45号牙齿位于下颌右侧,是下颌骨上的第二前磨牙,介于第一前磨牙和第一磨牙之间,承担着重要的咀嚼功能,尤其在研磨食物时发挥着关键作用,由于位置靠后,日常清洁难度较大,加上咀嚼受力较大,45号牙齿成为龋坏、牙周炎等口腔问题的“高发区”,若治疗不及时导致牙齿缺失,会对口腔健康产生一系列影响,如邻牙倾斜、对颌牙伸长、咀嚼效率下降、甚至引发颞下颌关节紊乱等,45号牙齿缺失后,种植牙因其功能、美观及长期稳定性,成为理想的修复方式之一。
45号牙齿缺失的影响与种植牙的必要性
45号牙齿虽不如磨牙“强壮”,但也是后牙区的重要组成部分,缺失后,原本相邻的牙齿(下颌第一前磨牙和第一磨牙)会失去支撑,逐渐向缺牙间隙倾斜、移位,导致牙列排列紊乱;上颌对应的牙齿(上颌第二前磨牙)会因缺乏咬合接触而伸长,进一步破坏咬合平衡;长期缺牙还会导致牙槽骨吸收,降低后期修复难度和种植成功率,种植牙通过将人工牙根(种植体)植入牙槽骨,模拟天然牙的生理结构,能恢复牙齿的咀嚼功能、维持牙槽骨稳定性,且无需磨损邻牙,相比活动假牙、固定桥等修复方式更具优势。

45号牙齿种植牙的详细流程
种植牙手术需严格遵循无菌操作和个性化设计原则,具体流程可分为以下阶段:
术前检查与评估
这是种植成功的基础,需通过口腔全景片、CBCT(锥形束CT)等影像学检查,明确牙槽骨的厚度、密度、高度,以及下颌神经管、颏孔等重要解剖结构的位置,需评估全身健康状况,如是否有糖尿病、高血压、心脏病等慢性病(需病情稳定后手术),以及是否长期服用抗凝药物(如阿司匹林),排除种植禁忌症,还需进行口腔卫生检查,若有牙周炎、牙龈炎等,需先控制炎症再进行种植。
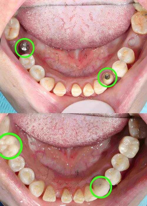
种植体植入术
在局部麻醉下,沿牙槽嵴顶做切口,分离牙龈并暴露骨面,根据术前设计的种植方向和深度,逐级备洞(使用种植专用钻头逐步扩大窝洞),然后将种植体(纯钛或钛合金材质)植入牙槽骨内,45号牙齿位于后牙区,牙槽骨可能因长期咀嚼存在一定吸收,若骨量不足,可能需同期进行植骨手术(如自骨移植、骨粉填塞),以增加种植体的初期稳定性,植入完成后,缝合牙龈,种植体在骨内“隐藏”愈合。
骨结合期
种植体植入后,需与牙槽骨通过“骨结合”形成稳定连接,这是种植牙成功的关键,通常需要3-6个月(具体时间取决于个人骨密度和身体状况,骨质疏松者可能延长),期间,种植体表面会形成骨组织,如同天然牙根与牙槽骨结合一样,此时需避免种植体受力,暂不使用患侧咀嚼,保持口腔卫生,定期复查。

