牙齿矫正作为改善口腔功能与美观的重要手段,其难度因个体差异而异,并非所有牙齿都能通过简单佩戴矫治器达到理想效果,某些牙齿或口腔状况会显著增加矫正的复杂性、治疗时长及失败风险,以下从牙齿自身解剖结构、颌骨发育与形态、牙周与口腔健康、患者全身及行为因素、既往治疗史等多个维度,详细分析哪些牙齿矫正难度较高。
牙齿自身解剖结构异常:矫正的“硬骨头”
牙齿本身的形态、位置及数量异常,是导致矫正难度升高的首要因素,这类问题往往需要更复杂的移动机制、更长的治疗周期,甚至需要多学科联合治疗。

严重拥挤与牙量骨量不匹配
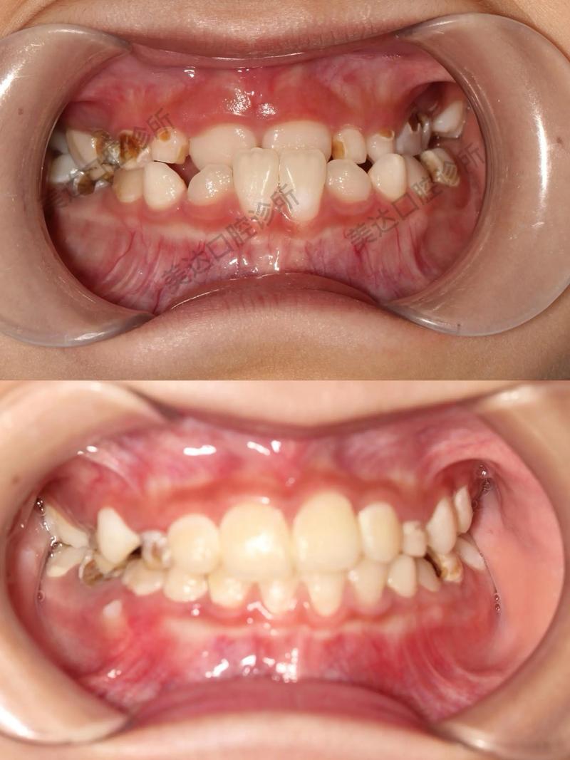
当牙弓内牙齿总宽度(牙量)大于牙弓 available space(骨量)时,会出现牙齿重叠、扭转、部分牙齿无法正常萌出等情况,轻度拥挤可通过扩大牙弓、邻面去釉解决,但严重拥挤(如上下牙弓拥挤量超过10mm)往往需要拔除4颗前磨牙,为剩余牙齿提供排齐空间,拔牙方案需精确计算拔牙后牙弓的稳定性、面部美观度及咬合功能,若设计不当,可能出现“排齐后黑三角”“面型凹陷”等问题,对医生技术要求极高。
牙齿严重扭转与重叠
牙齿在牙弓内发生非生理性旋转(如上颌中切牙旋转超过45°)或完全重叠(如尖牙完全被前磨牙阻挡),其移动难度远大于正常位置牙齿,扭转牙齿的牙根往往位于牙槽骨的皮质骨边缘,移动时易导致牙根吸收、牙槽骨开裂;扭转牙齿的邻牙可能占据其正常位置,需先为扭转牙开辟“移动通道”,这一过程可能涉及邻牙的少量磨改或正畸牵引,耗时较长。
牙齿形态与结构异常
部分牙齿因先天发育或后天损伤导致形态异常,如过小牙(锥形牙)、巨大牙、牙釉质发育不全、牙根短小或弯曲,过小牙(常见于上颌侧切牙)体积小,与邻牙接触面积不足,矫正后易出现间隙,需通过修复治疗(如贴面、冠修复)弥补;牙根短小或弯曲的牙齿,移动时抗力不足,易发生松动甚至脱落,需严格控制移动力度与速度。
埋伏牙与多生牙
埋伏牙(牙齿完全埋藏于颌骨内未萌出)的矫正难度取决于其位置、方向及与邻牙的关系,上颌尖牙埋伏(发生率约1%-3%)若靠近鼻腔底或上颌窦,或压迫邻牙牙根,需通过外科手术开窗、暴露牙冠,粘贴正畸附件,再通过牵引将其拉至牙弓内;若埋伏位置过深、方向异常(如倒置),可能需拔除埋伏牙,以免损伤邻牙及重要解剖结构。多生牙(额外牙)则可能占据正常牙弓空间,阻碍恒牙萌出(如“正中多生牙”可导致上颌中切牙间隙、扭转),需先拔除多生牙,再处理恒牙错位问题,若多生牙与恒牙粘连,拔除难度大,可能损伤恒牙牙根。

牙体缺损与修复体干扰
牙齿大面积龋坏、充填体或修复体(如烤瓷冠、全瓷冠、种植牙)的存在,会影响正畸附件(托槽、带环)的粘贴稳定性,金属修复体表面无法直接粘贴托槽,需通过间接粘接技术;种植牙作为“无生命”的修复体,无法通过正畸移动,若种植牙位置异常,可能影响整体牙齿移动方案的设计,需通过调整其他牙齿位置来补偿种植牙的缺陷。
颌骨发育与形态问题:矫正的“地基难题”
