拔牙和种牙是口腔修复领域中两项紧密关联的治疗技术,前者针对无法保留的患牙进行拔除,后者则是通过植入人工牙根修复缺失牙功能,两者协同作用能帮助患者恢复完整的口腔健康与咀嚼功能,以下从拔牙与种牙的适应症、操作流程、注意事项及优势等方面展开详细说明。
拔牙:口腔治疗的“止损”手段
拔牙并非首选方案,当牙齿因严重病变无法通过根管治疗、充填等方式保留时,拔牙是控制感染、避免邻牙受损的必要措施,常见的拔牙适应症包括:重度龋坏导致牙体大面积缺损、牙周病导致牙槽骨吸收松动、阻生智齿引发冠周炎或邻牙龋坏、正畸治疗需要解除牙齿拥挤等。

拔牙流程详解
拔牙前需进行全面口腔检查,通过X光片或CBCT评估牙根形态、邻牙关系及牙槽骨状况,对于高血压、心脏病患者需监测血压、心功能,糖尿病患者需控制血糖,术中采用局部麻醉,确保无痛操作,医生通过挺松、旋转或微创器械(如拔牙挺)将牙齿完整拔除,对于复杂阻生牙可能需切开牙龈、去除部分骨组织,术后医生会在拔牙窝放置止血棉,指导患者咬紧压迫止血30分钟。
拔牙后护理要点
术后24小时内避免漱口、吐口水或吮吸伤口,防止血凝块脱落引发“干槽症”(一种因拔牙窝感染导致的剧烈疼痛),饮食宜温凉、软质,避免用患侧咀嚼,可遵医嘱服用抗生素预防感染,若术后3天仍有剧烈疼痛、肿胀或出血不止,需及时复诊。
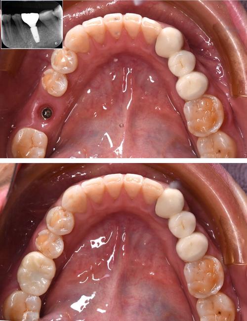
种牙:缺失牙的“永久性”修复方案
种牙即种植义齿修复,通过外科手术将纯钛种植体植入牙槽骨,作为人工牙根,待种植体与骨组织结合(骨结合)后,安装基台和牙冠,模拟天然牙的结构与功能,相比活动义齿、固定桥等传统修复方式,种牙具有不损伤邻牙、咀嚼效率高、美观自然等优势,被誉为“人类的第三副牙齿”。
种牙的核心步骤与周期
种牙需分阶段完成,周期通常为3-6个月:

- 术前评估:通过CBCT测量牙槽骨厚度、高度,判断是否需要植骨(骨量不足时,需先进行骨增量手术,等待3-6个月骨愈合后再种牙)。
- 种植体植入:在局部麻醉下切开牙龈,逐级备洞后将种植体植入牙槽骨,缝合伤口,术后拍摄X光片确认位置。
- 骨结合期:种植体与骨组织结合需3-6个月,期间避免种植区受力,可佩戴临时义齿过渡。
- 基台与牙冠安装:骨结合完成后,安装基台,取模制作牙冠(全瓷冠、金属烤瓷冠等),试戴调整后粘固完成。
种牙材料与选择
- 种植体:主流为纯钛或钛合金生物相容性材料,表面处理技术(如喷砂酸蚀、SLA表面)可促进骨结合,品牌如瑞典Nobel、瑞士Straumann等临床应用成熟。
- 牙冠:全瓷冠美观度高,适合前牙区;金属烤瓷冠强度高,适合后牙区,但金属可能引起牙龈黑线,目前逐渐被全瓷替代。
种牙的长期维护
种牙后需保持口腔卫生,使用牙线、冲牙器清洁种植体周围,定期复查(每年1-2次),专业医生会检查种植体稳定性、牙周健康情况,吸烟、糖尿病可能影响骨结合,需戒烟、控制血糖以延长种植体使用寿命(通常可维持10-20年,维护得当者可达终身)。
拔牙与种牙的衔接:时机与注意事项
拔牙后并非立即种牙,需等待拔牙窝愈合(通常3-6个月),待牙槽骨稳定后再行种植,对于前牙区美观要求高、骨条件良好的患者,可选择“即刻种植”(拔牙后立即植入种植体),减少治疗周期;对于复杂病例(如骨量严重不足),可能需先植骨,待骨成熟后再种牙。
拔牙与种牙流程对比表
| 项目 | 拔牙 | 种牙 |
|----------------|-----------------------------------|-----------------------------------|
| 核心目的 | 去除病灶牙,防止感染扩散 | 修复缺失牙,恢复咀嚼与美观功能 |
| 适应症 | 重度龋坏、牙周病、阻生智齿等 | 单颗/多颗牙缺失、半口/全口牙缺失 |
| 操作周期 | 单次治疗(30分钟-2小时) | 3-6个月(分阶段) |
| 术后恢复 | 1-2周软组织愈合 | 3-6个月骨结合,终身维护 |
| 风险 | 干槽症、感染、神经损伤(罕见) | 种植体失败、骨吸收、基台松动 |
拔牙与种牙的协同价值
拔牙是口腔治疗的“止损”环节,为后续修复创造条件;种牙则是功能与美观的“重建”手段,两者结合能从根本上解决牙齿缺失问题,恢复口腔健康,选择正规医疗机构和经验丰富的医生,严格遵循术前评估、术中操作及术后维护规范,是确保治疗效果的关键,随着微创拔牙、数字化种植技术的发展,拔牙与种牙的舒适度和成功率已显著提升,为患者提供了更可靠的口腔修复选择。

相关问答FAQs
Q1:拔牙后多久可以种牙?是否可以“即拔即种”?
A:拔牙后一般需等待3-6个月,待拔牙窝骨组织愈合、牙槽骨稳定后再种牙。“即拔即种”适用于前牙区骨条件良好、无急性感染的患者,可缩短治疗周期,但需严格评估适应症,并非所有情况都适用,对于后牙区骨量不足的患者,可能需先植骨,待骨愈合后再种牙,周期更长。
Q2:种牙后能用多久?会影响邻牙吗?
A:种牙的使用寿命与个人维护、口腔健康状况、材料质量密切相关,若保持良好口腔卫生(定期刷牙、使用牙线、戒烟)、定期复查,种植体可使用10-20年,甚至更久,与传统固定桥需磨小邻牙不同,种牙独立植入牙槽骨,不损伤邻牙,且咀嚼功能接近天然牙,能有效保护邻牙免受咬合力负担。
