种植牙作为一种理想的缺牙修复方式,通过将种植体植入牙槽骨内模拟牙根功能,恢复牙齿的咀嚼与美观,但在临床中,部分患者可能会遇到“种植体露出来”的情况,这一现象既有正常设计的可能,也可能是异常问题的表现,需结合具体情况分析。
种植体暴露的常见类型与原因
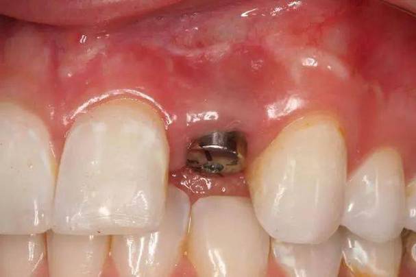
种植体暴露可分为“正常暴露”与“异常暴露”两类,前者属于治疗预期内的设计,后者则提示潜在风险。

正常暴露:功能性穿龈设计
在种植牙修复中,种植体通常由“种植体(植入骨内)+基台(连接种植体与牙冠)+牙冠”三部分组成,基台的穿龈部分(即穿过牙龈暴露在口腔中的部分)会被设计为适度暴露,这是为了确保牙冠边缘与牙龈的密合度,避免食物嵌塞和细菌堆积,同时保证美观,前牙区为了模拟自然牙的“牙乳头”形态,基台穿龈高度通常为1-3mm;后牙区则更侧重功能,穿龈高度可能略低,但需满足牙龈袖口封闭性,这种暴露属于治疗计划内的正常现象,无需特殊处理。
异常暴露:病理性风险信号
若种植体本体(非基台部分)暴露,或基台暴露伴随牙龈红肿、出血、溢脓等症状,则属于异常暴露,可能由以下原因导致:
| 原因类别 | 具体原因 | 发生机制 |
|---|---|---|
| 手术相关因素 | 种植窝洞制备过深/位置偏差 | 术中钻头选择不当或植入角度错误,导致种植体颈部低于牙槽骨平面,缺乏骨覆盖;或靠近邻牙、骨皮质,导致骨量不足。 |
| 骨量不足未植骨 | 牙槽骨萎缩(如缺牙后长期未修复、牙周病导致骨吸收),种植体植入时穿出牙槽嵴顶,无骨组织包裹。 | |
| 修复相关因素 | 基台选择不当(直径过大/穿龈高度不足) | 基台直径超过种植体平台或牙龈厚度,压迫牙龈导致退缩;穿龈高度不足,无法形成足够封闭的“牙龈袖口”。 |
| 咬合力过大/修复体设计不合理 | 患者存在夜磨牙、紧咬牙等不良习惯,或牙冠咬合过高、形态异常,导致种植体承受过大侧向力,引发骨吸收和牙龈退缩。 | |
| 修复体边缘不密合 | 牙冠与基台连接处存在缝隙,食物嵌塞刺激牙龈,导致慢性炎症和牙龈退缩。 | |
| 患者自身因素 | 牙周炎/种植体周围炎 | 余留牙或种植体周围存在牙周致病菌(如牙龈卟啉单胞菌),引发牙龈炎症,破坏牙周支持组织,导致骨吸收和种植体暴露。 |
| 口腔卫生差/吸烟 | 菌斑、牙结石堆积,长期刺激牙龈;吸烟导致局部微循环障碍,影响牙龈愈合和抵抗力,加速牙龈退缩。 | |
| 骨代谢异常 | 糖尿病控制不佳、骨质疏松(未经治疗)等全身疾病,影响骨结合和骨稳定性,导致种植体周围骨吸收。 | |
| 材料因素 | 种植体表面处理不当 | 种植体颈部表面粗糙度过高,易堆积菌斑,引发局部炎症反应;或生物相容性差,导致牙龈组织对种植体产生排斥。 |
异常暴露的影响与处理原则
异常暴露若不及时干预,可能引发一系列问题:美观影响(前牙区金属暴露影响笑容)、功能损伤(牙龈退缩导致牙根敏感、咀嚼疼痛)、感染风险(菌斑侵入引发种植体周围炎,进一步破坏骨组织)、种植失败(骨吸收导致种植体松动、脱落)。
处理需根据暴露程度、骨吸收范围及患者具体情况制定方案:

轻度暴露(无炎症,骨吸收<1/3根长)
- 保守治疗:加强口腔卫生指导(巴氏刷牙法、牙线/冲牙器清洁种植体周围),每3-6个月进行专业洁治(使用种植体专用器械,避免划伤种植体表面);
- 药物干预:局部涂抹抗生素凝胶(如米诺环素凝胶),控制牙龈炎症;
- 观察随访:定期拍摄X光片监测骨吸收情况,若停止进展可暂不处理。
中度暴露(伴炎症,骨吸收1/3-1/2根长)
- 翻瓣清创术:切除增生牙龈,彻底清除种植体表面的菌斑、牙结石和炎性肉芽组织;
- 引导骨再生(GBR):在骨缺损区植入骨移植材料(如骨粉),覆盖生物膜引导骨组织再生,恢复种植体周围骨量;
- 基台调整:更换个性化基台(如锥形基台、光滑颈基台),改善穿龈形态,增强牙龈封闭性。
重度暴露(骨吸收>1/2根长,种植体松动)
- 评估种植体存留价值:若种植体稳固且无松动,可尝试“骨增量+植骨术”,但预后较差;
- 种植体取出:若骨吸收严重、种植体明显松动,需及时取出,待牙槽骨愈合(3-6个月)后,评估是否重新种植;
- 临时修复方案:在骨愈合期间,可制作活动义齿保持间隙和功能。
相关问答FAQs
Q1:种植体露出来一定有问题吗?
答:不一定,正常情况下,种植体基台的穿龈部分会适度暴露于牙龈外,这是为了确保牙冠边缘密合度和美观,属于治疗计划内的设计,无需担心,但如果种植体本体(非基台)暴露,或基台暴露伴随牙龈红肿、出血、疼痛、溢脓等症状,则属于异常暴露,需及时就医检查,可能提示种植体周围炎、骨吸收等问题。
Q2:种植体露出来后不处理会怎样?
答:若异常暴露不及时处理,可能引发严重后果:① 种植体周围炎进展:牙龈炎症持续破坏牙周支持组织,导致骨吸收加重,甚至出现种植体松动、脱落;② 口腔功能受损:牙龈退缩导致牙根敏感,冷热刺激疼痛,咀嚼效率下降;③ 美观与心理影响:前牙区金属暴露影响笑容,可能引发患者焦虑;④ 邻牙健康威胁:食物嵌塞刺激邻牙,引发邻牙龋坏或牙周问题,发现异常暴露需尽早就诊,避免病情恶化。

