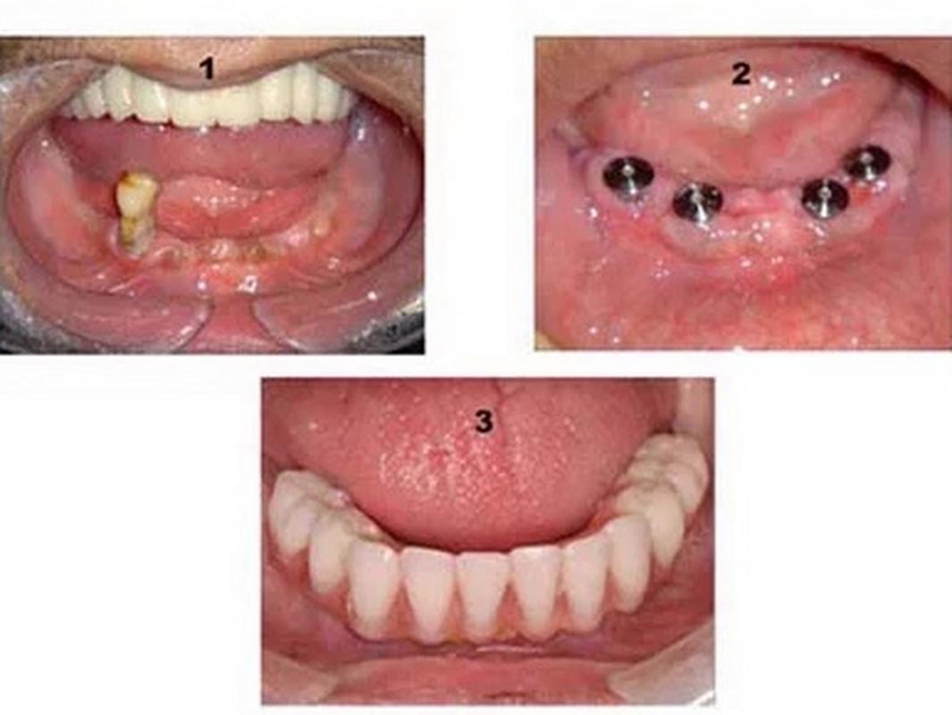
糖尿病患者是否可以种植牙,是许多患者关心的问题,总体而言,糖尿病患者并非绝对不能种牙,但能否成功种植以及长期效果如何,关键取决于血糖控制水平、口腔健康状况及全身并发症的管理情况,糖尿病患者的核心问题是高血糖状态可能影响伤口愈合、骨结合过程及免疫防御能力,因此种植前需进行全面评估和充分准备。
糖尿病患者种植牙的核心影响因素
糖尿病对种植牙的影响主要体现在三个方面:一是骨结合能力,高血糖会抑制成骨细胞活性,延缓种植体与牙槽骨的结合速度,甚至导致结合失败;二是感染风险,糖尿病患者免疫力较低,术后伤口感染、种植体周围炎的发生风险显著增加;三是伤口愈合,高血糖环境下组织修复能力下降,易出现伤口愈合延迟、裂开等问题,研究显示,若糖化血红蛋白(HbA1c)控制在7%以下,种植牙成功率与非糖尿病患者相近;若HbA1c超过9%,失败风险可增加2-3倍。

糖尿病患者种植牙的必要条件
- 血糖控制达标:种植前需将空腹血糖控制在≤8.0mmol/L,糖化血红蛋白(HbA1c)≤7%(部分老年患者或有并发症者可放宽至≤7.5%),且近3个月血糖波动较小,若血糖控制不佳,需先在内分泌科医生指导下调整治疗方案,待稳定后再考虑种植。
- 口腔健康状况良好:需彻底治疗 existing 牙周病、根尖周炎等口腔疾病,确保种植区域无急性炎症;剩余牙槽骨需具备足够高度和厚度(通常骨高度≥10mm,厚度≥5mm),必要时需进行植骨手术。
- 全身并发症评估:排除未控制的心脑血管疾病、严重肾功能不全(eGFR<30ml/min)、周围神经病变(如感觉迟钝,易术后创伤)等禁忌症;长期服用双胍类药物者,术前需停药48小时(避免术后伤口愈合延迟)。
糖尿病患者种植牙的流程与注意事项
种植前准备
- 全面检查:除常规口腔CBCT、牙周探诊外,需检测血糖、HbA1c、肝肾功能、凝血功能,必要时进行心电图等全身评估。
- 牙周治疗:彻底洁治、刮治,控制菌斑指数(PLI)≤0.5,探诊出血(BOP)≤20%。
- 血糖管理:术前3天监测血糖每日4次,确保空腹血糖<7.0mmol/L,餐后2小时血糖<10.0mmol/L。
种植术中操作
- 微创手术:尽量减少手术创伤,缩短手术时间(建议<1小时),避免过度翻瓣。
- 抗感染措施:术中使用抗生素预防感染(如阿莫西林克拉维酸钾),种植体表面选择亲水性处理(如SLA表面)以促进骨结合。
- 骨评估:若术中发现骨量不足,优先采用引导骨再生技术(GBR)而非即刻种植,降低失败风险。
术后管理
- 血糖监测:术后1周内每日监测血糖,避免应激性高血糖。
- 抗感染与止痛:术后预防性使用抗生素3-5天,避免使用含酒精的漱口水(影响血糖)。
- 饮食与口腔卫生:术后1周进温凉流质或软食,避免种植区域咀嚼;使用软毛牙刷+冲牙器清洁种植体周围,每日氯己定漱口2次(连续2周)。
糖尿病患者种植牙评估要点
| 评估项目 | 临床意义 | |
|---|---|---|
| 血糖控制 | 空腹血糖、餐后2小时血糖、HbA1c | 判断愈合能力与感染风险,HbA1c<7%为安全阈值 |
| 口腔健康状况 | 牙周探诊深度(PD)、附着丧失(AL)、牙槽骨密度(CBCT评估) | 排除活动性牙周病,确保骨量充足 |
| 全身并发症 | 神经病变(足部感觉测试)、血管病变(踝肱指数)、肾功能(eGFR) | 规避手术禁忌症,预防术后并发症 |
| 用药史 | 降糖药物类型(胰岛素/二甲双胍/列净类)、抗凝药物使用情况 | 避免药物相互作用,调整术前用药方案 |
相关问答FAQs
Q1:糖尿病患者血糖控制到多少才能种牙?
A:理想状态下,糖化血红蛋白(HbA1c)应≤7%,空腹血糖≤7.0mmol/L,餐后2小时血糖≤10.0mmol/L,若患者年龄较大、病程较长且无严重并发症,HbA1c可放宽至≤7.5%,但需在医生密切监测下进行,若HbA1c>8%,建议先在内分泌科控制血糖3-6个月后再评估种植条件。
Q2:种牙后如果血糖波动,会影响种植体寿命吗?
A:会的,长期血糖波动(如HbA1c反复>8%)会显著增加种植体周围炎和骨吸收的风险,导致种植体松动甚至脱落,种植后需坚持血糖监测(每3个月测HbA1c),同时定期复查种植体(每6个月1次),维护口腔卫生,必要时进行专业种植体清洁(每年1-2次),以延长种植体使用寿命。

