牙齿缺失是中老年人常见的口腔问题,不仅影响美观和咀嚼功能,还可能导致邻牙倾斜、牙槽骨吸收、面部凹陷等一系列连锁反应,修复牙齿缺失的方式多样,其中种植支持的活动义齿(简称“种牙活动义齿”)作为一种兼顾稳固性与便捷性的修复方案,逐渐成为半口或全口牙缺失患者的优选,它巧妙结合了种植体与活动义齿的优点:通过种植体提供类似天然牙根的稳固支撑,同时保留活动义齿可摘戴的特性,既解决了传统活动义齿易松动、咀嚼效率低的痛点,又避免了全口种植的高昂费用,在临床应用中展现出独特优势。
种牙活动义齿的核心优势
种牙活动义齿的核心在于“双重支持”机制——种植体直接植入牙槽骨,通过“骨结合”(种植体与牙槽骨紧密融合)形成“人工牙根”,为活动义齿提供强大的固位力;活动义齿基托则通过附着体(如杆卡、球帽等)与种植体连接,分散咬合力,保护口腔软硬组织,这种设计使其具备多重优势:

一是固位力显著提升,传统活动义齿依靠卡环和基托的吸附力固位,在说话、咳嗽或进食时易出现松动、脱落,尤其当牙槽骨吸收严重时,固位效果更差,而种牙活动义齿的种植体深入骨内,固位力可达传统义齿的3-5倍,患者无需担心义齿移位,社交和进食时更自信。
二是咀嚼功能恢复更佳,天然牙的咬合力通过牙根传递至牙槽骨,而传统活动义齿的咬合力由黏膜和余牙承担,长期易导致黏膜压痛、余牙负荷过大,种牙活动义齿的种植体模拟天然牙根的生理支持,咬合力可直接传导至牙槽骨,义齿受力更接近天然牙,可恢复70%-90%的咀嚼效率,患者能正常咀嚼坚果、肉类等较硬食物,营养吸收更充分。
三是减少口腔组织损伤,传统活动义齿的基托大面积覆盖黏膜,长期压迫易导致压痛、溃疡,甚至加速牙槽骨吸收(牙槽骨缺乏生理刺激会萎缩),种牙活动义齿通过种植体分担大部分咬合力,基托面积可缩小30%-50%,降低对黏膜的压力,同时刺激牙槽骨,延缓吸收,维持口腔颌面部的正常形态。
四是适用范围广,对于牙槽骨条件不足(如骨量少、骨密度低)或余牙无法作为基牙(如松动、龋坏)的患者,传统活动义齿可能无法适配,而种牙活动义齿仅需植入2-4颗种植体即可获得良好支持,无需进行复杂的骨增量手术;对于经济预算有限、无法承受全口种植(需植入6颗以上种植体)的患者,种牙活动义齿是性价比更高的选择。

五是维护便捷,活动义齿可摘戴,便于日常清洁(可用牙刷、牙膏或义齿清洁剂刷洗),种植体周围也易于使用专用牙线、冲牙器清洁,降低菌斑堆积风险,预防种植体周围炎(种植体常见的并发症),相比固定义齿(如种植牙冠),无需担心邻牙磨损,口腔卫生维护更简单。
种牙活动义齿的适用人群
种牙活动义齿并非“万能修复方案”,其适应症需结合口腔条件、全身健康状况及患者需求综合判断,主要适用于以下人群:
- 半口或全口牙缺失患者:尤其下颌牙槽骨吸收严重、传统活动义齿固位不佳者,通过种植体支撑可显著提升义齿稳定性。
- 多颗牙缺失且余牙条件差者:若剩余牙齿松动、龋坏或缺失过多,无法为传统活动义齿提供足够固位力,种植体可作为理想的“支撑点”。
- 牙槽骨条件有限者:对于牙槽骨骨量不足、骨密度低,无法承受全口种植的患者,植入少量种植体即可满足修复需求,避免骨增量手术带来的创伤和额外费用。
- 对修复效果要求高者:希望改善传统活动义齿松动、异物感强、咀嚼效率低等问题,追求更接近天然牙修复效果的患者。
- 全身健康状况良好者:无严重系统性疾病(如未控制的糖尿病、骨质疏松、凝血功能障碍、严重心脏病等),能耐受种植手术者,若存在慢性疾病,需在病情稳定后由医生评估是否适合种植。
种牙活动义齿的常见类型
根据附着体结构(连接种植体与义齿的部件)的不同,种牙活动义齿可分为多种类型,临床需根据患者牙槽骨条件、咬合情况及需求选择:
杆卡式附着体支持
- 结构:在种植体上方连接金属杆(横跨多个种植体),义齿底部设置与杆卡合的卡环,通过卡环与杆的摩擦力固位。
- 优势:固位力强(3-5N),稳定性高,适合牙槽骨条件较好、咬合力较大的患者(如下颌半口缺失)。
