牙周炎是口腔常见的慢性感染性疾病,主要表现为牙龈炎症、牙周袋形成、牙槽骨吸收,最终导致牙齿松动脱落,下门牙作为口腔前牙区的核心牙齿,不仅承担着切割食物的功能,还对发音和面部美观至关重要,当牙周炎导致下门牙缺失后,种植牙因其良好的功能和美观效果,成为理想的修复方式,但牙周炎患者的种牙过程相对复杂,需严格把控治疗各环节,以确保种植体长期稳定。
牙周炎与下门牙种牙的关系
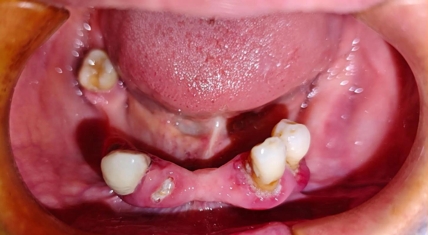
牙周炎患者的口腔环境存在慢性炎症,牙槽骨因炎症持续吸收,可能导致下门牙区骨量不足、骨密度降低,甚至出现骨缺损,若在牙周炎未得到控制的情况下直接种牙,种植体周围可能继发感染,引发种植体周围炎,表现为种植体周围牙龈红肿、溢脓、骨吸收加速,最终导致种植体松动脱落,牙周炎患者种牙的前提是彻底控制牙周炎症,通过系统治疗消除口腔内的感染因素,为种植体创造健康的“生存土壤”。

下门牙种牙的特殊性与挑战
与前牙区其他位置相比,下门牙种牙具有以下特点,需重点关注:
- 牙槽骨条件差:下前牙区牙槽骨厚度较薄(尤其是唇侧骨板),且骨高度常因牙周炎吸收而不足,易导致种植体初期稳定性不佳或术后唇侧牙龈凹陷。
- 美学要求高:下门牙位于微笑区,种植体的位置、角度及牙龈形态直接影响美观,需避免“黑三角”(牙间缝隙)或牙龈“发灰”(金属基底暴露)等问题。
- 邻牙与解剖结构限制:下门牙与侧切牙、中切牙紧密相邻,种植体植入时需避免邻牙牙根损伤;颏孔(下颌神经管出口)位于下前牙区远端,种植备洞时需防止损伤下牙槽神经。
牙周炎下门牙种牙的详细治疗流程
牙周基础治疗:控制炎症是前提
种牙前需通过系统牙周治疗消除炎症,具体包括:
- 菌斑控制:口腔卫生指导(正确刷牙、使用牙线/冲牙器),清除牙菌斑和软垢;
- 龈上洁治与龈下刮治:清除牙结石和牙周袋内炎性组织,通常需分次完成(每颗牙1-2次,间隔1-2周);
- 牙周手术:对于深牙周袋(>5mm)或骨缺损,需行翻瓣术、骨成形术等,彻底清创并重建牙周组织;
- 全身因素调控:控制糖尿病、高血压等系统性疾病,戒烟(吸烟会显著降低牙周愈合能力和种植成功率)。
治疗周期:一般需2-4周,炎症控制后(牙龈无红肿出血、牙周袋深度≤3mm)方可进入种牙阶段。
术前评估:精准制定方案
牙周炎症控制后,需通过详细检查评估种植条件:
- 临床检查:测量缺牙区牙龈厚度、评估咬合关系、检查邻牙及对颌牙状态;
- 影像学检查:拍摄CBCT(锥形束CT),三维评估牙槽骨的厚度、高度、密度,以及颏孔位置、下牙槽神经管走行,避免术中损伤重要解剖结构;
- 模型分析:制取口腔模型,结合数字化设计软件,模拟种植体植入位置、角度及修复体形态,确保功能与美学协调。
种植手术:精准植入与骨增量
根据术前评估结果,选择合适的种植方案:

- 常规种植:适用于牙槽骨条件较好(厚度≥5mm,高度≥10mm)的患者,在局部麻醉下,逐级备洞后植入种植体(直径通常3.3-4.0mm,长度10-12mm),植入扭矩达到35-40N·cm以保证初期稳定性。
- 植骨术:若骨量不足,需同期或分期行骨增量:
- 引导骨再生术(GBR):在骨缺损区植入骨替代材料(如羟基磷灰石)或自体骨,覆盖生物膜引导骨组织再生;
- 骨劈开术:对于牙槽骨宽度不足但高度尚可的情况,将牙槽骨垂直劈开,植入种植体后挤压骨壁增加接触面积。
手术时间:单颗牙种植手术约1-2小时,植骨手术可能延长至2-3小时,术后需拍摄X光片确认种植体位置。
愈合与修复:等待骨结合与功能重建
- 骨结合期:种植体植入后需与牙槽骨融合(下颌骨3-4个月,上颌骨4-6个月),期间避免种植体受力,进软食,保持口腔卫生;
