正畸牵引倒置埋伏牙是口腔正畸学与口腔外科联合应用的重要技术,主要针对因萌出方向异常完全倒置(牙冠指向颌骨深部,牙根朝向口腔或相反方向)而埋伏于颌骨内的牙齿,通过外科手术暴露牙冠并粘接正畸附件,再利用正畸力学装置将其逐步牵引至正常牙列位置,从而恢复牙齿的形态、功能及美观,该技术不仅保留了天然牙,避免了拔牙后修复或种植的需求,还解决了因埋伏牙导致的邻牙倾斜、牙列不齐、颌骨囊肿等问题,是口腔修复功能与美学重建的重要手段。
倒置埋伏牙的病因与临床意义
倒置埋伏牙的形成是多因素共同作用的结果,主要包括:①遗传因素:牙齿萌出空间不足、颌骨发育异常等家族倾向;②乳牙早失或滞留:乳牙过早脱落导致恒牙胚萌出路径偏离,或乳牙滞留阻碍恒牙正常萌出;③恒牙胚发育异常:牙胚位置在颌骨内发生旋转或倒置,可能与牙囊纤维束方向、局部血供异常有关;④颌骨因素:颌骨骨量不足、外伤或肿瘤导致牙齿萌出路径受阻。

临床中,倒置埋伏牙常因无症状而偶然发现,也可能引发邻牙牙根吸收、牙髓坏死、含牙囊肿、牙列拥挤等并发症,若不及时干预,可能导致咬合紊乱、面部美观受损等问题,因此早期诊断与干预至关重要,正畸牵引治疗通过保留天然牙,避免了义齿修复的远期并发症(如基牙磨损、种植体失败等),是年轻患者尤其是恒牙列早期患者的首选方案。
倒置埋伏牙的诊断与评估
准确诊断是牵引成功的前提,需结合临床检查与影像学分析:
(一)临床检查
- 视诊与触诊:观察牙弓形态,缺牙区牙槽骨是否饱满,局部有无膨隆或压痛;部分患者可触及颌骨内硬性隆起,为埋伏牙所在位置。
- 牙髓活力测试:评估邻牙牙髓状态,排除因埋伏牙压迫导致的邻牙牙根吸收或牙髓坏死。
- 模型分析:制取牙模,测量缺牙间隙大小,判断是否有足够空间容纳牵引后的牙齿。
(二)影像学检查
- 曲面断层片:初步判断埋伏牙的数量、大致位置及与邻牙的关系,但对倒置角度、牙根形态及与重要解剖结构(如下牙槽神经管)的显示有限。
- CBCT(锥形束CT):诊断的核心工具,可三维重建埋伏牙的位置、牙冠方向(完全倒置角度)、牙根发育情况(是否弯曲、吸收)、与邻牙牙根的距离及周围骨质情况,为牵引方案设计提供精准数据。
(三)适应证与禁忌证
| 适应证 | 禁忌证 |
|---|---|
| 倒置埋伏牙牙根发育完成(根尖孔闭合)或未闭合但无严重吸收; 牙冠有足够粘接面积,可附着正畸附件; 缺牙间隙充足或可通过扩隙获得; 患者年龄≤30岁(青少年骨改建能力强,效果更佳); 无全身性疾病(如未控制的糖尿病、骨质疏松)影响骨愈合。 |
牙根严重吸收(吸收>1/3根长); 埋伏牙与重要神经血管(如颏神经、下颌神经管)紧密接触,牵引风险高; 牙冠大面积龋坏或修复体残留,无法粘接附件; 患者口腔卫生差,依从性不佳。 |
正畸牵引倒置埋伏牙的治疗步骤
治疗需正畸医生与外科医生密切配合,分阶段完成:
(一)术前准备(1-2周)
- 方案设计:结合CBCT数据,设计牵引路径(通常先垂直牵引,再调整角度至正常牙位),选择牵引装置(如方丝弓矫治器、直丝弓矫治器或微种植体支抗)。
- 口腔准备:完成牙周基础治疗(洁治、刮治),控制牙龈炎;处理邻牙龋坏或修复体,为牵引创造良好口腔环境。
(二)外科暴露与正畸附件粘接(关键步骤)
- 麻醉与消毒:局部浸润麻醉或全身麻醉,术区严格消毒铺巾。
- 翻瓣暴露:沿缺牙区牙槽嵴做梯形或角形切口,翻开黏骨膜瓣,去除表面骨质(用高速涡轮机或超声骨刀),完全暴露埋伏牙牙冠。