- 局限性:金属杆可能暴露于口腔前庭,影响美观;对种植体植入平行度要求高(若种植体角度偏差大,杆无法顺利连接);清洁时需特别注意杆下方菌斑堆积。
球帽式附着体支持
- 结构:种植体顶部安装球形基台,义齿内对应位置设置阴性帽状结构,通过球与帽的卡合产生固位力。
- 优势:结构简单,体积小,异物感轻;对种植体平行度要求较低(允许一定角度偏差);易于清洁,适合牙槽骨条件一般、对异物感敏感者。
- 局限性:长期使用后球帽可能磨损,需定期更换(通常3-5年);固位力中等(2-3N),不适用于咬合力过大的患者。
磁性附着体支持
- 结构:种植体顶部嵌入永磁体,义齿内对应位置设置耐腐蚀的磁性固位体(如钐钴合金),通过磁力吸附固位。
- 优势:异物感极轻,几乎无金属暴露,美观性好;对种植体平行度要求低,适合牙槽骨条件较差或颌间距离(牙齿垂直距离)较小的患者。
- 局限性:固位力较弱(1-2N),仅适用于咬合力较小的患者(如下颌全口缺失且牙槽骨吸收严重者);磁体易受磁场干扰(如核磁共振检查前需拆除)。
Locator 附着体支持
- 结构:由阳性的种植体基台(锥形)和阴性的义齿内衬(弹性材料)组成,通过锥度结构产生摩擦力和负压固位。
- 优势:固位力可调(通过更换不同硬度的内衬,2-4N),适应不同咬合需求;维护方便(内衬磨损后可单独更换,无需重做义齿);对种植体植入角度适应性强,是目前临床应用最广泛的类型之一,尤其适合全口牙缺失患者。
- 局限性:内衬弹性材料易老化(通常2-3年需更换),长期使用成本较高;初期可能存在轻微异物感,适应后可消失。
种牙活动义齿的治疗流程
种牙活动义齿的治疗需口腔外科、修复科、技工室多学科协作,通常需3-6个月完成,具体流程如下:

术前检查与评估
- 口腔检查:检查牙齿缺失情况、余牙健康度、牙龈状态、咬合关系等。
- 影像学检查:拍摄口腔CBCT(锥形束CT),测量牙槽骨高度、厚度、密度,评估种植区骨条件,排除颌骨病变(如囊肿、肿瘤)。
- 全身检查:测量血压、血糖、凝血功能等,排查手术禁忌症(如未控制的高血压、糖尿病、心脏病等),若有吸烟史,需告知医生(吸烟会影响骨结合,增加种植失败风险)。
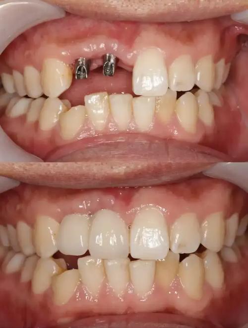
种植体植入术
- 麻醉:局部麻醉(利多卡因等),手术过程中患者无疼痛感。
- 植入种植体:切开牙龈,暴露牙槽骨,逐级使用钻头备洞(直径与种植体匹配),将纯钛或钛合金种植体植入骨内,缝合牙龈。
- 术后处理:术后24小时内避免手术区刷牙、漱口,可冰敷面部减轻肿胀;遵医嘱服用抗生素(如阿莫西林)预防感染,7-10天拆线。
骨结合期
种植体植入后需与牙槽骨形成“骨结合”(种植体表面与骨组织直接接触),这是种植体成功的关键,通常需3-6个月(下颌骨结合速度较上颌快,因上颌骨骨质较疏松),期间避免种植体受力(如用手术侧咀嚼),定期复查(术后1个月、3个月)检查骨愈合情况。
基台连接与取模
骨结合完成后,切开牙龈,连接“愈合基台”(引导牙龈成型),1-2周后牙龈形成袖口状,取下愈合基台,安装“取模基台”,用硅橡胶或藻酸盐取印模,送技工室制作义齿。
义齿制作与试戴
技工室根据印模制作活动义齿(基托材料通常为PMMA树脂或钴铬合金),并安装对应的附着体(如杆卡、球帽等),试戴时检查:
- 义齿密合度(基托与黏膜是否贴合,有无压痛);
- 咬合关系(有无早接触、咬合干扰);
- 固位力(义齿是否松动,摘戴是否顺畅)。
调整后抛光,完成最终修复。
定期复查
戴牙后1个月、3个月、6个月复查,之后每年复查1-2次,复查内容包括:种植体周围健康(探诊深度、出血指数,有无红肿、溢脓)、义齿磨损情况、附着体松紧度等,及时发现并处理问题(如种植体周围炎、附着体磨损)。
种牙活动义齿的日常维护要点
种牙活动义齿的长期效果与患者日常维护密切相关,需注意以下事项:
口腔卫生维护
