正畸治疗中,支抗钉(又称微种植钉、骨钉)是常用的辅助工具,但并非所有患者都需要使用,它是否必要,取决于具体的牙齿问题、正畸目标以及患者的口腔条件,需由专业医生根据个体情况综合判断。
支抗钉的作用:正畸中的“精准控制工具”
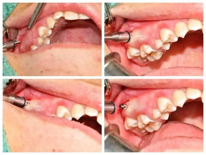
支抗钉是一种直径约1.5-2mm、长度6-12mm的微型钛种植体,通过植入牙槽骨内,为牙齿移动提供稳定的“支抗点”,传统正畸中,牙齿移动常依赖“牙齿之间的相互支撑”(如磨牙作为支抗),但这种支抗可能不够稳定,尤其在需要大幅移动牙齿时(如内收前牙、压低牙齿等),容易出现支抗牙移位(如磨牙前移),影响最终效果,支抗钉的优势在于:它直接与骨组织结合,提供“绝对支抗”,能精准控制牙齿移动方向和程度,避免不必要的牙齿代偿,让治疗更高效、结果更可控。

并非“都要打”:哪些情况可能需要支抗钉?
支抗钉主要用于需要“强支抗”或“精准控制”的复杂病例,常见情况包括:
- 前牙严重前突或深覆颌:需要内收前牙关闭拔牙间隙时,若不加强支抗,磨牙可能向前移位,导致前牙内收不足、面型改善不佳,此时植入支抗钉(如上颌后牙区或下颌后牙区),可稳定磨牙,确保前牙充分内收。
- 纠正中线偏斜:当上下颌中线偏差较大(如>2mm),需单侧移动牙齿时,支抗钉可作为“支抗点”,精准推动或拉动牙齿至正确位置,避免影响对侧牙齿。
- 压低伸长的牙齿:因个别牙齿伸长导致的“露龈笑”“深覆颌”或“开颌”,传统矫正器难以精准压低,支抗钉可直接作用于伸长牙牙根,将其压低至正常位置,改善咬合和面下1/3高度。
- 骨性问题的辅助矫正:如轻度骨性上颌前突、下颌后缩等,非手术正畸中,支抗钉可配合牵引装置,改变颌骨相对位置,改善面型(需严格评估适应症)。
- 牙量不匹配的调整:上下颌牙齿数量或大小差异较大时,支抗钉可为“小颌”提供额外支抗,协调牙弓长度,避免咬合紊乱。
哪些情况通常不需要支抗钉?
并非所有正畸都需要支抗钉,简单病例或可通过传统方法解决的,通常无需植入:
- 轻度牙列拥挤/不齐:仅需少量排齐牙齿,利用现有支抗(如磨牙)即可完成,无需额外加强支抗。
- 简单的深覆盖/深覆颌:通过拔牙、调整磨牙位置或使用平导、摇椅弓等传统方法可改善,无需支抗钉。
- 青少年早期矫正:如混合牙列期的轻度拥挤、颌骨发育问题,可能使用活动矫治器、功能矫治器等,无需植入支抗钉。
- 对支抗钉有强烈恐惧或禁忌症:如严重骨质疏松、出血性疾病、局部有炎症或肿瘤等患者,或无法接受植入手术的心理抗拒者,医生会选择替代方案。
不同情况是否需要支抗钉的参考
以下表格总结了常见牙齿问题与支抗钉的关联性,供初步参考:
| 牙齿问题类型 | 是否常见需支抗钉 | 原因说明 |
|---|---|---|
| 前牙严重前突+拔牙矫正 | 是 | 需强支抗防止磨牙前移,确保前牙充分内收 |
| 轻度牙列拥挤(无需拔牙) | 否 | 利用现有支抗排齐,无需额外加强 |
| 中线明显偏斜(>2mm) | 是 | 精准移动单侧牙齿,纠正中线,避免影响对侧 |
| 个别牙齿伸长导致露龈笑 | 是 | 直接压低伸长牙,传统方法效果有限 |
| 青少年早期骨性颌骨发育异常 | 否 | 多用功能矫治器引导发育,无需植入支抗钉 |
| 上下颌牙量轻度不匹配 | 可能需 | 根据不匹配程度,若需调整牙弓长度,可能需支抗钉辅助 |
医生如何判断“是否需要支抗钉”?
是否植入支抗钉,需医生通过全面检查评估:

- 临床检查:牙齿拥挤度、咬合关系、中线偏差、磨牙位置等;
- 影像学检查:X光片(全景片、头颅侧位片)评估牙根位置、牙槽骨厚度、骨骼类型;
- 正畸目标:患者是否需要拔牙、改善面型、纠正咬合等复杂目标;
- 患者因素:年龄、口腔卫生状况、全身健康状况(如是否有骨质疏松)、治疗依从性等。
支抗钉的替代方案:并非“唯一选择”
即使需要加强支抗,也有替代方法,如:
- 传统颌间牵引:使用橡皮筋在上下颌牙齿间施加牵引力,但依赖患者配合,效果易受影响;
- 头帽口外弓:通过头部固定装置提供支抗,但需患者每天佩戴12小时以上,舒适度差;
- 腭杆/舌弓:通过连接两侧磨牙的金属装置增强支抗,但可能影响口腔舒适度和清洁。
这些方法在简单病例中有效,但对复杂病例的控制精度不足,而支抗钉因“微创、精准、高效”成为更优选择,但需医生根据患者情况权衡。
支抗钉是“工具”,不是“必需品”
正畸是否需要打支抗钉,核心取决于“牙齿移动的需求”和“支抗控制的难度”,简单病例可能无需使用,而复杂病例中,支抗钉是确保治疗效果的关键工具,但需注意,支抗钉虽优势明显,也存在一定风险(如感染、松动、损伤牙根等),需由经验丰富的医生规范操作,最终是否使用,应在全面检查后,与医生充分沟通治疗方案,根据个体需求决定。
相关问答FAQs
Q1:打支抗钉会很疼吗?
A1:打支抗钉时会在局部麻醉下进行,过程类似补牙,多数人只有轻微酸胀感,术后1-2天内可能有轻微疼痛或不适,通常可通过止痛药缓解,一般不影响正常生活,医生会根据患者敏感度调整麻醉剂量,尽量减少疼痛。
Q2:支抗钉在使用中松动了怎么办?
A2:支抗钉松动(如晃动、脱落)多因初期负载过大、植入位置不佳或口腔卫生不佳导致,若发现松动,需及时复诊,医生会评估松动原因:若松动轻微且位置稳定,可调整加力方式继续使用;若完全脱落或位置不佳,需拔除后等待1-2个月,在合适位置重新植入,重新植入后通常不影响整体治疗进程,但需加强口腔护理,避免感染。

