上海交通大学医学院附属第九人民医院(简称“九医院”)是国内口腔医学领域的标杆单位,其口腔种植科更是以精湛的技术、前沿的设备和个性化的治疗方案,成为众多缺牙患者修复的首选,种牙作为一项精密的口腔修复技术,九医院从术前评估到术后维护,形成了标准化的诊疗流程,旨在为患者提供兼具功能性与美观性的修复效果。
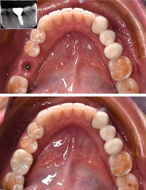
种牙的核心在于将医用种植体植入牙槽骨,作为人工牙根支持上部牙冠,从而恢复咀嚼功能与面部美观,九医院的种牙流程严格遵循医疗规范,通常分为术前检查、方案设计、手术植入、修复戴牙及术后维护五个阶段,术前检查是关键,医生会通过口腔CT、曲面断层片等影像学检查,评估患者的牙槽骨高度、密度及厚度,同时结合全身健康状况(如糖尿病、高血压等慢性病控制情况)判断种植可行性,对于骨量不足的患者,九医院还能开展植骨、骨增量等技术,为种植创造条件,方案设计阶段,医生会根据患者缺牙位置、咬合关系及美学需求,选择合适的种植体品牌(如瑞典Nobel、瑞士Straumann等)和牙冠材料(全瓷、烤瓷等),并通过数字化导板技术精准规划种植位置、角度及深度,降低手术风险。

手术过程在严格无菌环境下进行,通常采用局部麻醉,创伤小、疼痛感轻,医生会逐级备洞后将种植体植入牙槽骨,缝合创口后进入愈合期(一般为3-6个月),期间种植体会与骨组织结合(骨整合),待骨整合完成后,安装愈合基台,再取模制作牙冠,最后完成戴牙,整个过程中,九医院注重微创理念,尽量减少对周围组织的损伤,同时利用数字化技术实现精准种植,缩短手术时间,提升患者舒适度。
为让患者更直观了解不同种植技术的差异,以下通过表格对比传统种植与数字化即刻种植的特点:
| 对比项 | 传统种植 | 数字化即刻种植 |
|---|---|---|
| 技术特点 | 依赖医生经验,手工定位 | 基于CT数据设计导板,精准导航 |
| 精准度 | 较易偏差(±1-2mm) | 误差控制在±0.5mm内 |
| 手术时间 | 60-90分钟 | 30-50分钟 |
| 恢复周期 | 需3-6个月骨整合后修复 | 部分病例可当天戴临时牙冠 |
| 适用情况 | 骨条件良好,无复杂病例 | 骨量轻度不足、前牙美学区修复 |
在价格方面,九医院种牙费用因种植体品牌、牙冠材料及是否需要植骨等因素有所差异,进口种植体(如Straumann)单颗费用约1.5万-3万元,国产种植体约8000-1.5万元,全瓷牙冠比烤瓷牙冠贵2000-5000元,虽然初期投入较高,但种植牙的使用寿命可达10-20年甚至更长,长期性价比优于活动假牙。
术后护理同样重要,患者需避免进食过硬、过黏食物,保持口腔卫生(使用牙线、冲牙器清洁种植体周围),并遵医嘱定期复查(术后1周、1个月、3个月及每年一次),九医院会为患者建立终身档案,提供持续的维护指导,确保种植牙长期稳定使用。

相关问答FAQs
Q:九医院种牙需要多长时间?
A:种牙总时长因人而异,单纯骨条件良好的患者,从检查到戴牙完成约需3-6个月(含3-6个月骨整合期);若需植骨或骨增量,则延长至6-9个月;数字化即刻种植技术可缩短周期,部分病例可实现当天种牙、当天戴临时冠。
Q:种牙后能用多久?会影响邻牙吗?
A:种植牙的使用寿命与患者自身维护、口腔卫生及材料质量相关,九医院采用的进口种植体临床成功率高达95%以上,若定期复查、正确使用,多数可使用20年以上,与传统固定桥不同,种植牙无需磨损邻牙,独立植入牙槽骨,不会对邻牙造成负担,更利于口腔健康。

