正畸垂直开大曲是口腔正畸治疗中用于垂直向牙移动控制的常用弓丝弯制装置,主要由垂直臂、水平臂和连接体三部分构成,通过调整垂直臂的高度实现前牙伸长、后牙压低或咬合打开等治疗目标,在深覆颌、咬合平面倾斜等错颌畸形矫正中具有重要应用价值,其核心作用是通过弓丝的形变产生持续、轻柔的垂直向力,引导牙槽骨改建,从而达到调整咬合关系的目的。
垂直开大曲的结构与材料选择
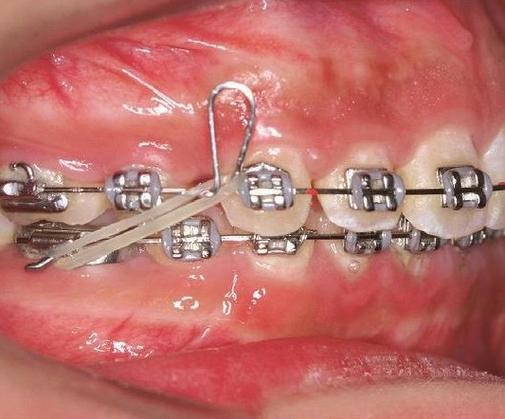
垂直开大曲的基本结构包括垂直臂(主要施力部分)、水平臂(连接与稳定作用)和连接体(与弓丝主体融合),垂直臂通常为垂直向的直线或轻微弧形,高度根据治疗目标调整;水平臂与垂直臂垂直,末端常向舌侧回弯以避免软组织刺激;连接体则需圆滑过渡,减少应力集中。

材料选择方面,不锈钢丝(如0.016英寸、0.018英寸)是传统首选,因其强度高、弯制后形变小,适合需要精准控制力量的病例;镍钛丝(如0.016英寸×0.022英寸)则凭借其超弹性特点,可提供持续轻力,适用于对疼痛敏感或需要长期垂直向维持的患者,对于复杂病例,也可选用不锈钢与镍钛复合丝,兼顾力量控制与舒适性。
垂直开大曲的弯制步骤与技巧
弯制垂直开大曲需精细操作,以下为具体步骤及关键要点:
材料准备与定位
选取合适直径的弓丝,用记号笔在弓丝上标记垂直开大曲的位置,垂直开大曲位于侧切牙与尖牙之间(避开托槽区域),或根据治疗需要调整至后牙区,标记时需参考患者牙弓长度及咬合情况,确保两侧对称。
弯制垂直臂
用细丝钳夹住标记点,垂直向上弯制垂直臂,高度是核心参数:一般深Ⅱ°覆颌需垂直臂高度4-5mm,深Ⅲ°覆颌需5-7mm(具体需根据X线片测量的牙槽骨高度调整),垂直臂应与牙冠长轴平行或舌向倾斜15°,避免压迫牙龈,弯制时需保持手臂稳定,避免反复弯制导致金属疲劳。

弯制水平臂
在垂直臂顶端,用钳子向龈向弯制水平臂,长度控制在3-4mm,末端向舌侧回弯45°-60°,形成“钩状”,防止刺激唇颊黏膜,水平臂需与垂直臂垂直,确保力量传导方向准确。
连接体成形
将垂直臂与弓丝主体连接处弯制成圆滑的弧形,避免直角转折(直角易导致应力集中,引发弓丝断裂),可用三头钳或细丝钳精细调整,确保连接体宽度均匀,与弓丝融合自然。
调整与抛光
检查各部分角度是否符合要求,用钳子微调垂直臂的垂直度及水平臂的回弯形态,最后用砂纸或抛光轮轻轻打磨弓丝表面,去除锐缘,提高患者戴入舒适度。
垂直开大曲的临床应用场景
垂直开大曲的应用需结合具体错颌类型,以下为常见适应证及参数调整建议:

| 错颌类型 | 治疗目标 | 垂直臂高度(mm) | 水平臂长度(mm) | 弓丝直径(英寸) | 适用阶段 |
|---|---|---|---|---|---|
| 前牙深Ⅱ°覆颌 | 伸长前牙,打开咬合 | 4-5 | 3-4 | 016 | 排齐后打开咬合期 |
| 前牙深Ⅲ°覆颌 | 矫正深覆颌,避免创伤 | 5-7 | 4-5 | 018 | 精细调整期 |
| 后牙伸长导致开颌 | 压低后牙,关闭开颌 | 3-4 | 3-4 | 018 | 咬合稳定期 |
| 露龈笑(轻度) | 伸长前牙,改善露龈量 | 2-3 | 3-4 | 016×0.022镍钛 | 美学矫正期 |
典型病例应用:对于青少年安氏Ⅱ类1分类伴深覆颌患者,在排齐牙列后,可在上下颌弓丝上弯制垂直开大曲,垂直臂高度5mm,配合颌间牵引,通过前牙伸长与后牙压低的双重作用,在6-8个月内打开咬合,纠正深覆颌。
弯制与临床使用中的注意事项
- 力量控制:垂直开大曲产生的力量应控制在50-100g(轻力矫治原则),过大的力量易导致牙根吸收、牙周损伤,可通过调整垂直臂高度(高度与力量成正比)或选用弹性材料(如镍钛丝)控制。
- 软组织保护:水平臂末端必须回弯,避免刺伤唇颊黏膜;对于黏膜敏感者,可戴正畸保护蜡缓冲。
- 定期调整:牙移动过程中,垂直臂高度需随覆颌纠正而逐渐降低(如每4周复诊时缩短1mm),避免过度移动。
- 避免干扰:确保垂直开大曲不与对颌牙接触,防止咬合干扰导致弓丝变形或治疗失败。
- 患者教育:告知患者避免咬硬物(如坚果、冰块),防止弓丝变形;出现剧烈疼痛或黏膜溃疡时及时复诊。
相关问答FAQs
Q1:垂直开大曲和摇椅弓在打开咬合时有什么区别?
A:垂直开大曲属于“局部精准施力”装置,通过垂直臂直接作用于目标牙(如前牙),力量集中、可控性强,适合需要精准调整前牙覆颌的病例;摇椅弓则是“整体弓丝形态改变”,通过弓丝的弧度同时压低后牙、伸长前牙,力量分散,适用于全牙列咬合平面异常的病例(如后牙伸长导致的“钟摆型”咬合平面),但摇椅弓对牙弓长度要求较高,牙弓短者可能引发支抗丧失,而垂直开大曲对支抗影响较小。
Q2:弯制垂直开大曲时垂直臂高度过大会导致什么问题?如何避免?
A:垂直臂高度过大(如超过7mm)会导致过度伸长前牙,可能引发开颌、前牙牙周膜损伤(牙根吸收、牙槽骨吸收),甚至导致咬合干扰,避免方法:①治疗前拍摄全口曲面断层片及头颅侧位片,评估牙槽骨高度及牙根长度;②根据覆颌程度计算所需开大量(一般每纠正1mm覆颌需垂直臂高度增加1-2mm);③弯制时用游标卡尺精确测量,避免目测误差;④治疗中定期拍摄X线片监测牙根及牙槽骨情况,及时调整垂直臂高度。