牙齿的排列位置与颌骨的发育形态密切相关,颌骨本身的异常会导致牙齿错位,单纯正畸矫正效果有限,常需联合正颌手术。
骨性错颌:非单纯“牙齿不齐”
骨性错颌是矫正难度最高的类型之一,指颌骨大小、位置或形态异常导致的牙齿与颌骨关系不调,非单纯通过移动牙齿即可解决。
- 骨性上颌前突(龅牙):上颌骨过度发育,单纯正畸内收上前牙可能导致“面型凹陷”,需通过正颌手术(如上颌骨Le Fort I型截骨术)后退上颌骨,再配合正畸精细调整;
- 骨性下颌后缩(小下巴):下颌骨发育不足,正畸需通过“推磨牙向后”或手术前移下颌骨,否则无法改善面部突度;
- 骨性反颌(地包天):上颌骨发育不足或下颌骨过度发育,若为“功能性反颌”(由不良习惯导致),可通过正畸纠正;但真性骨性反颌需正颌手术调整颌骨位置,否则易复发。
开颌与深覆颌:垂直向控制的挑战
开颌(上下牙在正中咬合时无接触)分为牙性开颌(由不良习惯如吐舌、口呼吸导致)和骨性开颌(由颌骨垂直向发育异常导致),牙性开颌需纠正不良习惯(如佩戴舌刺、肌功能训练),而骨性开颌需通过正颌手术(如上颌骨分段截骨)降低颌骨高度,矫正难度大,复发率高。
深覆颌(上颌牙覆盖下颌牙过多)若伴随下颌平面角过小(“短面型”),牙齿移动时易出现“下颌后旋”,加重深覆颌,需通过“压低前牙”“伸长后牙”等方式调整垂直向高度,但过度压低前牙可能导致牙根吸收、牙髓坏死,需严格监控。

牙周与口腔健康状况:矫正的“隐形风险”
牙齿的移动依赖牙槽骨的改建,若牙周组织健康受损,矫正过程中可能加重病情,甚至导致牙齿脱落。
重度牙周炎:矫正的“禁区”
牙周炎患者存在牙槽骨吸收、牙龈萎缩、牙齿松动等问题,未经系统治疗的牙周炎患者严禁直接正畸,矫正前需先进行牙周基础治疗(洁治、刮治、牙周手术),控制炎症;矫正中需减小牙齿移动力度(如使用轻力矫治系统),缩短复诊间隔,监测牙槽骨吸收情况;若牙周炎处于活动期(探诊出血≥4个象限、附着丧失≥5mm),矫正可能导致骨吸收加重、牙齿松动加剧,甚至需终止矫正。
牙槽骨量不足:牙齿移动的“土壤贫瘠”
因牙周炎、长期缺牙、外伤等原因导致的牙槽骨吸收(如牙槽骨厚度<1mm、高度<根长2/3),牙齿移动时缺乏足够的骨支持,易发生“骨开窗”“骨开裂”(牙根暴露于骨外),需通过植骨、骨增量等手段改善骨量,否则无法进行正畸移动。
患者全身及行为因素:矫正的“主观挑战”
矫正效果不仅取决于医生技术,也与患者的自身条件及配合度密切相关。
年龄因素:成年人与青少年的差异
青少年处于生长发育高峰期,颌骨改建能力强、代谢旺盛,牙齿移动速度快,矫正难度相对较低;成年人矫正因颌骨停止发育、牙槽骨密度高、代谢慢,牙齿移动速度慢(约为青少年的1/2-1/3),且可能伴随颞下颌关节紊乱(TMD)、牙齿磨耗等问题,需先评估关节健康,再设计矫正方案。
配合度差:矫正失败的“常见原因”
正畸治疗需患者严格配合,如佩戴橡皮筋、保持器,避免过硬食物,保持口腔卫生等,若患者不遵医嘱(如频繁托槽脱落不粘接、不戴橡皮筋),或口腔卫生维护不佳(矫正后牙菌斑堆积导致牙龈炎、龋齿),可能导致矫正时间延长、效果不佳,甚至需终止治疗。
