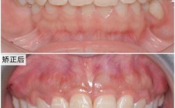
正畸反颌矫治器是针对“地包天”(反颌)这一错颌畸形设计的专业口腔正畸装置,通过机械力引导颌骨、牙齿及颌面部软组织向正常位置生长或移动,改善咬合关系与面部美观,反颌分为牙性反颌(仅牙齿排列异常)和骨性反颌(颌骨发育异常),不同类型的反颌需匹配不同的矫治器,其设计结构、材质及临床应用也各有特点,以下从矫治器类型、图片特征、适用范围等方面展开详细说明,并辅以对比表格帮助理解,最后针对常见问题进行解答。
正畸反颌矫治器的常见类型及图片特征解析
反颌矫治器根据矫治原理、使用方式及适用人群可分为多类,每种类型的矫治器在结构、形态及临床图片中呈现的特征差异显著,具体如下:

传统固定矫治器(金属托槽矫治器)
传统固定矫治器是临床应用最广泛的反颌矫治器之一,尤其在混合牙列期及恒牙列早期牙性反颌中效果显著,在临床图片中,其典型特征为:上下颌牙列粘接金属托槽(多为方丝弓或直丝弓托槽),托槽槽沟用于固定弓丝;可见颌间牵引钩(位于上颌侧切牙与尖牙托槽之间),用于挂橡皮筋进行Ⅲ类颌间牵引,引导下颌向后、上颌向前移动;部分病例中可见上颌颌内牵引装置(如螺旋弹簧),用于前牙区牙根移动,图片中常显示患者口内全貌,可见金属托槽与弓丝形成的“轨道”结构,以及牵引产生的橡皮筋挂在牵引钩上的状态。
活动矫治器(如上颌垫式矫治器)
活动矫治器多用于乳牙列及混合牙列期早期的功能性反颌或轻度牙性反颌,患者可自行摘戴,在图片中,其特征为:基托覆盖上颌腭部及牙列舌侧,由树脂材料制成;前牙区设有平面导板(即“颌垫”),厚度以解除前牙反颌、后牙咬合接触为准;常伴矫治簧(如双曲舌簧、指簧),用于推动上前牙向唇侧移动,图片中可见矫治器与上颌牙列的贴合状态,导板与下前牙之间留有间隙,簧体位于舌侧并向唇侧施力。
功能性矫治器(如FRⅢ型矫治器、Activator)
功能性矫治器主要用于生长期儿童骨性反颌,通过调整下颌位置、刺激颌骨改建纠正反颌,以FRⅢ型矫治器为例,临床图片中可见:上颌基托覆盖腭部及后牙区,下颌基托与下牙列舌侧贴合,两者通过连接杆形成整体;上颌前牙区附有唇挡,用于抑制上唇肌压力;下颌导引导下颌向前、向上移动至对刃或浅覆颌位置,图片中常展示矫治器的整体结构,以及患者佩戴时下颌前移的咬合关系。
隐形矫治器(如时代天使、隐适美反颌模块)
隐形矫治器是近年兴起的数字化矫治技术,通过3D打印一系列透明牙套逐步移动牙齿,适用于轻度至中度牙性反颌,在临床图片中,其特征为:透明牙套紧密贴合牙列,可见牙套上前牙舌侧的“附件”(小树脂凸点,用于增强牙齿移动控制);部分牙套上可见“颌垫”(位于上颌后牙区,用于打开咬合引导下颌后缩);序列牙套图片对比可显示牙齿逐步变化过程(如下前牙舌侧移动、上颌前牙唇侧倾斜)。

