我种的牙用了三年多,从最初的忐忑不安到现在的习以为常,这段经历让我对“牙齿”有了全新的认识,缺牙那几年,我总感觉吃饭不香,连笑都小心翼翼,生怕露出牙缝里的尴尬,后来下定决心种牙,从拍CT、植入种植体到戴上牙冠,整个过程像是一场和牙齿的“重生之旅”,而如今,这颗牙早已成为我生活中不可或缺的一部分,每天陪我咀嚼美食、自信微笑。
初期:从“小心翼翼”到“逐渐适应”
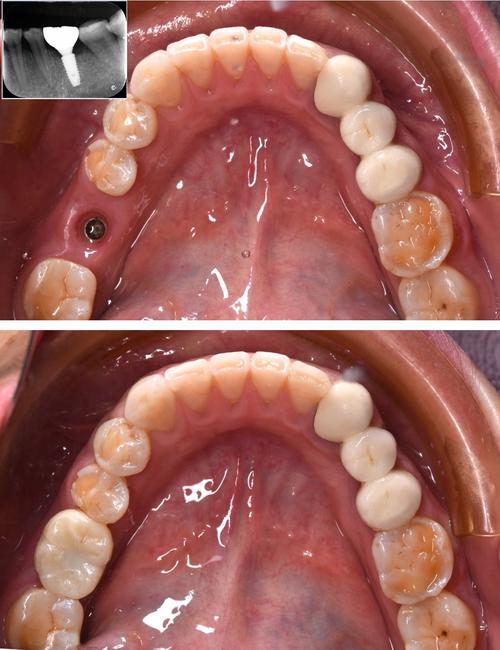
种牙刚完成时,最明显的感觉是“陌生感”,牙冠戴上后,牙齿的位置和原来的真牙略有差异,舌头总忍不住去舔,好像在确认它是不是真的“长”在了牙槽骨里,医生说这是正常现象,毕竟身体需要时间接受这个“外来者”,前两周我吃得格外小心,粥、煮软的面条、蒸蛋羹是主食,连苹果都要切成小块用后牙嚼,生怕磕到种植体。
术后肿胀持续了三四天,虽然比想象中轻,但刷牙时碰到牙龈还是会疼,医生叮嘱不能用牙刷直接刷种植体周围,要用冲牙器配合专用漱口水,每天至少三次,我买了台便携冲牙器,办公室、家里各放一个,饭后的清洁成了雷打不动的习惯——毕竟花了这么多钱,可不能因为感染前功尽弃。
骨结合期是最考验耐心的,医生说种植体要和牙槽骨长牢,大概需要3-6个月,这期间我拒绝了一切坚硬、黏牙的食物,连牛肉干都不敢碰,怕给种植体带来过大的咬合力,有天朋友约吃火锅,看着别人嚼毛肚、嚼鸭血,我只能默默涮青菜,心里虽然馋,但想到“等牙根长结实了天天吃火锅”,也就忍了。

日常:从“替代品”到“真牙般存在”
等到三个月后复查,医生说种植体和牙骨结合得很好,可以正常吃东西了,我简直像解放了一样,第一次吃排骨时,我试探着用种植牙咬了一小口,居然没松也没疼,那一刻突然有种“失而复得”的喜悦——原来缺牙的痛苦,只有经历过才懂。
现在的种植牙,和旁边的真牙几乎没有区别,咀嚼时力度均匀,咬苹果、啃鸡腿都不在话下,甚至觉得比原来的牙更有“劲儿”(可能是心理作用,但医生说种植体的支持力确实比活动假牙好),不过我也没因此“放飞自我”,坚果壳、螃蟹腿这种硬东西还是坚决不碰,毕竟牙冠是陶瓷的,虽然硬度高,但磕到硬物可能会崩瓷。
清洁方面,我养成了“三件套”习惯:早晚用巴氏刷牙法刷种植牙和旁边的真牙,午饭后用冲牙器冲洗牙缝,睡前再用牙线清理一遍,刚开始用牙线时总担心碰到种植体,医生说只要动作轻柔,牙线不会伤害它,现在我已经能熟练操作,甚至觉得比用真牙时更认真——毕竟种植牙没有“神经”,万一出问题可不会疼,只能靠平时维护。
维护:种植牙的“长寿秘诀”
种了牙才知道,它不是“一劳永逸”的,反而需要比真牙更用心,我专门建了个“牙齿维护日历”,记录每次复查的时间(医生建议半年到一年复查一次),把冲牙器的刷头、牙线定期换新,连牙膏都选了含氟的,预防邻龋。
