种植牙作为目前修复缺失牙的理想方式,凭借良好的咀嚼功能和美观效果,被越来越多缺牙患者选择,尽管种植牙技术成熟,仍有部分患者在术后一年内遭遇失败,这不仅影响口腔健康,还可能带来心理和经济负担,了解种牙后一年失败的原因、表现、处理方法及预防措施,对接受种植牙治疗的患者至关重要。
种植牙后一年失败通常指种植体在植入后12个月内出现松动、脱落、感染、骨结合失败等问题,导致无法正常行使功能,从临床数据来看,种植牙的5年成功率可达95%以上,但术后一年内是“关键期”,失败风险相对较高,其发生往往与多方面因素相关。

种牙后一年失败的常见原因
种植牙的成功依赖于“骨结合”——即种植体与牙槽骨形成稳定的结构性连接,术后一年内,若骨结合过程受到干扰,或种植体承受不当负荷,均可能导致失败,具体原因可分为以下几类:
患者自身因素
- 口腔卫生维护不当:种植牙周围若清洁不到位,易堆积牙菌斑和牙结石,引发种植体周围炎,炎症会破坏牙槽骨,导致种植体松动,尤其对于牙间刷、冲牙器等清洁工具使用不当的患者,风险更高。
- 全身性疾病影响:糖尿病患者若血糖控制不佳,会影响骨愈合能力;骨质疏松患者长期服用双膦酸盐类药物(如治疗骨质疏松的药物),可能增加颌骨坏死风险;长期吸烟者尼古丁会收缩血管,降低骨组织血供,延缓骨结合。
- 不良咬合习惯:如夜磨牙、紧咬牙等异常咬合力,会持续对种植体产生侧向力,干扰骨结合,甚至导致种植体机械性松动或折断。
- 骨量不足:术前未充分评估牙槽骨的厚度和高度,或骨量不足时未进行植骨手术,导致种植体植入初期稳定性不足,骨结合失败。
种植体与手术相关因素
- 种植体材料或设计缺陷:部分劣质种植体生物相容性差,或表面处理技术不佳(如未形成合适的粗糙度),会影响骨细胞附着,降低骨结合成功率。
- 手术操作不当:术中种植体植入位置、角度偏差过大,可能损伤邻牙或神经;种植体扭矩过大导致骨裂,或扭矩过小无法获得初期稳定性;术中冷却不充分,产热过高损伤骨组织,均可能影响骨结合。
- 术后过早负重:即刻种植或即刻负重病例中,若种植体初期稳定性不足,过早戴牙咀嚼,会干扰骨愈合,导致种植体松动。
术后护理与外部因素
- 术后感染:手术区域消毒不彻底,或术后口腔卫生差引发感染,可能导致种植体周围骨吸收。
- 外力创伤:术后受到外力撞击(如跌倒、磕碰),或频繁咀嚼过硬食物(如坚果、骨头),可能直接导致种植体松动或折断。
- 修复体问题:种植牙上部修复体(如牙冠)与种植体连接不紧密,或咬合调整不当,导致种植体承受异常应力,长期作用下可能出现失败。
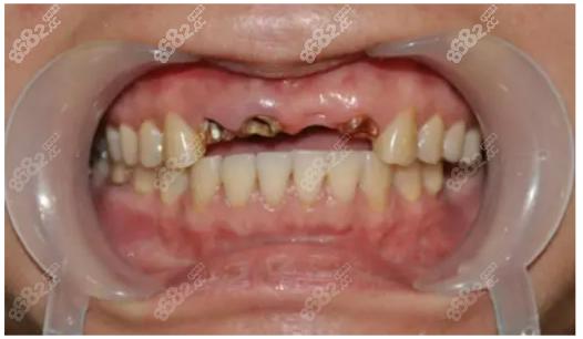
种牙后一年失败的临床表现
种植牙失败并非突然发生,患者通常可通过以下症状早期察觉:
种植体松动或脱落
这是最直接的迹象,正常种植牙在咀嚼时应稳固无晃动,若用手轻摇种植牙或牙冠时感到明显松动,甚至种植体部分脱出,提示骨结合失败或机械性松动。
持续性疼痛或不适
术后短期内轻微疼痛属正常现象,若疼痛逐渐加重,或出现自发性疼痛、咬合痛(咀嚼时疼痛加剧),可能提示种植体周围炎、神经损伤或种植体周围骨吸收。

牙龈异常表现
种植体周围牙龈红肿、出血、溢脓,或牙龈萎缩、种植体“露头”,常是种植体周围炎的表现,炎症未及时控制会破坏骨组织,导致失败。
咀嚼功能下降
原本能正常咀嚼的食物,若现在咬合无力、酸软,甚至咬合时种植牙有“浮起感”,可能提示种植体与骨结合不良,或咬合负荷过大。
影像学异常
通过X光或CBCT检查,若发现种植体周围出现透射影(骨吸收带)、骨与种植体之间间隙增大,或骨密度低于周围正常骨组织,均提示骨结合失败。
种牙后一年失败的处理方法
一旦发现种植牙失败,需及时就医,医生会根据失败原因、骨条件及患者需求制定个性化治疗方案:

