在母亲节这个充满感恩与敬意的特殊日子里,我们总想为母亲挑选一份最贴心的礼物,或许是一束康乃馨,或许是一件新衣,但当我们仔细观察母亲的生活细节时,会发现那些被忽略的“小麻烦”背后,藏着更深的牵挂——比如她日渐松动缺失的牙齿,让她在享受美食时多了几分犹豫,在与人交谈时多了几分拘谨,今年母亲节,不妨将目光投向“种牙”这份“有温度的健康礼物”,用科技的力量帮母亲重拾口福与笑容,让她的晚年生活更有品质、更有滋味。
牙齿缺失:被忽视的“老年健康警报”
牙齿是人体重要的器官,不仅负责咀嚼食物,还参与发音、维持面部轮廓,但现实中,许多母亲因长期缺牙、活动假牙佩戴不适等问题,逐渐减少了社交与外出就餐的频率,甚至因咀嚼困难导致营养吸收不良,影响全身健康,世界卫生组织曾提出“8020计划”,即80岁时应有20颗功能牙(包括假牙),但我国中老年人牙齿缺失率却高达90%以上,其中女性因骨质疏松、激素变化等因素,缺牙问题更为普遍。

牙齿缺失的危害远不止“吃饭不方便”,长期缺牙会导致邻牙倾斜、对颌牙伸长,引发咬合紊乱;牙槽骨因失去刺激而萎缩,面部可能出现“凹陷显老”;咀嚼效率下降还会增加肠胃负担,诱发消化系统疾病,更令人心疼的是,许多母亲为了不麻烦子女,总是默默忍受缺牙的痛苦,甚至用“年纪大了,掉牙正常”来安慰自己,这份隐忍,恰恰让我们更需要关注她们的口腔健康——而种牙,正是目前公认的理想修复方式。
种牙:为何是送给母亲的“健康升级礼”?
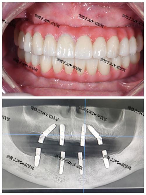
与活动假牙、固定桥等传统修复方式相比,种植牙被誉为“人类的第三副牙齿”,其核心优势在于“独立扎根、功能媲美真牙”,种植牙是通过外科手术将纯钛种植体植入牙槽骨,作为人工牙根,待其与骨组织结合后,再安装牙冠,这一过程不仅能恢复牙齿的咀嚼功能,更能刺激牙槽骨避免萎缩,保护邻牙健康。
对母亲而言,种牙的意义远超“修复牙齿”本身:
- 重拾口福,享受生活:种植牙的咀嚼效率可达90%以上(真牙为100%),母亲可以轻松啃咬苹果、咀嚼坚果,重新品尝儿时最爱的味道,让每一餐都成为幸福的享受。
- 舒适美观,增强自信:与传统假牙相比,种植牙无需磨损邻牙,没有基托卡环异物感,且牙冠形态、颜色可自然匹配邻牙,说话、大笑时无需“捂嘴”,让母亲重拾社交自信。
- 长期耐用,省心省力:若维护得当,种植牙的使用寿命可达20-30年甚至更久,避免了传统假牙3-5年需更换的麻烦,让母亲少跑医院,子女更安心。
母亲节种牙:从“心意”到“落地”的全攻略
若决定在母亲节为母亲送上种牙这份“大礼”,需提前做好规划,让整个过程更顺利、更舒适,以下是关键步骤与注意事项,供参考:

第一步:全面口腔检查,评估种牙条件
并非所有人都能种牙,母亲种牙前需进行详细检查,包括:
- 口腔CT:查看牙槽骨的厚度、密度及高度,这是判断能否种牙的关键(骨量不足时可通过植骨、上颌窦提升等方式改善)。
- 全身健康状况评估:高血压、糖尿病等慢性病患者需病情稳定后再种牙;长期服用抗凝药物的母亲需提前告知医生,调整用药方案。
- 口腔软组织检查:排查牙龈炎、牙周炎等炎症,需先控制炎症再种牙,避免术后感染。
建议选择有“种植专科”资质的医院或口腔机构,医生经验丰富、设备先进(如CBCT、数字化导板种植技术),能精准判断母亲的身体条件,制定个性化方案。
第二步:选择合适的种植技术,兼顾“效果”与“舒适”
针对中老年人牙槽骨条件较差、耐受力弱等特点,可优先考虑以下技术:
- 微创种植技术:利用数字化导板精准定位种植位置,只需切开3-4mm微小切口,不翻瓣、少出血,术后疼痛轻、恢复快,母亲当天即可回家,不影响正常生活。
- 即刻种植/即刻负重:对于牙槽骨条件较好的母亲,可拔牙后立即植入种植体,甚至当天安装临时牙冠,实现“当天种牙、当天用牙”,缩短治疗周期。
- All-on-4半口/全口种植:针对多颗或半口、全口缺牙的母亲,通过植入4颗种植体支撑整排牙冠,避免大量植骨,创伤小、费用相对较低,且恢复后咀嚼功能接近真牙。
不同技术对比:
| 技术类型 | 适用情况 | 优势 | 恢复周期 |
|----------------|------------------------|-------------------------------|----------------|
| 微创种植 | 单颗/多颗缺牙,骨量充足 | 创伤小、疼痛轻、精度高 | 3-6个月 |
| 即刻种植 | 牙槽骨条件好,无急性炎症 | 拔牙即种,缩短等待时间 | 3-4个月 |
| All-on-4 | 半口/全口缺牙,骨量不足 | 少植骨、费用低、恢复快 | 4-6个月 |