有次出差忘带冲牙器,用普通牙刷随便刷了两天,回来后总觉得牙龈有点胀,复查时医生说是因为牙缝里有食物残渣没清干净,引发了轻微的牙龈炎,从那以后,不管多忙,我都带着便携冲牙器,哪怕在酒店用矿泉水冲一下,也比不清洁强。
医生还提醒我,要关注全身健康,我有轻度牙周炎,以前定期洗牙,现在洗牙时会特别告诉医生“这里有种植牙”,医生会用更温和的器械清理,避免损伤种植体,如果血糖不稳定(我是糖尿病患者),也会先控制血糖再处理牙齿问题,因为高血糖会影响骨结合,甚至导致种植体松动。
长期:用得越久,越懂“珍惜”
用了三年多,种植牙的状态一直很好,牙冠没有变色,牙龈也没有萎缩,有次朋友问我“种牙值不值”,我毫不犹豫地说“值”——以前吃饭只能囫囵吞枣,现在能尝出食物的香味;以前拍照总抿嘴,现在敢露齿笑,这些改变,是金钱买不来的生活质量。
我也见过有人种牙后出问题:邻牙没保护好蛀了,或者清洁不到位导致种植体周围炎,最后只能把种植体取出,所以每次复查,医生都会强调“维护比手术更重要”,现在我深有体会:种植牙就像“种在牙槽骨里的螺丝钉”,需要定期“保养”,才能用得更久。
种植牙使用不同阶段注意事项表
| 时间阶段 | 重点事项 | 具体操作 |
|---|---|---|
| 术后1-2周 | 控制肿胀、避免感染 | 饮食以流食/软食为主,避免刷牙触碰种植区,用漱口水+冲牙器清洁,遵医嘱用药。 |
| 术后1-3个月(骨结合期) | 促进种植体与牙槽骨结合,避免过大咬合力 | 进食软质食物,不用种植牙咬硬物,戒烟限酒,定期复查确认骨结合情况。 |
| 术后3个月以上 | 正常使用,长期维护 | 恢复正常饮食(避免过硬/黏食),每日使用牙刷+冲牙器+牙线清洁,半年到一年复查一次。 |
相关问答FAQs
Q1:种植牙到底能用多久?是不是用几年就会坏?
A:种植牙的寿命受多种因素影响,临床数据显示,如果维护得当,种植牙使用10年以上的成功率超过90%,不少患者能用20年以上甚至终身,关键在于日常清洁(避免种植体周围炎)、定期复查(及时发现牙冠磨损、骨吸收等问题)以及全身健康(如控制糖尿病、避免吸烟),我的医生说,我的种植体状态很好,只要每年复查,牙冠磨损了可以更换,种植体本身能用很久。

Q2:种植牙后可以正常吃硬的食物吗?比如坚果、螃蟹腿?
A:不建议直接用种植牙啃咬过硬食物,虽然种植体的支持力强,但牙冠(通常是陶瓷或全瓷材质)硬度有限,咬坚果壳、螃蟹腿可能导致崩瓷或牙冠损坏,如果想吃这类食物,建议用手掰成小块,用后牙咀嚼,避免种植牙单独受力,黏牙的食物(年糕、口香糖)也要少碰,容易粘在牙冠上,清洁不当可能滋生细菌。

