正畸牙周维护是指在牙齿矫正治疗过程中,通过一系列专业指导和干预措施,维护牙周组织(包括牙龈、牙周膜、牙槽骨等)的健康状态,确保正畸治疗顺利进行并达到长期稳定效果的综合管理过程,正畸治疗通过施加持续力使牙齿在牙槽骨内移动,这一过程依赖牙周组织的改建,若牙周健康出现问题,不仅可能影响牙齿移动效率,还可能导致牙龈炎、牙槽骨吸收等并发症,甚至导致治疗失败,正畸牙周维护是贯穿治疗全程的关键环节,需要医患双方共同参与。
正畸牙周维护的重要性
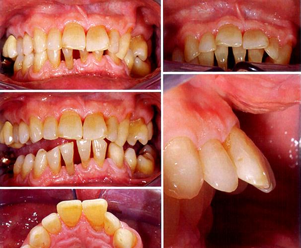
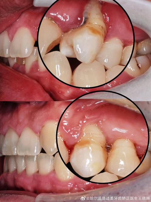
牙齿移动过程中,矫治器(如托槽、弓丝等)会增加口腔清洁难度,食物残渣和菌斑容易堆积,进而引发牙龈炎症,表现为牙龈红肿、出血、增生等,若不及时控制,炎症可能扩散至牙周深层组织,导致牙槽骨吸收,牙齿移动失去支撑,甚至出现牙齿松动,牙周健康状态直接影响正畸效果的稳定性:治疗后若牙周组织未恢复健康,牙齿容易复发移位,导致矫正效果前功尽弃,正畸期间的牙周维护不仅是治疗顺利进行的保障,更是维持口腔长期健康的基础。

正畸牙周维护的具体内容
正畸牙周维护涵盖多方面措施,需结合患者具体情况制定个性化方案,主要包括以下内容:
口腔卫生指导
患者需掌握正确的清洁方法,以应对矫治器带来的清洁挑战,具体包括:
- 刷牙:采用巴氏刷牙法,每天至少2次,每次3分钟,使用正畸专用牙刷(如小头牙刷、U型牙刷)或电动牙刷,配合牙间刷清洁托槽周围及牙缝;
- 牙线使用:每日至少1次使用牙线或冲牙器清除邻面菌斑,特别注意弓丝下方牙龈边缘的清洁;
- 漱口水辅助:推荐使用含氯己定或氟化物的漱口水,辅助减少菌斑堆积,预防牙龈炎。
专业洁治与牙周检查
正畸期间需增加专业洁治频率(通常每2-3个月1次),彻底清除菌斑和牙结石,避免因矫治器遮挡导致清洁死角,定期进行牙周状况监测,包括:
- 临床检查:牙龈指数(GI)、出血指数(BI)、牙周袋深度(PD);
- 影像学检查:通过曲面断层片或根尖片观察牙槽骨高度和密度,及时发现骨吸收迹象。
饮食与习惯调整
- 饮食建议:避免过硬、黏性食物(如坚果、口香糖),减少矫治器损坏和食物嵌塞;多摄入富含维生素、钙的食物(如蔬菜、牛奶),促进牙周组织修复;
- 习惯纠正:戒除咬笔、咬唇、夜磨牙等不良习惯,避免额外力量作用于牙齿,加重牙周负担。
并发症应对
若出现牙龈增生、牙釉质脱矿等并发症,需及时干预:

- 牙龈增生:加强清洁基础上,可能需进行牙龈切除术或调整矫治力;
- 牙釉质脱矿:使用含氟牙膏、氟化物涂布,必要时进行树脂修复。
不同阶段的维护重点
- 矫治前:需进行全面的牙周检查和治疗,控制 existing牙周炎(如洁治、刮治),确保牙周健康后再开始正畸;
- 矫治中:强化口腔卫生指导,增加洁治和复查频率,动态监测牙周变化;
- 矫治后:佩戴保持器期间仍需坚持牙周维护,定期复查,防止复发。
正畸牙周维护是正畸治疗成功的“隐形基石”,它通过患者日常护理与医生专业干预的结合,在牙齿移动过程中维持牙周组织健康,既保障了矫正效果,又为口腔长期稳定打下基础,忽视牙周维护可能导致治疗失败、口腔健康受损,因此患者需提高重视,积极配合医生完成全程维护。
相关问答FAQs
Q1:正畸期间牙龈出血严重,怎么办?
A:正畸期间牙龈出血多因菌斑堆积导致牙龈炎,需加强口腔清洁:使用正畸专用牙刷和牙间刷彻底清洁托槽周围,增加刷牙频次至每日3次,并配合漱口水辅助杀菌,若出血持续超过1周,需及时复诊,排除牙周炎或矫治器刺激过大的可能,医生可能会调整矫治力或进行专业龈上洁治。
Q2:正畸结束后还需要做牙周维护吗?
A:需要,正畸结束后,牙齿进入保持阶段,牙周组织仍需时间稳定,且保持器本身容易藏污纳垢,可能引发牙龈问题,建议保持期间每3-6个月进行1次牙周检查和洁治,同时坚持正确刷牙和使用牙线,直至牙周完全稳定(通常为1-2年),之后按常规每年进行1-2次牙周维护。

