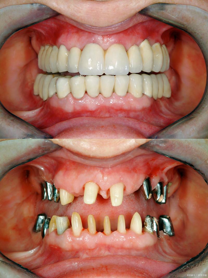
种植牙作为牙齿缺失的重要修复方式,凭借良好的咀嚼功能和美观性受到广泛认可,但部分患者会出现“种完牙不密合”的情况,即种植牙与周围牙龈、邻牙或对颌牙之间存在缝隙,不仅影响美观和咀嚼体验,还可能引发口腔健康问题,本文将详细分析种植牙不密合的常见原因、影响、处理方法及预防措施。
种植牙不密合的表现形式多样,主要包括:种植体与牙龈交界处出现缝隙,导致食物嵌塞和牙龈红肿;牙冠与邻牙之间存在间隙,影响邻牙稳定性和发音;修复体与对颌牙咬合时接触不良,出现早接触或咬合空隙,长期可能引发颞下颌关节不适,其发生并非单一因素导致,而是多环节问题叠加的结果。

种植牙不密合的常见原因
-
术前设计与评估不足
种植牙的成功始于精准的术前规划,若术前未通过CBCT、口扫等手段充分评估牙槽骨的厚度、高度、密度,或忽视邻牙倾斜度、对颌牙咬合关系,可能导致种植体植入位置、角度或深度偏差,种植体植入过近邻牙,会导致牙冠与邻牙间隙过大;植入角度倾斜,则可能使牙冠与牙龈无法紧密贴合,出现“黑三角”。 -
手术操作不当
手术环节的技术误差直接影响种植体与骨组织的结合,若种植窝洞预备时直径过大或过小,导致种植体与骨壁间存在间隙;或植入时扭矩不足,种植体与骨组织未能初期稳定,术后可能出现微动,进而影响牙龈封闭效果,种植体平台位置低于或高于牙槽骨�顶,也会导致牙龈与种植体衔接处不密合。 -
修复体制作精度问题
修复体是种植牙的“外衣”,其制作精度直接关系到密合度,传统取模过程中,印模材料收缩、变形或技工加工误差,可能导致基台与种植体连接不紧密,或牙冠与基台间出现微缝隙,数字化修复虽提升了精度,但若扫描数据不准确(如未完全就位、牙龈受压过度),同样会导致修复体密合度不足。 -
患者自身因素
个体差异是不可忽视的原因,部分患者牙槽骨条件较差(如骨量不足、骨质疏松),术后骨吸收不均匀,导致种植体周围支持组织变化,出现缝隙;不良口腔习惯(如夜磨牙、咬硬物)可能长期导致修复体或种植体移位,破坏密合性;吸烟、糖尿病等全身因素也可能影响牙龈愈合,降低牙龈与种植体的封闭能力。
(图片来源网络,侵删)
种植牙不密合的影响
- 口腔健康风险
缝隙易成为食物残渣和细菌的“藏身地”,长期堆积会引发种植体周围炎,表现为牙龈出血、牙周袋形成、骨吸收,严重时甚至导致种植体松动脱落。 - 功能与美观受损
前牙区缝隙直接影响微笑美观,降低患者自信心;后牙区咬合密合不良会导致咀嚼效率下降,长期可能引发颞下颌关节紊乱(如关节弹响、疼痛)。 - 修复体寿命缩短
受力不均的咬合会加速修复体磨损、螺丝松动,甚至导致基台折断,增加修复失败风险。
种植牙不密合的处理方法
针对不同程度的不密合,需采取个体化处理方案:
| 不密合类型 | 处理建议 |
|---|---|
| 轻度牙龈缝隙(<1mm) | 牙周基础治疗(洁治+刮治),引导牙龈重塑;使用牙周塞治剂保护创面,促进愈合。 |
| 修复体边缘不密合 | 拆除修复体,重新取模(推荐数字化印模),确保基台与种植体、牙冠与基台密合度。 |
| 咬合空隙或早接触 | 调颌磨改,消除早接触点;必要时重新制作修复体,优化咬合曲线。 |
| 种植体位置严重偏差 | 若骨条件允许,手术修正种植体角度;若骨量不足,需植骨后重新植入种植体。 |
预防措施
- 强化术前规划:借助CBCT、口扫等数字化设备,精准评估骨量、咬合关系,设计个性化种植方案。
- 规范手术操作:由经验丰富的医生实施手术,确保种植体植入位置、角度、深度符合生物力学要求,保证初期稳定性。
- 提升修复精度:优先选择数字化取模和CAD/CAM修复技术,减少加工误差,确保修复体与种植体高度密合。
- 加强术后维护:指导患者使用牙线、冲牙器清洁缝隙,定期复查(建议每6个月1次),及时处理牙龈炎等早期问题。
相关问答FAQs
Q1:种植牙不密合一定会导致失败吗?
A:不一定,轻度不密合(如微小牙龈缝隙)可通过牙周治疗和密切观察控制,不影响长期使用;但若出现修复体松动、骨吸收等严重问题,不及时处理可能导致种植体失败。
Q2:如何判断自己的种植牙是否密合?
A:日常可观察是否有食物频繁嵌塞、牙龈红肿出血;咬合时感觉牙冠晃动或咬合不适;照镜子检查牙冠与邻牙、牙龈间是否有明显缝隙,若出现以上情况,需及时就医检查密合度。
种植牙不密合虽是常见问题,但通过精准的术前设计、规范的操作流程、精细的修复制作及科学的术后维护,可有效降低其发生风险,患者一旦发现异常,应及时与医生沟通,避免小问题演变成大麻烦,从而保障种植牙的长久使用。