第三步:术后精心护理,延长种植牙寿命
种牙成功只是第一步,术后护理同样重要,直接影响种植牙的使用寿命:
- 饮食注意:术后1周内吃温凉、软食(如粥、酸奶、蒸蛋),避免用种植牙咀嚼过硬食物(如骨头、坚果);3个月内避免吃过黏食物(年糕、口香糖)。
- 口腔清洁:每天早晚刷牙,使用牙线、冲牙器清洁种植牙邻面,定期用软毛刷清洁种植体周围,预防牙周炎。
- 定期复查:术后1周、1个月、3个月、6个月需复查,之后每年至少复查1次,医生会检查种植体周围骨状况及牙冠磨损情况,及时处理问题。
第四步:母亲节“仪式感”升级:让关爱更有温度
种牙治疗可能需要多次就诊,不妨将“母亲节种牙”设计成一个充满仪式感的“关爱计划”:
- 提前预约“母亲专属档期”:与医生沟通,在母亲节前后为母亲安排检查或手术,避开工作日,减少奔波。
- 陪伴就诊,减少母亲焦虑:母亲对“看牙”常有恐惧心理,子女全程陪同能给予她安全感,主动与医生沟通病情,帮助母亲理解治疗方案。
- 术后惊喜,记录笑容变化:种牙成功后,带母亲去吃她最想吃的美食,用相机记录她重拾口福的瞬间,将这份“笑容”作为母亲节最珍贵的礼物。
种牙不是“奢侈品”,而是“健康必需品”
有人认为“种牙太贵,是奢侈品”,但换算下来,种植牙每天的成本可能不足一杯奶茶钱,却能伴随母亲十几年甚至几十年,相比之下,因缺牙导致的健康问题(如营养不良、肠胃疾病)所需的医疗费用,远高于种牙投入,更重要的是,当母亲能自由咀嚼、自信微笑时,那份对生活的热爱与幸福感,是任何物质都无法替代的。
让母亲的笑容,从“齿”绽放
母亲节的意义,不仅在于表达感谢,更在于让母亲感受到“被重视、被呵护”,牙齿健康是晚年幸福生活的重要基石,种牙这份礼物,既有科技带来的实用价值,更有子女对母亲健康的深切关怀,这个母亲节,不妨带母亲去做一次口腔检查,为她咨询种牙的可能——或许,这份“有温度的健康礼物”,会成为她收到的最动人的惊喜,让她的笑容,从“齿”绽放,温暖岁月。
相关问答FAQs
Q1:母亲70岁了,有高血压和糖尿病,还能种牙吗?
A:年龄不是种牙的绝对禁忌,关键在于全身健康状况控制是否稳定,若母亲的高血压通过药物控制在140/90mmHg以下,空腹血糖控制在8mmol/L左右,且无严重心、脑、肾并发症,是可以安全种牙的,种牙前需内科医生会诊评估,术中采用微创技术、控制手术时间,术后密切监测血压、血糖,即可降低风险。
Q2:种牙过程会很疼吗?恢复需要多久?
A:现代种植牙技术已非常成熟,手术在局部麻醉下进行,母亲不会感到疼痛,麻醉效果消退后,可能有轻微胀痛或不适,类似于拔牙后反应,通常3-5天缓解,可通过冰敷、服用止痛药缓解,恢复方面,微创种植术后24小时即可恢复正常生活,种植体与牙槽骨结合(骨结合)需3-6个月,期间可佩戴临时牙冠,不影响基本咀嚼和美观。