基台安装与牙冠修复
骨结合完成后,通过二次手术切开牙龈,暴露种植体顶部,安装愈合基台(引导牙龈成形)1-2周后,更换为永久基台,然后取模(或使用口扫设备数字化取模),制作个性化牙冠,牙冠材料可选择全瓷、烤瓷或金属,需兼顾美观、强度与咬合功能,牙冠制作完成后(通常1-2周),即可佩戴并调整咬合,完成最终修复。
种植牙材料与费用对比
种植牙的核心材料包括种植体和牙冠,不同材料直接影响价格和使用寿命:
种植体品牌与特点
| 品牌/类型 | 产地 | 特点 | 价格范围(单颗) |
|---|---|---|---|
| 欧美高端品牌(如Straumann、Nobel) | 瑞士、瑞典 | 生物相容性好,骨结合率高,临床使用超50年,适应症广 | 12000-20000元 |
| 韩国主流品牌(如Osstem、Dentium) | 韩国 | 性价比高,临床应用广泛,适合多数骨条件患者 | 8000-15000元 |
| 国产品牌(如威高、百康特) | 中国 | 价格亲民,技术逐渐成熟,适合预算有限者 | 6000-10000元 |
牙冠材料选择
- 全瓷冠:美观度最佳,通透性强接近天然牙,生物相容性好,无金属过敏风险,但脆性较高,适合前牙或对咬合力要求不高的后牙(如45号牙齿,咀嚼力小于磨牙),价格约2000-5000元。
- 烤瓷冠:内层金属(镍铬、钴铬等)+外层瓷,强度较高,价格适中(1000-3000元),但金属边缘可能牙龈着色,美观度略逊于全瓷冠。
- 金属冠:强度最高,但美观度差,目前仅用于咬合力极大的磨牙修复,45号牙齿较少选用,价格约500-1500元。
总费用影响因素
除材料外,费用还与是否植骨(骨粉+植骨手术约3000-8000元)、医生技术(经验丰富的种植医生费用更高)、地区消费水平(一线城市高于二三线城市)相关,因此45号牙齿种植牙总费用通常在8000-20000元不等。
术后护理与注意事项
种植牙虽为“微创手术”,但术后护理直接影响骨结合效果和种植寿命:

- 术后24小时内:避免刷牙、漱口,不吮吸伤口,不食用过热食物,以免血凝块脱落导致出血;可冰敷面部减轻肿胀。
- 饮食调整:术后1周吃流质或半流质(如粥、酸奶),避免用患侧咀嚼;3个月内避免过硬、黏性食物(如坚果、口香糖),防止种植体受力过大。
- 口腔卫生:术后24小时后可用软毛牙刷轻轻刷牙,配合漱口水(如氯己定)保持口腔清洁;使用牙线、冲牙器时避免触碰种植体周围。
- 定期复查:术后1周拆线,3个月、6个月复查骨结合情况,之后每年至少复查1次,检查种植体周围是否有炎症(如牙龈红肿、出血、牙槽骨吸收)。
- 生活习惯:戒烟限酒(吸烟会影响骨结合,增加种植失败风险),控制血糖(糖尿病患者需将血糖控制在8mmol/L以下)。
种植牙的禁忌症与风险
并非所有人都适合种植牙,以下情况需谨慎或先治疗:
- 绝对禁忌症:严重未控制的全身性疾病(如恶性肿瘤、晚期心脏病、严重出血性疾病);颌骨放疗史;长期服用双膦酸盐类药物(如治疗骨质疏松,可能导致颌骨坏死)。
- 相对禁忌症:严重牙周炎(需先治疗并控制炎症);骨量严重不足且无法植骨;夜磨牙或紧咬牙(需先佩戴颌垫,避免种植体过度受力)。
- 风险:包括术后感染(需抗生素治疗)、种植体周围炎(维护不当导致,需刮治或植骨)、下唇麻木(损伤颏神经,多数可恢复)、种植体松动或脱落(骨结合失败,需重新种植)。
相关问答FAQs
Q1:45号牙齿缺失后,可以先不处理吗?
A:不建议长期拖延,缺牙后邻牙会倾斜移位,导致咬合紊乱;牙槽骨会逐渐吸收,骨量减少会增加后期种植难度和费用;长期单侧咀嚼还可能引发颞下颌关节疼痛、面部肌肉不对称等问题,若暂时不想种牙,可先佩戴活动假牙过渡,但需定期调整,避免对邻牙造成进一步损伤。
Q2:种植牙能用多久?会像真牙一样脱落吗?
A:种植牙的寿命与个人维护、材料质量、医生技术密切相关,若保持良好口腔卫生(每天刷牙、使用牙线、定期洗牙),避免过度受力,种植体可终身使用;牙冠一般可用10-20年,磨损后可更换,种植牙在骨结合完成后与牙槽骨稳定结合,正常使用下不易脱落,但若维护不当导致种植体周围炎(类似牙周炎),可能引发松动甚至脱落,因此定期复查至关重要。