- 二期手术:骨结合完成后,切开牙龈安装愈合基台,塑造牙龈形态(约2周);
- 牙冠修复:取模制作全瓷牙冠(颜色、形态匹配邻牙),试戴调整咬合后粘固,牙冠可选择氧化锆全瓷冠,强度高、美观性好,且生物相容性佳。
术后长期维护:预防种植体周围炎
种植牙并非“一劳永逸”,牙周炎患者需更严格的维护:
- 日常清洁:使用软毛牙刷、种植体专用牙刷、牙线/冲牙器清洁种植体周围,避免菌斑堆积;
- 定期复查:每3-6个月复查1次,检查种植体周围牙龈状态、骨吸收情况,必要时进行专业洁治(使用塑料器械避免种植体表面划伤);
- 生活习惯:戒烟,避免咬硬物(如坚果、螃蟹壳),控制血糖等全身指标。
牙周炎下门牙种牙的预后与风险
成功率:若牙周炎控制良好、骨增量成功、患者依从性高,下门牙种植体5年成功率可达90%以上,10年成功率约85%。
常见风险:
- 种植体周围炎:与牙周炎复发、菌斑控制不佳相关,表现为牙龈出血、骨吸收,需通过牙周治疗甚至手术挽救;
- 骨量不足导致修复失败:若术前骨量评估不足,种植体可能因骨吸收而松动,需重新植骨或改用其他修复方式;
- 美学问题:牙龈萎缩或种植体位置不当可能导致“黑三角”或牙龈形态不自然,需通过牙周手术或个性化基台调整。
治疗流程与时间周期概览
| 治疗阶段 | 时间周期 | 注意事项 | |
|---|---|---|---|
| 牙周基础治疗 | 洁治、刮治、牙周手术,控制炎症 | 2-4周 | 治疗后需复查牙周状况,炎症未控制不可进入种牙阶段 |
| 术前评估 | CBCT检查、模型分析、全身健康评估 | 1-2周 | 糖尿病患者需空腹血糖<8mmol/L,高血压患者血压<140/90mmHg |
| 种植手术 | 常规种植或植骨术 | 1-3小时 | 术后24小时冷敷面部,避免手术区咀嚼,遵医嘱用抗生素 |
| 骨结合期 | 等待种植体与牙槽骨融合 | 3-6个月 | 避免种植体受力,保持口腔卫生,出现异常疼痛及时复诊 |
| 牙冠修复 | 二期手术、取模、制作牙冠、试戴粘固 | 3-4周 | 牙冠颜色需比色,确保与邻牙协调;咬合调整避免早接触 |
| 长期维护 | 每3-6个月复查,洁治,维护牙周健康 | 终身 | 出现牙龈红肿、出血、种植体松动需立即就诊 |
相关问答FAQs
Q1:牙周炎患者种牙后,会不会再得种植体周围炎?如何预防?
A:牙周炎患者是种植体周围炎的高危人群,因为其口腔内存在易感因素(如菌斑堆积、免疫反应异常),若种牙后口腔卫生维护不佳或牙周炎复发,种植体周围可能发生炎症,表现为牙龈红肿、溢脓、骨吸收。
预防措施:① 严格保持口腔卫生,每天使用牙线、冲牙器清洁种植体邻面;② 每3-6个月进行专业种植体维护(洁治+菌斑控制);③ 控制全身疾病(如糖尿病),戒烟;④ 定期拍摄X光片监测骨吸收情况,一旦发现问题及时治疗(如牙周刮治、激光治疗)。
Q2:下门牙种牙后,牙冠颜色怎么选才能和邻牙自然?
A:下门牙位于微笑区,牙冠颜色需与邻牙(侧切牙、中切牙)高度协调,避免“假白”或“发灰”,建议:① 比色:在自然光下,使用比色板(如VITA 3D-Master比色板)与邻牙对比,选择最接近的颜色(通常A1、A2、B1色系较常见);② 个性化染色:技师可根据邻牙的透明度、纹理(如牙釉质横纹)进行个性化染色,模拟天然牙的层次感;③ 避免金属基底:全瓷冠(如氧化锆、铸瓷)无金属基底,不会导致牙龈“发灰”,美学效果更佳;④ 试戴调整:牙冠制作完成后,需在口内试戴,从不同角度观察颜色、形态是否与邻牙协调,必要时可返回技工所调整。