- 粘接附件:牙冠表面酸蚀(30%-40%磷酸),冲洗吹干后涂布粘接剂,粘接正畸附件(如托槽、舌侧扣或牵引钩),确保附件位置与牵引方向一致。
- 关闭创口:将黏骨膜瓣复位缝合,附件留置于口腔内,避免被软组织覆盖。
(三)牵引加力阶段(6-12个月)
- 牵引装置安装:在外科术后2-4周(伤口愈合后),将牵引钩与牙弓丝上的牵引钩(或微种植体支抗)通过链状皮筋、镍钛拉簧等连接,施加轻力(50-100g)。
- 复诊调整:每4-6周复诊一次,检查牵引力是否有效、附件是否脱落、牙龈有无增生;根据牙齿移动情况调整牵引方向(如通过更换不同角度的牵引钩或弯制弓丝),逐步将倒置牙牵引至牙列平面。
- 并发症处理:若牵引过程中出现牙根吸收(通过CBCT监测),需减小牵引力;牙龈增生明显时,需手术修整牙龈。
(四)保持阶段(6-12个月)
当倒置牙牵引至正常位置并排齐后,需保持稳定,防止复发:

- 暂时性保持:使用 Hawley 保持器或透明压膜保持器,维持牙齿位置。
- 永久性修复:若牵引后牙齿形态异常(如牙冠过小),可进行树脂修复或全瓷冠修复;若牙髓坏死(术后出现冷热敏感、牙根尖阴影),需行根管治疗。
牵引过程中的常见并发症及处理
| 并发症 | 原因 | 处理措施 |
|---|---|---|
| 牙根吸收 | 牵引力过大、埋伏牙牙根弯曲、与邻牙牙根摩擦 | 调整牵引力至轻力,暂停牵引3-6个月,定期复查CBCT。 |
| 牙髓坏死 | 牵拉过程中牙髓血供受损、外科手术创伤 | 术后3个月、6个月复查牙髓活力(电活力测试、冷热测试),若坏死及时行根管治疗。 |
| 牙龈增生 | 附件周围食物嵌塞、口腔卫生不良、局部刺激 | 加强口腔卫生指导(使用正畸牙刷、冲牙器),局部冲洗上药,必要时牙龈成形术。 |
| 牵引失败 | 附件脱落、牵引路径骨阻力过大、患者未按时复诊 | 重新粘接附件;CBCT评估骨阻力,外科辅助去骨;加强患者依从性管理。 |
预后与患者管理
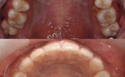
正畸牵引倒置埋伏牙的成功率受多种因素影响,其中倒置角度(<90°成功率更高)、牙根形态(根直无弯曲者更佳)、患者年龄(青少年骨改建能力强)及口腔卫生(预防牙龈炎)是关键,研究显示,适应证选择恰当的情况下,成功率可达80%-90%,牵引后牙齿5年存留率超过85%。
患者需注意:①牵引期间避免啃咬硬物,防止附件脱落;②保持口腔卫生,每天使用正畸牙刷、牙线、冲牙器清洁牙面;③按时复诊,不得擅自调整牵引装置;④保持阶段需遵医嘱佩戴保持器,避免复发。
相关问答FAQs
Q1:正畸牵引倒置埋伏牙整个过程一般需要多久?
A:治疗时间因人而异,主要包括:术前准备(1-2周)、外科暴露与愈合(2-4周)、牵引加力阶段(6-12个月,取决于倒置角度与移动距离)、保持阶段(6-12个月),总疗程通常为1.5-2年,若需扩隙或邻牙调整,时间可能延长。
Q2:牵引过程中如果牙齿移动缓慢或不动怎么办?
A:首先检查牵引装置是否脱落或断裂,附件是否被软组织覆盖;其次复诊时由医生评估牵引力是否合适(过大或过小均会影响移动);若CBCT显示存在骨阻力(如埋伏牙周围骨质致密),需外科辅助去除部分骨质,为牙齿移动创造空间;同时需排除患者是否未按时更换牵引力(如链状皮筋弹性失效)。

