使拔牙后许久才考虑种植,通过科学评估和规范治疗,仍能恢复牙齿功能与美观,但需做好心理准备:治疗周期更长、费用更高、术后维护要求更严格,建议缺牙者及时咨询专业口腔医生,根据自身情况制定最优修复方案。