确诊失败原因
通过临床检查(松动度、叩诊、牙周探诊)、影像学检查(CBCT观察骨结合情况、骨吸收范围)、咬合分析等,明确失败是因感染、骨结合失败、机械问题还是外力创伤导致。
失败种植体的处理
- 取出种植体:若种植体松动明显、严重感染或骨吸收过多,需及时取出,术中会彻底清除炎性组织,若骨缺损较小,可待骨愈合后(3-6个月)再考虑重新种植;若骨缺损较大,需先进行植骨手术(如引导骨再生术),待骨量充足后再种植。
- 保留种植体:对于早期种植体周围炎,可通过龈下刮治、上药(如抗生素凝胶)、激光治疗等控制感染,部分患者可能保留种植体,但需密切观察骨结合情况。
替代修复方案
若患者不适合重新种植,或因骨条件、全身健康因素无法再次手术,可选择其他修复方式:
- 活动义齿:可摘戴,适用范围广,但舒适度和咀嚼功能较差。
- 固定桥:依靠邻牙支撑,需磨除健康牙体,可能损伤邻牙。
- 全口/半口义齿:适用于多颗牙缺失者,但稳定性不如种植牙。
种牙后一年失败的预防措施
预防胜于治疗,通过术前、术中、术后的全程管理,可显著降低种植牙失败风险:
术前全面评估
- 口腔检查:通过CBCT评估牙槽骨的厚度、高度、密度,判断是否适合种植;检查牙周健康状况,若有牙周炎需先治疗控制。
- 全身健康评估:控制血糖(糖尿病患者)、调整用药(如停用双膦酸盐类药物需咨询医生)、戒烟(术前至少2周戒烟,术后避免吸烟)。
- 制定个性化方案:根据骨条件和咬合情况,选择合适的种植体类型、植入方式(延期种植或即刻种植)及修复方案。
术中规范操作
选择经验丰富的医生进行手术,确保种植体植入位置、角度精准,获得良好的初期稳定性;术中充分冷却,避免骨组织热损伤;严格执行无菌操作,预防感染。
术后科学护理
- 口腔卫生维护:术后24小时内避免刷牙,用漱口水保持口腔清洁;之后使用软毛牙刷、牙间刷、冲牙器清洁种植牙周围,尤其注重牙颈部的清洁。
- 饮食管理:术后1周内进食温凉、软食(如粥、面条),避免过硬、过热食物;3个月内避免咀嚼过硬食物(坚果、牛肉干),减少对种植体的刺激。
- 定期复查:术后1周、1个月、3个月、6个月、1年定期复查,医生会检查种植体稳定性、牙龈状况、咬合情况,发现问题及时处理。
长期维护
即使种植牙成功使用,也需每年进行1-2次专业洁牙(种植体周围刮治),清除牙结石和菌斑;避免咬硬物、夜磨牙(可佩戴夜磨牙垫),保护种植体不受异常负荷。
种牙后一年常见失败原因及处理措施总结
| 失败原因类别 | 具体原因 | 临床表现 | 处理措施 |
|---|---|---|---|
| 患者自身因素 | 口腔卫生差、糖尿病、吸烟 | 牙龈红肿、骨吸收、松动 | 控制血糖、戒烟、牙周治疗 |
| 种植体与手术因素 | 材料缺陷、植入位置偏差 | 咬合痛、邻牙损伤、神经麻木 | 取出种植体、调整方案 |
| 术后护理与外部因素 | 过早负重、外力撞击、感染 | 种植体松动、疼痛、脱落 | 抗感染治疗、取出或重新种植 |
相关问答FAQs
Q1:种牙后一年失败还能再种吗?
A:可以,但需根据失败原因和骨条件决定,若失败因感染或轻度骨吸收,待感染控制、骨愈合后(通常3-6个月),可评估骨量是否充足,充足则可直接重新种植;若骨缺损严重,需先植骨,待骨量恢复后再种植,重新种植前需明确首次失败原因(如是否因咬合不当、吸烟导致),并针对性调整方案,以提高成功率。
Q2:如何区分种牙后的正常反应和失败迹象?
A:种牙后短期内(1-2周)出现轻微肿胀、疼痛、牙龈发白(正常愈合反应),通常逐渐缓解;若术后1个月仍疼痛加剧、种植体明显松动、牙龈持续红肿溢脓,或3个月后X光显示种植体周围透射影、骨结合无进展,则可能是失败迹象,需及时就医复查,避免延误治疗。