全身性疾病:矫正的“潜在风险”
糖尿病患者血糖控制不佳时,伤口愈合慢、感染风险高,矫正易导致牙龈增生、牙周脓肿;骨质疏松患者(尤其是长期服用双膦酸盐类药物者)牙齿移动时可能发生“骨坏死”,需谨慎选择矫正方式;妊娠期女性因激素水平变化,牙龈易出血、增生,矫正需避开妊娠前3个月及后3个月。
既往治疗史:矫正的“二次挑战”
曾接受过正畸治疗但复发的患者,或存在既往口腔治疗史(如根管治疗、拔牙、修复)的牙齿,矫正难度显著增加。
复发性错颌:矫正的“重复劳动”
正畸后复发常因保持不当(如不戴保持器)、不良习惯未纠正(如吐舌、咬唇)、牙周支持不足等原因导致,复发患者需先分析复发原因,重新设计矫正方案(如拔牙、加强支抗),治疗时间可能比初次矫正延长30%-50%,且需延长保持时间(终身佩戴保持器)。
根管治疗与牙髓活力异常
根管治疗后的牙齿牙髓坏死,血供不足,牙齿移动时易发生“根吸收”(牙根缩短),需在矫正前拍摄根尖片评估牙根形态,矫正中采用轻力、间歇加力,并定期复查根尖片;若牙髓处于坏死状态(如变色、无活力),需先进行根管治疗,再开始矫正。
表:常见难矫正牙齿类型及难点总结
| 异常类型 | 具体表现 | 矫正难点 |
|---|---|---|
| 严重拥挤 | 牙弓拥挤量>10mm,牙齿重叠 | 需拔牙或扩弓,设计复杂,易出现间隙、面型凹陷 |
| 骨性错颌 | 上下颌骨发育异常(如龅牙、地包天) | 单纯正效效果有限,需联合正颌手术,风险高、费用大 |
| 埋伏牙 | 牙齿完全埋藏于颌骨内 | 需手术开窗、牵引,可能损伤邻牙及重要解剖结构 |
| 重度牙周炎 | 牙槽骨吸收、牙齿松动 | 需先治疗牙周,矫正中需控制力度,易加重骨吸收 |
| 成年人矫正 | 颌骨停止发育、代谢慢 | 牙齿移动速度慢,需评估关节健康,治疗时间长 |
| 复发性错颌 | 正畸后复发,保持不当 | 需分析复发原因,重新设计方案,延长保持时间 |
相关问答FAQs
Q1:成年人矫正一定比青少年难吗?
A1:不一定,但整体难度更高,青少年因处于生长发育期,颌骨改建能力强,牙齿移动速度快,且面部可塑性大,矫正效果更稳定;成年人则因颌骨停止发育、牙槽骨密度高,牙齿移动速度慢,可能伴随牙周病、关节问题等全身或局部因素,需更全面的评估和更精细的方案设计,随着正畸技术(如隐形矫正、微种植体支抗)的发展,成年人矫正已不再是“禁区”,只要牙周健康、配合度高,仍可取得良好效果。
Q2:矫正期间牙周炎发作怎么办?
A2:矫正期间若出现牙周炎(牙龈出血、肿胀、牙槽骨吸收),需立即暂停矫正,及时就诊牙周科,医生会根据炎症程度进行基础治疗(洁治、刮治)或牙周手术(如翻瓣术、骨移植),待牙周炎症控制(探诊出血<2个象限、附着丧失稳定)后再恢复矫正,矫正中需加强口腔卫生维护(如使用冲牙器、牙线、正畸专用牙刷),并缩短复诊间隔(每1-2个月复查牙周情况),避免牙周问题加重影响矫正进程。