- 种植体周围清洁:每天使用专用牙线(如种植体专用牙线)或冲牙器清洁种植体周围,避免菌斑堆积导致种植体周围炎(主要表现为牙龈红肿、出血、骨吸收,严重时种植体松动脱落)。
- 义齿清洁:可摘下义齿,用牙刷、牙膏刷洗基托和人工牙,或用义齿清洁剂(如义齿泡腾片)浸泡(浸泡时间不超过10分钟,避免材料老化);避免使用含酒精或腐蚀性的清洁剂(如含漂白成分的牙膏),以免损坏义齿材料。
- 余牙清洁:若口腔内有剩余牙齿,需正常刷牙(含氟牙膏)、使用牙线,预防龋坏和牙周炎。
饮食与习惯调整
- 饮食:戴牙初期(1-2周)以软食为主(如粥、面条、蒸蛋),逐渐过渡到正常饮食;避免咬硬物(如坚果、螃蟹壳、骨头)、黏性食物(如年糕、口香糖),防止义齿或附着体损坏。
- 习惯:戒烟(吸烟会降低骨结合成功率,增加种植体周围炎风险);避免夜磨牙(若存在夜磨牙,需佩戴夜颌垫保护种植体和义齿);不要用义齿咬开酒瓶盖等硬物,以免导致种植体或附着体折裂。
定期复查与维护
- 复查频率:戴牙后前6个月每3个月复查1次,之后每6个月复查1次,每年需拍摄一次口腔X光片,检查种植体周围骨吸收情况。
- 附着体维护:附着体长期使用后可能磨损(如球帽、Locator内衬),需定期更换(通常2-3年);若义齿基托折裂、人工牙脱落,需及时修复或重做,避免影响使用。
不同类型附着体支持的种牙活动义齿对比
为更直观了解各类种牙活动义齿的特点,以下通过表格对比其关键参数:
| 类型 | 固位力 | 适用情况 | 优势 | 局限性 |
|---|---|---|---|---|
| 杆卡式 | 强(3-5N) | 牙槽骨条件好,咬合力大者(如下颌半口) | 稳定性强,咀嚼效率高 | 对种植体平行度要求高,可能影响美观 |
| 球帽式 | 中(2-3N) | 牙槽骨条件一般,对异物感敏感者 | 结构简单,易清洁 | 长期使用易磨损,需定期更换 |
| 磁性附着体 | 弱(1-2N) | 牙槽骨条件差,颌间距离小者 | 异物感轻,对种植体角度要求低 | 固位力弱,仅适用于咬合力小者 |
| Locator | 可调(2-4N) | 全口牙缺失,种植体角度不理想者 | 维护方便,适应性强 | 内衬易老化,成本较高 |
相关问答FAQs
问:种牙活动义齿能用多久?
答:种牙活动义齿的使用寿命受多种因素影响,若维护得当,种植体本身可使用20年以上,活动义齿基托通常需5-10年更换一次(因材料老化、磨损),影响寿命的关键因素包括:①口腔卫生(清洁不当易导致种植体周围炎,造成骨吸收,种植体松动);②咬合习惯(咬硬物、夜磨牙会加速附着体和义齿磨损);③定期复查(及时发现并处理种植体周围炎、附着体磨损等问题可延长使用寿命);④材料质量(钛种植体、钴铬合金基托等优质材料更耐用);⑤医生技术(种植体植入位置、附着体选择是否合理),若患者全身健康状况较差(如糖尿病控制不佳),可能影响骨结合,缩短使用寿命,建议患者严格遵医嘱维护,定期复查,以延长义齿使用时间。
问:种牙活动义齿和传统活动义齿相比,价格差异大吗?
答:种牙活动义齿的价格显著高于传统活动义齿,但性价比更高,传统活动义齿(如全口义齿、局部义齿)费用通常为1000-5000元(根据材料不同,如树脂基托、钴铬合金基托),而种牙活动义齿因需植入种植体(每颗种植体费用约8000-20000元,根据品牌、类型不同)及制作附着体(如杆卡、Locator等,费用约2000-10000元),总费用根据种植体数量(2-4颗)和类型不同,约为2万-8万元,虽然初期投入较高,但种牙活动义齿的固位力、咀嚼功能、使用寿命远优于传统义齿:传统义齿每3-5年可能需更换或重做,且长期使用可能导致牙槽骨加速吸收,而种牙活动义齿可延缓牙槽骨吸收,减少因修复问题导致的口腔治疗费用(如牙周治疗、黏膜溃疡治疗),部分地区的医保或种植体补贴政策(如针对老年人的种植牙补贴)可降低部分费用,建议患者咨询当地医院了解具体优惠,结合自身口腔条件和需求选择合适的修复方案。