肌激动器(Bionator)
肌激动器属于功能性矫治器的一种,通过调整肌肉力量引导颌骨生长,图片中可见其结构简单:上颌基托覆盖腭部,下颌基托与下牙列舌侧贴合,无精确的牙齿卡环,依靠肌肉压力传递作用力,图片常展示患者佩戴时肌肉收缩状态,以及矫治器引导下颌向前的位置。
不同类型反颌矫治器的对比说明
为更直观理解各类矫治器的特点,以下从适用范围、图片特征、优缺点等方面进行对比:
| 矫治器类型 | 图片特征 | 适用年龄/反颌类型 | 主要优点 | 主要缺点 |
|---|---|---|---|---|
| 传统固定矫治器 | 金属托槽+弓丝,可见颌间牵引钩及橡皮筋 | 恒牙列早期、混合牙列期;牙性/轻度骨性反颌 | 矫治力精确,适用范围广,价格较低 | 美观性差,口腔卫生维护难度大,患者配合度要求高 |
| 活动矫治器 | 上颌基托+前牙颌垫+舌侧矫治簧,可自行摘戴 | 乳牙列、混合牙列早期;功能性/轻度牙性反颌 | 患者可自行摘戴,便于清洁,对乳牙损伤小 | 矫治力较弱,依赖患者配合,稳定性较差 |
| 功能性矫治器(FRⅢ) | 上下颌基托+连接杆+唇挡,引导下颌前移 | 生长期儿童(8-12岁);骨性反颌 | 纠正颌骨发育异常,改善面部生长型 | 矫治周期长,需患者密切配合,制作工艺复杂 |
| 隐形矫治器 | 透明牙套+附件+颌垫,序列牙套显示牙齿逐步移动 | 轻中度牙性反颌(成人及青少年) | 美观舒适,可自行摘戴,便于清洁 | 价格较高,重度骨性反颌效果有限,需严格佩戴 |
| 肌激动器 | 简单基托结构,无精确卡环,依赖肌肉作用力 | 生长期儿童;功能性反颌 | 调整肌肉功能,促进颌骨自然生长 | 矫治力温和,起效慢,对医生技术要求高 |
反颌矫治器的选择依据
临床中医生选择矫治器需综合考虑多因素:
- 患者年龄:乳牙列期首选活动矫治器或功能性矫治器;混合牙列期根据反颌类型选择固定矫治器或功能性矫治器;恒牙列期以固定矫治器或隐形矫治器为主。
- 反颌类型:牙性反颌优先选择固定/隐形矫治器;骨性反颌需结合生长潜力,生长期儿童首选功能性矫治器,成人骨性反颌可能需配合正颌手术。
- 美观与配合度:成人或青少年对美观要求高者可选隐形矫治器;儿童配合度差者可选择活动矫治器或简单固定矫治器。
- 口腔条件:牙齿拥挤严重者需先通过固定矫治器排齐,再调整咬合;牙周病患者需优先控制炎症,选择柔和矫治力(如隐形矫治器)。
矫治过程中的注意事项
佩戴反颌矫治器期间,患者需严格遵循医嘱以保障矫治效果:

- 口腔卫生维护:固定矫治器需使用正畸专用牙刷、牙缝刷清洁托槽周围,避免食物残留导致龋坏;活动矫治器需每日摘下清洗,用冷水冲洗(热水变形)。
- 饮食禁忌:避免过硬、黏性食物(如坚果、口香糖),防止托槽脱落或弓丝变形;隐形矫治器需摘下进食,避免染色。
- 复诊间隔:固定矫治器每4-6周复诊一次,调整弓丝或加力;活动矫治器每2-4周复诊,检查矫治器贴合度及牙齿移动情况。
- 配合治疗:功能性矫治器需保证每日佩戴时间不少于14小时;隐形矫治器需每日佩戴20-22小时,每副牙套佩戴1-2周。
相关问答FAQs
问题1:儿童反颌矫治器图片中的“上颌垫”有什么作用?何时可以去除?
解答:上颌垫是活动矫治器或固定矫治器中的关键结构,主要作用是解除前牙反颌(地包天),使下前牙与上前牙脱离锁结关系,同时引导下颌向后、向上移动至正常位置,为后牙建颌创造条件,在临床图片中,上颌垫通常位于上颌后牙区(固定矫治器)或上前牙区(活动矫治器),厚度以咬合时后牙接触、前牙分离2-3mm为宜,去除时机需根据牙齿移动情况决定:一般当前牙建立正常覆颌覆盖关系(上前牙轻咬在下前牙唇侧)、后牙稳定建颌后,可逐步降低颌垫高度或直接去除,通常需要3-6个月,具体需医生根据X光片及临床检查判断。
问题2:成人反颌选择隐形矫治器,临床图片中的“附件”会影响牙齿移动效果吗?会不会有疼痛感?
解答:隐形矫治器中的“附件”是粘接在牙齿舌侧/唇侧的小树脂凸点(直径约2-3mm),临床图片中可见其与牙套内凹槽嵌合,其主要作用是通过增强牙套与牙齿的摩擦力,实现复杂牙齿移动(如扭转、压低、控根),对反颌矫正中的牙齿精确移动至关重要,附件粘接过程简单,仅需几分钟,粘接后初期可能有轻微不适感(类似牙齿敏感),一般1-3天可缓解,不会影响正常生活,附件脱落需及时复诊粘接,否则可能影响牙齿移动精度,成人反颌使用隐形矫治器时,附件数量及位置需根据3D矫正方案设计,医生会通过临床图片监控附件磨损及牙齿移动情况,确保矫治效果。
